Por Thayane Furtado e Felipe Pohlmann
Introdução
A instalação de implantes imediatos em regiões estéticas exige uma abordagem cirúrgica precisa e cuidadosa, especialmente quando o objetivo é manter o contorno ósseo e gengival com previsibilidade. A preservação dos tecidos após a extração dentária representa um dos maiores desafios clínicos em implantodontia contemporânea. Nesses casos, a associação de técnicas minimamente invasivas com biomateriais de alta performance é essencial para promover uma cicatrização controlada e assegurar o sucesso estético e funcional do implante a longo prazo.
Este relato clínico destaca uma abordagem cirúrgica voltada à previsibilidade: uma extração minimamente invasiva seguida de implante imediato e preservação alveolar com o biomaterial Extra Graft XG-13 e a membrana de PTFE Cytoplast. O foco é demonstrar, sob uma perspectiva clínica e técnica, como o uso desses materiais se torna essencial em casos onde não é possível realizar carga imediata com segurança.
Relato de caso e técnica cirúrgica
Paciente jovem, do sexo masculino, sistemicamente saudável, apresentou-se para reabilitação da região do dente 21, perdido devido a uma lesão cariosa extensa e irreversível.

Como etapa inicial foi realizado um planejamento estético digital (Digital Smile Design – DSD), o qual possibilitou avaliar a simetria do sorriso, proporções dentárias e altura gengival. O DSD revelou uma migração coronal do tecido mole na região do 21, evidenciando uma coroa clínica encurtada e reforçando a importância da preservação do contorno gengival e do suporte tecidual para o sucesso da futura reabilitação.

Na sequência, foi realizada uma tomografia computadorizada da maxila, e o planejamento cirúrgico foi conduzido por meio do software Blue Sky Plan, permitindo definir com precisão o posicionamento tridimensional do implante, respeitando estruturas anatômicas e a futura emergência protética.

A intervenção cirúrgica teve início com a exodontia atraumática do dente 21. Inicialmente foi realizada uma coronectomia, seguida da remoção cuidadosa do fragmento radicular, com a preservação integral das tábuas ósseas.
A perfuração inicial para instalação do implante foi realizada com uma broca lança helicoidal, acoplada a prolongador, seguida da verificação do paralelismo com o Túnel Check (Implacil Osstem). Após confirmação do eixo adequado, procedeu-se com a fresagem sequencial com a fresa de 3,0 mm, e nova conferência da angulação foi realizada.
Foi então instalado um implante Due Cone Maestro CM 3,5 x 11 mm (Implacil Osstem), respeitando o posicionamento previamente planejado. A estabilidade primária foi medida com o Osstell, equipamento que utiliza a tecnologia de ressonância magnética para aferir a estabilidade do implante por meio do Implant Stability Quotient (ISQ). Essa métrica fornece uma estimativa objetiva do grau de ancoragem inicial entre o implante e o osso adjacente, sendo um importante parâmetro para indicar ou contraindicar a carga imediata. No presente caso, o valor obtido foi considerado insuficiente, levando à decisão de instalar o tapa-implante e permitir a cicatrização submersa durante o período de osseointegração.
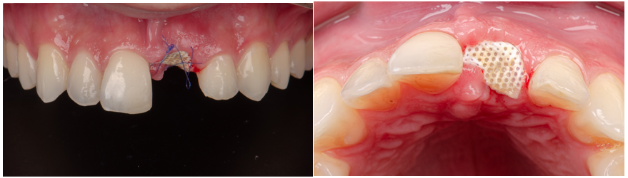
Com o objetivo de preservar o volume ósseo e a morfologia gengival, foi realizada uma regeneração óssea guiada (ROG) com o Extra Graft XG-13 aplicado na região vestibular para preenchimento do GAP entre o implante e a parede óssea. Na sequência, foi colocada uma membrana Cytoplast, em PTFE de alta densidade, adaptada sob o tecido gengival e estabilizada por sutura com nylon azul, promovendo selamento do sítio cirúrgico.
Essa associação de biomateriais — enxerto particulado e membrana não reabsorvível — ofereceu as condições ideais para proteger o implante, preservar o volume tecidual e guiar o processo de regeneração com previsibilidade.
Após dez dias, foi realizada a remoção das suturas, observando-se bom aspecto clínico e ausência de sinais de inflamação. Já no 21º dia, com a cessação da competição tecidual, foi feita a remoção da membrana Cytoplast, de forma simples e segura e sem a necessidade de nova intervenção cirúrgica.


