Por Diego Klee, Rodrigo Barbosa Lima e Gerson Ulema Ribeiro
As expectativas dos pacientes em relação ao tratamento com implantes mudaram ao longo dos anos, e a estética desempenha um papel importante na definição de sucesso da reabilitação. Os dentes anteriores superiores são, indiscutivelmente, os mais desafiadores para os implantodontistas.
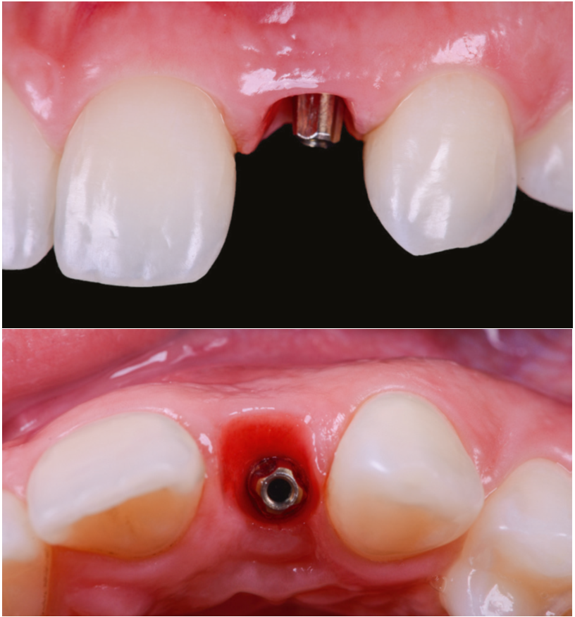
Implantes e coroas cerâmicas nos incisivos laterais superiores representam um desafio especial, mesmo para profissionais experientes. O posicionamento da crista óssea alveolar (COA) determina a disposição gengival, bem como a manutenção do nível das papilas interdentais. Dentro de padrões de normalidade, a COA acompanha a junção cemento-esmalte (JCE), localizando-se, em média, à 1,5 mm deste marco anatômico.
Nos incisivos laterais superiores, a menor dimensão vestibulolingual no terço cervical faz com que a JCE, na face mesial, seja uma curva mais fechada e coronal (Figura 1), enquanto a JCE distal dos incisivos centrais apresenta uma curvatura mais aberta, cerca de 1 mm mais achatada que a mesial do lateral (Figura 2). Assim, a altura da crista óssea, bem como da papila entre incisivos centrais e laterais superiores, com o completo preenchimento da ameia cervical, evitando o espaço negro (black space), depende muito da face mesial (JCE) dos laterais.
A perda deste elemento acarreta sérios prejuízos para a manutenção do pico da papila mesial. O posicionamento tridimensional dos implantes poderá ter papel fundamental no resultado desejado ao substituir a raiz de um incisivo lateral superior perdido.
Combinando nossa experiência clínica e a literatura pertinente, as seguintes alterações no posicionamento de implantes nestes locais podem ser sugeridas: o longo eixo do implante e/ou do pilar protético deve ser direcionado à borda incisal da futura coroa, bem como uma suave distalização do implante no espaço edêntulo, permitindo uma morfologia de coroa restauradora com contorno cervical semelhante ao dente natural e mais espaço para a formação e condicionamento tecidual mesial.







*Este artigo foi publicado na revista ImplantNews em 2025.
Outros artigos para leitura:





