Por Marco Bianchini

Todos nós sabemos que um implante Cone Morse deve ficar posicionado abaixo da crista óssea alveolar. Contudo, o quão profundo deve-se mergulhar este implante Cone Morse ainda gera muitas controvérsias, principalmente em se tratando de áreas estéticas. A maioria das empresas protagoniza que o nível intraósseo de um implante Cone Morse deve ser entre 1 a 3 mm, mas estes valores estão longe de serem consensuais.
A colocação de implantes tipo Cone Morse em posições muito “rasas”, quase que ao nível da crista óssea ou ligeiramente abaixo dela pode trazer alguns problemas. O principal deles é a falta de espaço interoclusal, o que acaba gerando uma dificuldade na hora da confecção da prótese. Nestas situações os clínicos acabam utilizando pilares muito curtos (com 0,8 mm de altura) o que, segundo alguns artigos da literatura1, pode deflagar uma peri-implantite pela compressão do espaço biológico peri-implantar. A figura 1 ilustra uma situação deste estilo.
Este caso foi solucionado através da realização de uma implantoplastia (remoção e alisamento, com brocas de alta rotação e borrachas de polimento, das espiras contaminadas e que sofreram perdas ósseas). Após dois anos de controle, observou-se que a perda óssea cessou e a saúde peri-implantar foi reestabelecida. As figuras 2 a 4 ilustram a técnica de implantoplastia.
Ao analisarmos este caso, observamos que no implante 17 (onde não houve peri-implantite), o pilar utilizado tinha 1,5 mm de altura. A hipótese que podemos acreditar é a de que esta cinta mais alta de 1,5 mm do implante 17 favoreceu a adaptação dos tecidos moles, com respeito ao espaço biológico peri-implantar. Já o pilar de 0,8 mm, colocado no implante 16, comprimiu o espaço biológico e gerou uma resposta destrutiva do paciente, com uma reabsorção óssea peri-implantar.
O fato mais curioso deste caso é que a implantoplastia possibilitou uma redução do diâmetro do implante na parte onde as espiras foram eliminadas. Desta forma, esta longa parte lisa funciona como um pilar longo e mais estreito, uma vez que não haverá formação óssea sobre esta superfície modificada pela implantoplastia. Na verdade, criou-se um ambiente favorável para a adaptação dos tecidos moles peri-implantares com respeito ao espaço biológico.
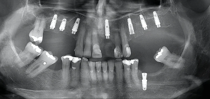
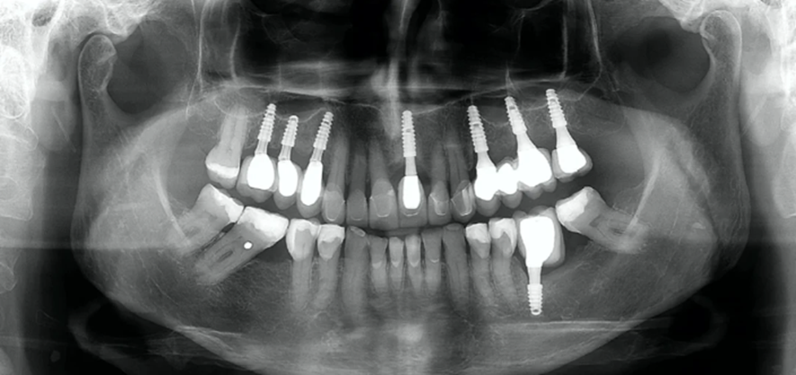
Embora muitos profissionais considerem arriscado colocar os implantes Cone Morse muito dentro do osso, eu acredito que um mergulho mais profundo destes implantes Cone Morse aumenta a previsibilidade do conjunto implante/prótese, favorecendo a saúde e estética peri-implantar. As figuras 5 e 6 ilustram um caso deste estilo.
Obviamente que mais pesquisas são necessárias para que possamos estabelecer um consenso sobre o quanto podemos colocar um implante Cone Morse dentro do osso. Contudo, devemos procurar respeitar as distâncias biológicas entre dentes e implantes e entre implantes. Assim como na dentição natural, os implantes também exigem um espaço livre de osso, a fim de que os tecidos moles possam se adaptar e este espaço parece estar nos pilares mais estreitos e longos.






REFERÊNCIAS BIBLIOGRÁFICAS
1- Prevalence, risk indicators, and clinical characteristics of peri-implant mucositis and peri-implantitis for an internal conical connection implant system: A multicenter cross-sectional study. Apaza-Bedoya K, Galarraga-Vinueza ME, Correa BB, Schwarz F, Bianchini MA, Magalhães Benfatti CA.J Periodontol. 2024 Jun;95(6):582-593. doi: 10.1002/JPER.23-0355. Epub 2023 Oct 17.PMID: 37846763





