Por Thayane Furtado
Introdução
Símbolo de beleza e bem-estar na sociedade moderna, o sorriso desempenha um papel importante também na expressão, aparência, comunicação social e autoestima dos pacientes. Grande parte dessa atribuição está associada aos dentes anteriores, então os traumas dentais que atingem de 12 a 20% da população adulta jovem acarretam prejuízos estéticos e funcionais, impactando diretamente a fala, a mastigação e a confiança social. Em detrimento disso, o planejamento do tratamento muitas vezes pode estar atrelado a uma abordagem cirúrgica rápida, minimamente invasiva, que tem como finalidade preservar a integridade dos tecidos, promover a saúde, atrelada a estética e conforto do paciente. Nessas situações, o implante dentário imediato surge como uma alternativa viável e eficaz.
O implante imediato, definido como a colocação do implante em alvéolo fresco logo após a extração, oferece uma série de benefícios clínicos. Permite a preservação da arquitetura óssea e reduz o tempo de tratamento e o número de intervenções. Portanto, permite a reabilitação estética e funcional mais rápida. Entretanto, essa técnica requer um planejamento criterioso, uma vez que está associada a desafios como a preservação do volume ósseo e do tecido mole ao redor do implante, para então dispor de técnicas como as regenerações guiadas.
Como mencionado, a regeneração óssea guiada (ROG) e a regeneração tecidual guiada (RTG) são frequentemente indicadas para otimizar os resultados estéticos e funcionais em implantes imediatos. Essas técnicas utilizam biomateriais, como membranas e enxertos, que auxiliam na regeneração dos tecidos ao impedir a invasão de células indesejadas no leito ósseo e promover a cicatrização adequada. A ROG é particularmente indicada em casos onde há perda óssea significativa, enquanto a RTG é fundamental para a preservação e regeneração dos tecidos moles ao redor do implante, garantindo resultados estéticos satisfatórios.
O caso relatado neste trabalho envolve a colocação de implantes imediatos nos incisivos centrais superiores, decorrente de um trauma que resultou na necessidade de extração do dente. A fim de garantir a estabilidade do implante e otimizar os resultados estéticos, foram utilizadas as técnicas de RTG e ROG. Este relato visa demonstrar a relevância dessas abordagens para o sucesso clínico em casos de trauma dentário na região anterior, destacando os principais aspectos do planejamento cirúrgico e execução.
Relato de caso
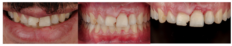
Paciente jovem, 25 anos, do sexo masculino, após um acidente automobilístico, apresentou trauma nos incisivos centrais superiores. Clinicamente era observado a fratura coronária do dente 11, e o 21 apresentava uma delgada camada de gengiva queratinizada, já associada a retração gengival e a hipótese de perda óssea vestibular. Foi realizada a tomografia computadorizada que corroborou os achados clínicos e constatou uma fratura horizontal.
As etapas preliminares, como anamnese, exame clínico intra e extraoral não apontaram nenhum outro achado relevante. Foi preconizado no plano de tratamento a exodontia do 11 e do 12 devido à fratura horizontal evidenciada na tomografia computadorizada e os implantes imediatos, seguido de ROG e RTG. As etapas protéticas estavam associadas às próteses provisórias e por fim, as coroas unitárias sobre implante.
Inicialmente, ao exame clínico intraoral, é possível notar a fratura coronária no dente 11 e a recessão gengival do dente 21 associada a perda óssea vestibular.


A primeira abordagem clínica envolveu o escaneamento intraoral para a confecção de uma guia cirúrgica. Após todo o planejamento por uma empresa especializada, foram realizadas as exodontias por meio de cirurgia minimamente invasiva para a preservação dos tecidos.

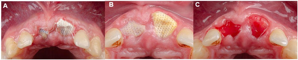
Após a curetagem dos alvéolos, foi posicionada a guia cirúrgica para a instalação dos implantes da Implacil De Bortoli. Os implantes utilizados foram o Cone Morse Ø3.5×13. Conforme o protocolo, foram usadas as fresas tronco-cônica de 3.0mm e 3.5mm e, em seguida, instalados os implantes.