Para preservar a estética durante a fase de osseointegração, foi confeccionado um provisório impresso em 3D, previamente planejado no Exocad. Esse provisório, cimentado com auxílio de aletas adesivas nos dentes 11 e 22, apresentava adaptação passiva e promovia pressão controlada sobre os tecidos moles, favorecendo a manutenção da margem gengival e do perfil de emergência. Além disso, por não exercer carga funcional direta sobre o implante, permitiu uma osseointegração segura, sem interferência de forças mastigatórias durante o período crítico de cicatrização.

Passados seis meses da osseointegração, foi realizada a instalação de um pilar Ideale (Implacil Osstem), com altura transmucosa de 2,5 mm e plataforma de 3,3 x 4 mm, sobre o implante previamente instalado. A partir desse componente, executou-se o escaneamento digital com transferente posicionado diretamente sobre o pilar, possibilitando a confecção de uma coroa provisória fresada em PMMA, parafusada diretamente ao Ideale. Esse provisório permaneceu em função por 90 dias, promovendo o adequado condicionamento e a modelagem dos tecidos gengivais ao redor do implante, com estabelecimento de um perfil de emergência estável e favorável à futura reabilitação.

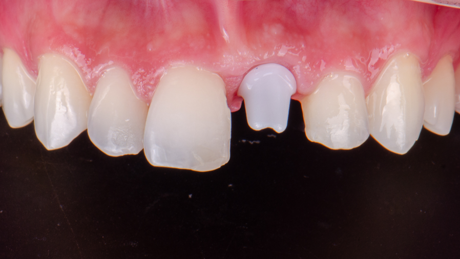
Com o perfil tecidual já consolidado, foi realizado novo escaneamento intraoral para a confecção de um munhão personalizado em zircônia, fresado por tecnologia CAD/CAM a partir de um bloco monolítico de alta resistência. O design do munhão seguiu fielmente os contornos definidos pelo provisório, garantindo uma transição suave e anatômica entre o implante e a coroa. Este componente foi parafusado diretamente sobre o pilar Ideale, formando um conjunto protético estável, preciso e biologicamente compatível.

A superfície da porção transmucosa do munhão foi mantida sem glaze ou pigmentos, preservando apenas o polimento obtido pela fresagem. Esse acabamento resulta em uma superfície lisa, pura e biologicamente neutra — condição ideal para favorecer a biocompatibilidade da zircônia com os tecidos peri-implantares.
Estudos clínicos demonstram menor colonização bacteriana na zircônia em comparação ao titânio, além de melhor adesão epitelial e menor resposta inflamatória, contribuindo para a manutenção de tecidos moles saudáveis e estáveis ao redor do componente.
Além de sua performance biológica, a zircônia oferece benefícios estéticos relevantes. Por ser um material cerâmico branco e translúcido, evita o sombreamento gengival em pacientes com biótipo fino, comum com pilares metálicos. Essa característica, somada à possibilidade de fresagem personalizada que respeita integralmente a anatomia gengival já condicionada, garante suporte ideal às papilas, preenchimento cervical adequado e transição visual natural entre gengiva e prótese.

Sob o ponto de vista mecânico, a zircônia utilizada apresenta alta resistência à fratura e à fadiga, além de baixa condutividade térmica e excelente estabilidade química. Tais propriedades permitem sua aplicação confiável mesmo em regiões de carga funcional moderada, como os incisivos, assegurando durabilidade a longo prazo. A personalização do munhão ainda favorece a higienização e estabilidade dos tecidos moles — elementos essenciais para o sucesso estético e funcional da reabilitação.
Com o ambiente biológico plenamente estabilizado, a fase protética foi concluída com a confecção da coroa definitiva em cerâmica de dissilicato de lítio, também fresada por tecnologia CAD/CAM. Esse material foi selecionado por sua excelência estética e resistência mecânica, permitindo reprodução fiel da coloração, brilho e translucidez dos dentes naturais, com adaptação marginal precisa.

A coroa foi cimentada sobre o munhão de zircônia, formando um conjunto totalmente cerâmico e livre de metal. A ausência de componentes metálicos permitiu posicionar a linha de cimentação em nível discretamente subgengival com total previsibilidade, sem risco de escurecimento da margem e favorecendo um selamento eficaz aliado a um contorno gengival harmônico.

