Por Thayane Furtado e Felipe Pohlmann
Introdução
A perda de um elemento dentário pode alterar função mastigatória, provocar migração dental e desencadear remodelação óssea acelerada. Em casos bem selecionados, a instalação imediata do implante após a exodontia permite preservar o rebordo alveolar, reduzir o número de cirurgias e acelerar o processo restaurador.
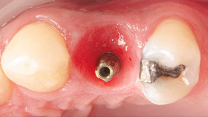
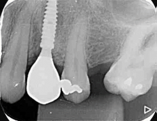
Neste caso relatado a seguir, a fratura do dente 24 levou à indicação de extração atraumática e implante imediato, com uso de biomateriais modernos e fluxo digital completo. O protocolo incluiu implante Due Cone (Implacil Osstem), preenchimento do GAP com Extra Graft, instalação do pilar Ideale definitivo (One Step One Abutment) e posterior coroa em zircônia monolítica.
A integração entre estabilidade inicial, manutenção do volume tecidual e reabilitação digital resultou em cicatrização estável, estética previsível e conforto clínico.

Técnica cirúrgica
Após a exodontia do elemento 24 com preservação das paredes ósseas, o preparo foi realizadoseguindo sequência de fresas recomendada para o implante Due Cone, cuja macrogeometriacônica e conexão Morse favorecem alto torque e retenção apical, condições desejáveis para oimplante imediato. A superfície jateada e atacada ao ácido intensifica a adesão celular inicial,contribuindo para osseointegração mais eficiente.
O GAP entre o implante e a parede alveolar foi preenchido com Extra Graft (Hidroxiapatitabovina + 25% colágeno Tipo I). Aqui vale detalhar seu papel biológico:
– a hidroxiapatita atua como matriz osteocondutora, guiando depósito ósseo organizado;
– o colágeno Tipo I melhora manuseio, estabiliza o coágulo, reduz microdeslocamento doenxerto e favorece hemostasia;
– a presença de colágeno também tem efeito quimiotático, atraindo células reparadoras e estimulando cobertura tecidual precoce.
Essa combinação permite a preservação volumétrica do alvéolo, mantendo o suporte ideal para o perfil de emergência natural na fase protética.

Avaliação inicial da estabilidade — ISQ antes do provisório
Antes da instalação do provisório realizou-se leitura com Osstell, fixando o SmartPegdiretamente no implante recém-instalado. O valor obtido foi ISQ > 70, patamar amplamentedescrito na literatura como favorável para protocolos de carga imediata, desde que associadosa controle oclusal e estabilidade protética. Esse ponto é crucial: a decisão não foi tomada combase apenas no tempo, mas em estabilidade primária real e mensurável, reforçando umaconduta guiada por evidência. Somente após ISQ favorável optou-se por provisório funcional.
One Step, One Abutment — aplicação prática com pilar Ideale
No mesmo ato cirúrgico instalou-se o pilar Ideale definitivo, torqueado e mantido em posiçãoaté a instalação da coroa, sem remoções intermediárias. Essa conduta segue a filosofia One Step, One Abutment, que preconiza a fixação de um único pilar desde o momento cirúrgico, evitando trocas sucessivas. Cada desconexão de componente rompe o epitélio aderido, expõe o sulco peri-implantar à contaminação bacteriana e pode induzir microperdas ósseas cumulativas. Manter o mesmo pilar durante todo o tratamento permite que o tecido mole forme uma interface estável econtínua — mucointegração — estabelecendo um selo biológico protetor ao redor do implante.
Benefícios clínicos documentados:
• menor reabsorção óssea marginal;
• menor inflamação peri-implantar;
• preservação do perfil tecidual e papilas;
• estética mais previsível ao longo do tempo;
• selamento mucoso mais estável e resistente.
A anodização dourada do pilar Ideale favorece essa mucointegração ao aumentar molhabilidade e estimular adesão de fibroblastos, gerando um contorno gengival mais natural e livre de sombreamento acinzentado — um detalhe discreto no microscópio, mas extremamente relevante no sorriso do paciente.

Provisório imediato, mecanotransdução e formação do perfil gengival
Confirmada a estabilidade primária por meio de ISQ acima de 70, prosseguiu-se com a instalação do provisório previamente confeccionado em impressão 3D. O modelo incluía aletas de captura para apoio nos dentes 23 e 25, garantindo estabilização inicial. Sobre o pilar Ideale, posicionou-se coifa metálica provisória, e então realizou-se a captura com resina flow, unindo o provisório impresso ao componente. Após fotopolimerização completa, a peça foi removida integralmente, permitindo acabamento extrabucal com precisão.

