Por Thayane Furtado
Introdução
A agenesia dentária, definida como a ausência congênita de um ou mais dentes, é uma das anomalias dentárias mais comuns no desenvolvimento humano. Afeta tanto a dentição decídua quanto a permanente, com a prevalência em torno de 10,1%, alterando conforme a população e grupos étnicos. As agenesias mais frequentes estão associadas aos terceiros molares, seguidos dos segundos pré-molares e incisivos laterais superiores. A etiologia da agenesia está associada a fatores genéticos e, em alguns casos, pode estar vinculada a síndromes específicas ou outras anomalias dentárias.
Nesse contexto, a agenesia do incisivo lateral superior destaca-se por representar um desafio clínico significativo, pois afeta não apenas a estética do sorriso, mas também a função dentária. Pacientes com essa condição geralmente apresentam problemas como diastemas, assimetrias faciais e o deslocamento dos caninos para posições inadequadas, o que pode comprometer a oclusão e a harmonia facial.
Além disso, a ausência dos incisivos laterais superiores pode impactar negativamente a autoestima do paciente desde a infância, devido a sua posição de destaque no arco dentário. O diagnóstico precoce e o planejamento multidisciplinar são essenciais para uma reabilitação adequada.
Dentre os tratamentos, os implantes dentários destacam-se como uma abordagem eficaz e previsível, capaz de reestabelecer a função e a estética dentária. É válido ressaltar que essa terapia oferece benefícios significativos, como a manutenção óssea, harmonia oclusal e saúde para os tecidos peri-implantares.
Em consonância com os dados apresentados, o objetivo é descrever a técnica multidisciplinar empregada em um caso de agenesia bilateral de incisivos laterais superiores.
Relato de Caso
Paciente A.P.C.A, sexo feminino, 15 anos, apresenta agenesia bilateral dos incisivos laterais superiores permanentes. Já havia realizado tratamento ortodôntico e a queixa principal é a estética e a função dessa condição.
Foi feita a avaliação clínica, radiográfica e exames complementares para delinear o plano de tratamento que consiste em instalação de implantes e coroas sobre implantes devido a agenesia no 12 e 22. Além disso, a paciente possui erupção passiva alterada associada ao sorriso gengival, portanto seria necessário a realização da gengivoplastia em todos os dentes anteriores superiores. Havia ainda indicação de clareamento dental. Todo o planejamento cirúrgico foi realizado por meio da tomografia com o software Blue Sky Plan® (Blue Sky Bio-Libertyville, Illinois, EUA).

O aspecto clínico inicial da paciente após o uso de aparelho ortodôntico envolve o sorriso gengival e as coroas provisórias fixadas na contenção para melhora do aspecto estético.

O planejamento envolveu o escaneamento oral das arcadas e registro de mordida por meio do iTero™.

A projeção tridimensional do trabalho foi realizado com o CAD/CAM®, com o planejamento do implante e da prótese. Isso garante a previsibilidade da etapa cirúrgica e protética, bem como as posições ideais e angulações favoráveis.
Em ambos os dentes, 12 e 22, foi planejado o implante da Implacil De Bortoli – Due Cone – Maestro CM Pilar Digital 3.8 Ø 3.5 mm X 11 mm. Esse implante possui câmaras de cicatrização, ideal para carga precoce, e a cirurgia foi realizada com uma guia cirúrgica para maior efetividade da reprodução do planejamento.
Após todas as avaliações pré-operatórias, anestesia e colocação da guia cirúrgica, a técnica cirúrgica empregada foi a Flapless, cirurgia de campo fechado, e foi feita a instalação do implante, iniciando com a fresa lança helicoidal de 2 mm associado ao guide referente, foi realizado a conferência da perfuração. A subfresagem também foi empregada, portanto a última fresa utilizada foi a cônica de 3,0 mm, respeitando a distância da margem gengival em relação ao implante e o seu posicionamento.

A etapa seguinte envolveu a instalação dos implantes após a averiguação do indicador de posição e o Osstell Beacon® foi utilizado para verificar a estabilidade do implante. Foi utilizado um cicatrizador, pois é um sistema de carga precoce e não imediata e realizada a radiografia periapical.

Após o período de osseointegração, foi realizada uma nova radiografia e foi observada a neoformação óssea ao redor do implante. Nessa etapa também foi realizada a reabertura com a captura de provisórios que têm a função de remodelar o tecido peri-implantar, sendo primordial para o perfil de emergência.

Como parte integrante do plano de tratamento, também foi realizado o aumento da coroa clínica por meio de gengivoplastia dos dentes superiores anteriores e pré-molares e o clareamento caseiro.

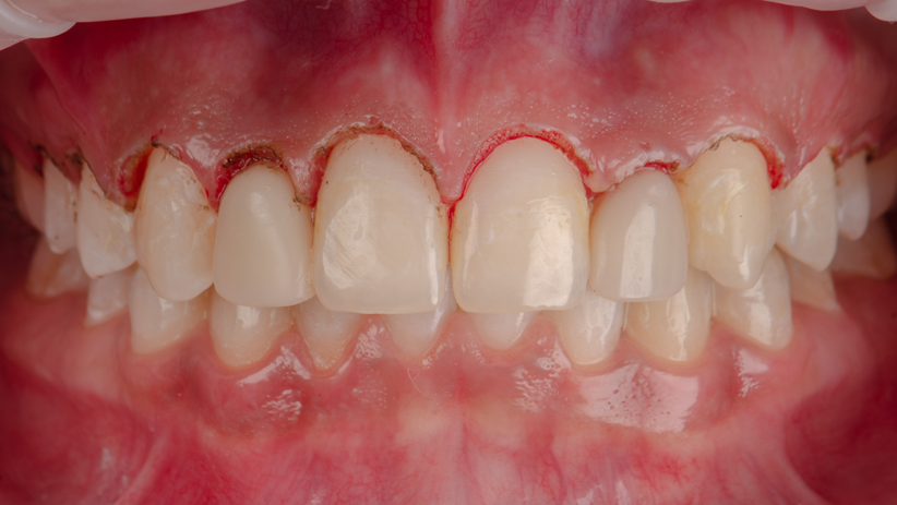
Após a estabilização da cor, foram realizadas todas as etapas para a confecção das coroas metalocerâmicas pelo fluxo digital. Os tecidos peri-implantares já estavam condicionados para a prótese final.

As coroas metalocerâmicas foram instaladas e as radiografias periapicais realizadas.


REFERÊNCIAS
1- Andrade DC, Loureiro CA, Araújo VE, Riera R, Atallah AN. Treatment for agenesis of maxillary lateral incisors: a systematic review. Orthod Craniofac Res. 2013 Aug;16(3):129-36. doi: 10.1111/ocr.12015. Epub 2013 Feb 14. PMID: 23406509.
2- Lacarbonara M, Cazzolla AP, Lacarbonara V, Lo Muzio L, Ciavarella D, Testa NF, Crincoli V, Di Venere D, De Franco A, Tripodi D, Grassi FR, Capogreco M. Prosthetic rehabilitation of maxillary lateral incisors agenesis using dental mini-implants: a multicenter 10-year follow-up. Clin Oral Investig. 2022 Feb;26(2):1963-1974. doi: 10.1007/s00784 021-04176-0. Epub 2021 Sep 26. PMID: 34564740; PMCID: PMC8816522.
3- Schroeder DK, Schroeder MA, Vasconcelos V. Agenesis of maxillary lateral incisors: diagnosis and treatment options. Dental Press J Orthod. 2022 Jun 6;27(1):e22spe1. doi: 10.1590/2177-6709.27.1.e22spe1. PMID: 35674572; PMCID: PMC9172892.
4- Vignon M, Bensaidani T, Soliveres S, Bousquet P. Interdisciplinary Management of Bilateral Congenital Lateral Incisor Agenesis. Case Rep Dent. 2023 Jul 10;2023:5576050. doi: 10.1155/2023/5576050. PMID: 37469950; PMCID: PMC10352529.
5- Zarone F, Sorrentino R, Vaccaro F, Russo S. Prosthetic treatment of maxillary lateral incisor agenesis with osseointegrated implants: a 24 39-month prospective clinical study. Clin Oral Implants Res. 2006 Feb;17(1):94-101. doi: 10.1111/j.1600-0501.2005.01188.x. PMID: 16441790.