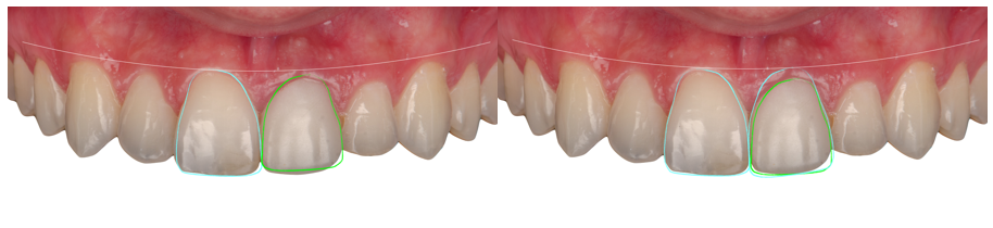
O resultado final foi uma reabilitação estética de alta performance, em que cada etapa — do implante à coroa — foi conduzida de forma integrada, respeitando os princípios biológicos, preservando os tecidos moles e restabelecendo com precisão a forma, função e estética do dente perdido.

Considerações clínicas
A previsibilidade dos resultados em reabilitações com implantes imediatos, especialmente em regiões estéticas, depende de uma abordagem cuidadosamente planejada, que una técnica cirúrgica refinada à seleção criteriosa de biomateriais e componentes protéticos. No caso descrito, cada etapa foi pensada para garantir não apenas a saúde e estabilidade dos tecidos peri-implantares, mas também a excelência estética do resultado final.
Na fase cirúrgica, a associação entre o enxerto ósseo Extra Graft XG-13 e a membrana Cytoplast foi determinante para preservar o volume alveolar, controlar a cicatrização e criar um ambiente biologicamente favorável à osseointegração — mesmo diante da contraindicação para carga imediata. O Extra Graft XG-13, composto por 75% de hidroxiapatita bovina e 25% de colágeno tipo I, apresentou excelente osteocondução, estabilidade volumétrica e coesão, características essenciais para preservar o rebordo vestibular e favorecer a estética a longo prazo.
Já a membrana Cytoplast, confeccionada em PTFE de alta densidade (d-PTFE), reúne propriedades que a tornam uma aliada estratégica em procedimentos regenerativos onde o fechamento primário não é possível ou desejado. Seus poros ultrafinos (< 0,3 μm) impedem a penetração bacteriana mesmo quando a membrana está exposta à cavidade oral, proporcionando segurança durante o processo de cicatrização. Além disso, sua superfície texturizada Regentex, com microssulcos hexagonais, favorece a adesão dos tecidos periféricos e bloqueia a migração epitelial sobre o leito enxertado. Isso garante um selamento hermético e previsível do alvéolo, permitindo que a regeneração óssea ocorra sem interferência de tecidos moles. A facilidade de remoção ambulatorial da membrana também elimina a necessidade de nova cirurgia, otimizando o conforto do paciente e a eficiência clínica.
Na etapa protética, o uso de um provisório em PMMA parafusado sobre o pilar Ideale permitiu o condicionamento gengival ideal. Esse provisório guiou a modelagem dos tecidos moles e estabeleceu um perfil de emergência estável, essencial para a fase definitiva. Após o período de maturação tecidual, realizou-se o escaneamento digital e a confecção de um munhão personalizado em zircônia, fresado por tecnologia CAD/CAM a partir de bloco monolítico de alta resistência. A superfície gengival do munhão foi mantida sem glaze ou pigmentação, apenas polida, o que favorece a adesão epitelial, reduz a colonização bacteriana e promove maior estabilidade peri-implantar —características amplamente respaldadas por estudos clínicos.
O uso da zircônia como material do munhão também foi crucial do ponto de vista estético: sua coloração branca e translúcida evita escurecimento gengival, especialmente em pacientes com biótipo fino. A coroa definitiva, confeccionada em cerâmica de dissilicato de lítio e fresada via CAD/CAM, completou o conjunto protético totalmente cerâmico e biomimético. Esse material, amplamente reconhecido por sua resistência e propriedades ópticas, foi capaz de reproduzir com fidelidade a cor, o brilho e a translucidez dos dentes naturais. A linha de cimentação foi posicionada em nível discretamente subgengival, promovendo um selamento eficaz e respeitando os limites biológicos, o que favorece o contorno gengival e evita qualquer sombreamento indesejado.