Foi colocado o guide e realizada a ROG por meio do Extra Graft XG-13 com o objetivo de preenchimento de GAPs. Este é um biomaterial bovino, composto por 25% de colágeno e 75% de hidroxiapatita.
A fim de verificar a estabilidade do implante, bem como o contato osso e implante para a colocação de um provisório imediato, foi utilizado o Osstell Beacon, entretanto, o mesmo acusou baixo ISQ. Portanto, não foi colocado um provisório imediato sobre implante, mas um provisório removível.
Visando a preservação alveolar e a regeneração tecidual guiada, guiando os tecidos moles e tecido ósseo a ser formado, foi feita a colocação da membrana de PTFE, neste caso a Cytoplast. Essa membrana não-reabsorvível possui poros menores (0.3 μm), que permitem a adesão do tecido mole, mas não o crescimento através dela. Além disso, apresentam a superfície Regentex (sulcos hexagonais), que impede a entrada de células do tecido gengival e sua rápida migração para o defeito, permitindo que o osso alveolar se regenere. Durante a cicatrização, uma parte do tecido gengival se adere à superfície texturizada para ancorar o tecido sobre a barreira, prevenindo assim a deiscência ou a abertura do tecido que cobre o material. Seguido a isso, foi realizada a sutura com fio de PTFE que possui alta tenacidade, alta elasticidade e não dilacera os tecidos.

A próxima etapa foi a remoção de sutura com sete dias e 21 dias após a cirurgia com a remoção da Cytoplast. É possível verificar a placa bacteriana sobre a membrana, mas ao removê-la observa-se a formação de um tecido inerente à formação óssea e, em função do atrito, da exposição ao meio bucal, há a produção de queratina.

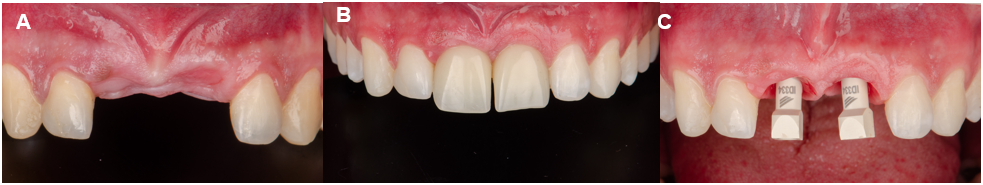
Posteriormente, com o implante osseointegrado, foi realizada a reabertura e captura de coroas provisórias fresadas. Após três meses da cirurgia, a situação clínica é favorável com a manutenção do arcabouço dos tecidos peri-implantares e a quantidade de tecido queratinizado dispensa a enxertia de tecido mole. É válido ressaltar que todo esse tecido queratinizado foi conquistado pela Cytoplas® combinada com o fenótipo gengival espesso do paciente.

Após a instalação do provisório observa-se um perfil de emergência satisfatório, o que permite realizar o escaneamento digital para a confecção das coroas protéticas finais. Após o CAM, obtiveram-se as coroas de zircônia monolíticas.

Posteriormente, foram realizadas as etapas clínicas com a instalação das coroas de zircônia monolíticas aparafusadas sobre o implante.

REFERÊNCIAS BIBLIOGRÁFICAS
1- Amaro L.C.F, Conforte J.J. Implante imediato em alvéolo fresco. Revista Ibero-Americana de Humanidades, Ciências e Educação-REASE, v.8, n.5, mai. 2022.
2- Andrade M.S et al. Utilização de implante mediato para substituição de elemento dentário com reabsorção radicular em área estética: Relato de caso. Research, Society and Development, v. 9, n.11, 2020.
3- Bassir SH, El Kholy K, Chen CY, Lee KH, Intini G. Outcome of early dental implant placement versus other dental implant placement protocols: A systematic review and meta-analysis. J Periodontol. 2019 May;90(5):493-506. doi: 10.1002/JPER.18-0338. Epub 2018 Dec 5. PMID: 30395355; PMCID: PMC6500770.
4- Bezerra L.S. Instalação de implante imediato após exodontia do elemento 21: relato de caso clínico. Universidade Federal de Uberlândia, 2022.
5- Buser D et al. Early implant placement following single-tooth extraction in the esthetic zone:biologic rationale and surgical procedures. Int J Periodontics Restorative Dent, 2017.
6- Ra G, Wo Q. Bone regeneration in dentistry: an overview. J Biol Regul Homeost Agents. 2021 Jan-Feb;35(1 Suppl. 1):37-46. PMID: 33463141.
7- Sghaireen MG, Shrivastava D, Alnusayri MO, Alahmari AD, Aldajani AM, Srivastava KC, Alam MK. Bone Grafts in Dental Implant Management: A Narrative Review. Curr Pediatr Rev. 2022;19(1):15 20. doi: 10.2174/1573396318666220411105715. PMID: 35410611.