Nesse momento, as aletas foram removidas e o contorno foi refinado estrategicamente, respeitando zonas críticas e subcríticas do perfil de emergência, garantindo um provisório com selamento adequado do alvéolo enxertado, suporte papilar e manutenção do arquétipo gengival. O provisório finalizado foi reposicionado e colocado em função imediata. A partir daí, entra em cena a mecanotransdução: microcargas funcionais controladas atuam como estímulos biomecânicos capazes de converter forças mastigatórias em respostas celulares osteogênicas, incentivando deposição óssea, contato osso-implante e maturação do tecido peri-implantar. Em Implantodontia contemporânea, provisório não é apenas estética — é ferramenta biológica ativa que direciona cicatrização, protege o enxerto e constrói o perfil gengival definitivo.

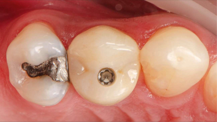
Fase protética digital — zircônia monolítica em fluxo CAD/CAM
Após cerca de 120 dias em função, com perfil gengival consolidado, realizou-se escaneamento intraoral com transferente digital específico sobre o pilar Ideale. O fluxo digital eliminou moldagens analógicas, reduziu etapas e possibilitou desenho preciso do perfil restaurador.


A coroa definitiva foi fresada em zircônia monolítica maquiada, material estável, resistente e com baixa porosidade. Com resistência flexural entre 900–1200 MPa, permite restaurações finas com segurança mecânica e excelente longevidade clínica. A prótese foi parafusada diretamente sobre o pilar Ideale, utilizando o parafuso Torx com torque recomendado de 20 Ncm. O parafuso Torx apresenta tamanho menor em comparação ao parafuso convencional, o que otimiza o espaço interno disponível — especialmente relevante em regiões anteriores ou coroas com menor espessura oclusal. Sua geometria permite maior eficiência na transmissão de torque com menor risco de espanar, além de melhor acoplamento chave/parafuso, conferindo segurança durante a instalação e remoção. A instalação direta sobre o Ideale reduz interfaces, microgaps e micromovimentos, favorecendo selamento marginal mais previsível e estabilidade dos tecidos ao longo do tempo.


Conclusão
Este caso ilustra de forma objetiva como a combinação entre implante imediato Due Cone,Extra Graft para manutenção do rebordo, filosofia One Step, One Abutment, provisório emfunção guiada (mecanotransdução) e reabilitação digital com zircônia monolítica resulta emum fluxo clínico previsível e biologicamente coerente. O uso do Osstell antes do provisório, permitindo carga imediata apenas com ISQ acima de 70,consolida um protocolo seguro e justificado tecnicamente. Quando preservamos o alvéolo com biomateriais competentes, garantimos estabilidade desdeo primeiro ato cirúrgico e respeitamos a mucosa com um único pilar — a integração digitaldeixa de ser apenas moderna e passa a ser inteligente.
Referências bibliográficas
1- Daou EE. The Zirconia Ceramic: Strengths and Weaknesses. Open Dent J. 2014;8:33–42. In vitro estudos relatam resistência flexural de 900–1 200 MPa e tenacidade à fratura de 9–10 MPa·m½: pmc.ncbi.nlm.nih.gov .
2- Kontonasaki E, Giasimakopoulos P, Rigos AE, et al. Strength and aging resistance of monolithic zirconia: an update to current knowledge. Jpn Dent Sci Rev. 2019;56(1):1–23. O artigo destaca que a zircônia apresenta excelentes propriedades mecânicas, radiopacidade e baixo potencial de corrosão: pmc.ncbi.nlm.nih.gov .
3- Amengual-Peñafiel L, Brañes-Aroca M, Marchesani-Carrasco F, et al. Coupling between osseointegration and mechanotransduction to maintain foreign body equilibrium in the long term. J Clin Med. 2019;8(2):139. Descreve como estímulos mecânicos modulam a expressão gênica e aumentam o contato osso-implante pmc.ncbi.nlm.nih.gov .
4- Osstell AB. Understanding implant stability: ISQ values and immediate loading. (blog post). O documento explica que valores de ISQ acima de 70 indicam alta estabilidade e permitem carga imediata www.osstell.com .
5- Implacil Osstem. Extra Graft XG-13: ficha técnica. O biomaterial é composto por hidroxiapatita bovina e colágeno Tipo I, oferecendo osteocondutividade e fácil manipulação. www.implacilosstem.com.br .
6- Implacil Osstem. Catálogo Due Cone. O implante Due Cone possui corpo cônico, conexão tipo Morse e superfície tratada por jateamento e ataque ácido, permitindo instalação em qualquer densidade óssea. www.implacilosstem.com.br .
7- Implacil Osstem. Pilar Ideale: instruções e características. O pilar Ideale é sólido, sem indexação e indicado para próteses cimentadas ou parafusadas, disponível em diâmetros de 3,3 e 4,5 mm. materiais.implacil.com.br .
8- Moraschini V, Barboza EP. One abutment–one time: racional e vantagens (relato clínico). O conceito ressalta que não remover o pilar protético reduz perda óssea crestal e trauma aos tecidos peri-implantares. www.smiledentaljournal.me .