O resultado clínico foi uma reabilitação unitária sobre implante com aparência natural, tecidos peri-implantares saudáveis e função plenamente restabelecida. A combinação entre biomateriais de alta performance, planejamento digital e técnica protética personalizada evidencia as vantagens dos componentes do sistema Implacil Osstem na Odontologia restauradora contemporânea, promovendo resultados previsíveis, estéticos e duradouros.
REFERÊNCIAS BIBLIOGRÁFICAS
1- AMOROSO, Andressa Paschoal et al. Cerâmicas odontológicas: propriedades, indicações e considerações clínicas. 2012.
2- BANDIAKY, Octave Nadile et al. Comparative assessment of complete-coverage, fixed tooth-supported prostheses fabricated from digital scans or conventional impressions: A systematic review and meta-analysis. The Journal of Prosthetic Dentistry, v. 127, n. 1, p. 71 79, 2022.
3- BRANDT, Silvia et al. IPS e.max for all-ceramic restorations: clinical survival and success rates of full-coverage crowns and fixed partial dentures. Materials, v. 12, n. 3, p. 462, 2019.
4- CHOKAREE, Parima et al. Biomaterials and clinical applications of customized healing abutment: a narrative review. Journal of Functional Biomaterials, v. 13, n. 4, p. 291, 2022. DOI: 10.3390/jfb13040291.
5- CODRUŢA-ELIZA, Ille et al. Exploring the properties and indications of chairside CAD/CAM materials in restorative dentistry. Journal of Functional Biomaterials, v. 16, n. 2, p. 46, 2025. DOI: 10.3390/jfb16020046.
6- DARIUSZ, Sala; RICHERT, Maria. Perspectives of additive manufacturing in 5.0 industry. Materials (Basel), v. 18, n. 2, p. 429, 2025. DOI: 10.3390/ma18020429.
7- REZAIE, Fereshte et al. 3D printing of dental prostheses: current and emerging applications. Journal of Composite Science, v. 7, n. 2, p. 80, 2023. DOI: 10.3390/jcs7020080.
8- YESLAM, Hanin E.; VON MALTZAHN, Nadine Freifrau; NASSAR, Hani M. Revolutionizing CAD/CAM-based restorative dental processes and materials with artificial intelligence: a concise narrative review. PeerJ, v. 12, e17793, 2024. DOI: 10.7717/peerj.17793.
9- NOMIYAMA, L. et al. Comparison between flapless guided and conventional surgery for implant placement: a 12-month randomized clinical trial. Clinical Oral Investigations, v. 27, p. 1665–1679, 2022.
10- MENCHINI-FABRIS, Giovanni-Batista et al. A 3-year retrospective study of fresh socket implants: CAD/CAM customized healing abutment vs cover screws. International Journal of Computerized Dentistry, v. 23, n. 2, p. 109-117, 2020.
11- MOÖRMANN, Werner H. The evolution of the CEREC system. The Journal of the American Dental Association, v. 137, p. 7S-13S, 2006.
12- POSSELT, A.; KERSCHBAUM, T. Longevity of 2328 chairside Cerec inlays and onlays. International Journal of Computerized Dentistry, v. 6, n. 3, p. 231-248, 2003.
13- FELBERG, R. V. et al. Restorative possibilities using zirconia ceramics for single crowns. Brazilian Dental Journal, v. 30, n. 5, p. 446–452, 2019.
14- RAFAEL, Caroline Freitas. Influência do tratamento laboratorial com líquidos de pigmentação e fluorescência e do envelhecimento acelerado nas propriedades ópticas de uma zircônia odontológica. 2016. Dissertação (Mestrado).
15- SANZ-SÁNCHEZ, A. et al. Effectiveness of lateral bone augmentation on the alveolar crest dimension: a systematic review and meta-analysis. Journal of Dental Research, v. 94, n. 9_suppl, p. 128S-142S, set. 2015.
16- YEĞİN, Elif; ATALA, Mustafa Hayati. Comparison of CAD/CAM manufactured implant-supported crowns with different analyses. International Journal of Implant Dentistry, v. 6, p. 1-11, 2020.
17- TIAN, Yueyi et al. A review of 3D printing in dentistry: technologies, affecting factors, and applications. Scanning, v. 2021, p. 9950131, 2021. DOI: 10.1155/2021/9950131.
Outros artigos para leitura:





