Por Rodrigo Guerra de Oliveira, Pedro Resende Oliveira, Leonardo Picinini e Ulisses Dayube
Introdução
Nos últimos anos, a Odontologia passou por uma transformação significativa com a integração de tecnologias digitais em vários aspectos da prática odontológica. A Odontologia digital abrange uma ampla gama de tecnologias e técnicas, incluindo imagens tridimensionais (3D), projeto e fabricação auxiliados por computador (CAD/CAM), scanners intraorais, entre outros. Essas inovações não apenas melhoraram a precisão e a exatidão dos procedimentos odontológicos, mas também levaram a uma melhor comunicação tanto com o laboratório quanto com o paciente[1].
Os implantes dentários demonstraram ser uma opção de tratamento confiável, oferecendo estabilidade a longo prazo para o tratamento de edêntulismo parcial e total. O posicionamento ideal dos implantes dentários é um critério essencial para alcançar restaurações protéticas ideais e previsibilidades em resultados estéticos. Com isso, a Odontologia digital tem se consolidado como uma revolução nos processos clínicos e laboratoriais, promovendo maior precisão, previsibilidade e eficiência em diversas especialidades[2]. A posição correta do implante implica em melhor resultado estético e facilita a estabilidade biomecânica e funcional[3]. Na Implantodontia, a integração de tecnologias como tomografia computadorizada de feixe cônico (CBCT), escaneamento intraoral, softwares 3D de planejamento virtual e técnicas de manufatura aditiva (impressão 3D) permitiu o desenvolvimento da cirurgia guiada, diminuindo o risco de falhas cirúrgicas[4]
Dois tipos de arquivos são necessários para o planejamento digital e a confecção de guias cirúrgicos. Os scanners intraorais adquirem imagens tridimensionais, que após sua completa varredura, serão salvas em arquivos digitais no formato STL (Standard Triangle Language). Por outro lado, os scanners CBCT (Cone Beam Computed Tomography) produzem imagens 3D fidedignas de estruturas ósseas no formato DICOM (Digital Imaging and Communication in Medicine)[5]. A CBCT possui uma dose de radiação menor (92–118 μSv) do que a TC (860 μSv), portanto, é frequentemente utilizada no planejamento de implantes dentários[6]. Tanto a TC quanto a CBCT, são armazenadas no formato universal DICOM. Além dos dados de imagem, informações geométricas e práticas (como detalhes e configurações de aquisição) estão incluídas no arquivo DICOM[7]. As imagens digitais obtidas através do arquivo DICOM obtido pela CBCT são inseridas em um software de desenho assistido por computador (CAD), onde serão confeccionados os modelos digitais e protéticos e, posteriormente, impressos através da manufatura aditiva assistida por computador (CAM)[8].
O guia cirúrgico pode variar dependendo de sua função: edêntulo ou parcial, podendo ser apenas apoiado em dentes ou necessitando de pinos de fixação para criar suporte e orientação para a cirúrgia[9]. Diferentes designs de guias também são descritos, como: guias para guiar apenas a broca piloto (guiada por piloto) ou guiar cada broca da sequência de broca específica do implante (totalmente guiada)[10]. Os guias de broca podem ser suportados pelos dentes remanescentes, pela mucosa, diretamente pelo osso ao redor do implante ou por mini-implantes inseridos temporariamente[11]. Especialmente em maxilares edêntulos com suporte de mucosa, a estabilidade pode ser melhorada com pinos de fixação, fixando o guia ao osso[12].
Essas razões levaram à realização deste relato de caso, que tem como objetivo mostrar como feito o posicionamento ideal do implante pela cirurgia guiada combinada com o fluxo misto da prótese analógica.
Discussão
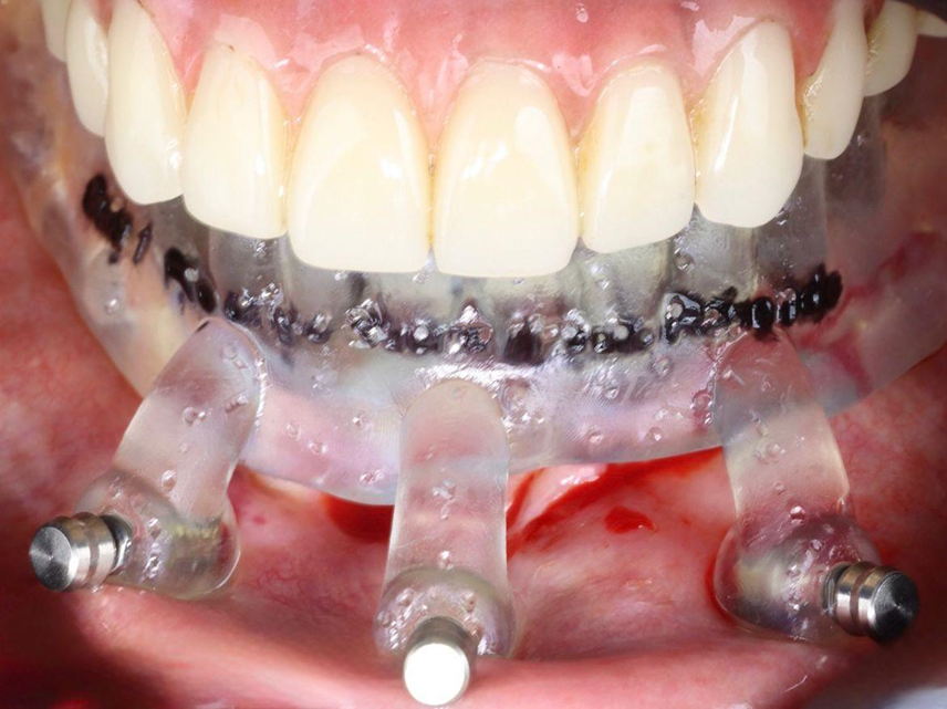
Paciente de 62 anos, do sexo feminino, sem comorbidades e história médica pregressa, apresentava severa reabsorção óssea em regiões anteriores e posteriores da mandíbula devido a uma peri-implantite (Figuras 1A e 1B). Feita a remoção dos implantes, a paciente optou por utilizar uma prótese total mucossuportada até a nova intervenção com prótese do tipo protocolo inferior. Após seis meses, a mandíbula encontrava-se cicatrizada (Figura 2). Como parte do protocolo diagnóstico, foi realizada tomografia computadorizada pela técnica do duplo DICOM. Com a severa perda óssea em região anterior de mandíbula, optamos por realizar a cirurgia de forma guiada, aumentando a previsibilidade e precisão da cirurgia. Os arquivos obtidos foram exportados para o software CoDiagnostiX, possibilitando a realização do planejamento reverso e o subsequente posicionamento virtual dos implantes (Figura 3). Com base no planejamento, optou-se pela instalação de quatro implantes Implacil Osstem CM AR Due Cone (3,5 x 7 mm), associados a mini-cônicos de 1,5 mm (Figuras 4A, 4B, 4C, 4D e 4E). A partir da tomografia da prótese da própria paciente, confeccionaram-se duas guias cirúrgicas: uma guia de pino de fixação (Figura 5) e uma guia de fresagem para a instalação dos implantes (Figura 6). Durante o procedimento cirúrgico, inicialmente foi posicionada a guia de pino de fixação para fresagem dos pinos de fixação e orientação da sequência cirúrgica (Figura 7). Após essa etapa, a guia foi substituída pela guia de fresagem dos implantes (Figura 8), utilizada para a fresagem e inserção dos implantes planejados (Figura 9). Concluída a instalação, optou-se por seguir o fluxo analógico, com a adaptação dos mini-cônicos 1.5 mm (Figura 10), realização da transferência de moldagem com silicona de adição leve e sutura com fio absorvível Vycril 6-0. O guia inicial foi adaptado com broca Maxicut, possibilitando sua utilização como molde de orientação para o laboratório protético (Figura 11). Após a moldagem, foram posicionadas as tampas de proteção sobre os implantes. Na fase protética, transcorridas 48 horas do procedimento cirúrgico, foi realizada a prova clínica da barra metálica e dos dentes (Figura 12). Na etapa subsequente, 72 horas após a cirurgia, procedeu-se à instalação e entrega do protocolo mandibular inferior e radiografia prévia, reabilitando funcional e esteticamente a paciente em curto espaço de tempo (Figuras 13A e 13B).



















Referências Bibliográficas
1- Gawali N, Shah PP, Gowdar IM, Bhavsar KA, Giri D, Laddha R. The Evolution of Digital Dentistry: A Comprehensive Review. J Pharm Bioallied Sci. 2024 Jul;16(Suppl 3):S1920-S1922. doi: 10.4103/jpbs.jpbs_11_24. Epub 2024 Apr 3. PMID: 39346228; PMCID: PMC11426768.
2- Werny JG, Frank K., Fan S. et al. Cirurgia de implante à mão livre vs. assistida por computador: uma revisão sistemática e meta-análise — parte 1: precisão da posição planejada e posicionada do implante. Int J Implant Dent 11 , 35 (2025). https://doi.org/10.1186/s40729-025-00622-w.
3- Moraschini V, Velloso G, Luz D, Barboza EP. Taxas de sobrevivência de implantes, alterações no nível ósseo marginal e complicações na reabilitação de boca inteira com cirurgia guiada por computador sem retalho: uma revisão sistemática e meta-análise. Int J Oral Maxillofac Surg. 2015;44(7):892–901. doi: 10.1016/j.ijom.2015.02.013.
4- Al-Harbi SA, Sun AY. Implant placement accuracy using dynamic navigation in single and complete-arch restorations: a systematic review and meta-analysis. Clin Oral Implants Res. 2021;32(4):383-393. [PMID: 33576194].
5- Kernen F, Kramer J, Wanner L, Wismeijer D, Nelson K e Flügge T, Uma revisão do software de planejamento virtual para cirurgia guiada de implantes — importação e visualização de dados, projeto e fabricação de guias de broca, BMC Oral Health 20, nº 1 (2020): 251, 10.1186/s12903-020-01208-1.
6- Ludlow JB, Ivanovic M. Dosimetria comparativa de dispositivos odontológicos de CBCT e TC de 64 cortes para radiologia oral e maxilofacial. Oral Surg Oral Med Oral Pathol Oral Radiol Endod. 2008;106(1):106–114. doi: 10.1016/j.tripleo.2008.03.018.
7- Schulze R, Bruellmann DD, Roeder F, d’Hoedt B. Determinação da geometria de projeção a partir da avaliação quantitativa da distorção de referências esféricas em radiografias de projeção de vista única. Med Phys. 2004;31(10):2849–2854. doi: 10.1118/1.1796951.
8- Flugge T; Derksen W; Te Poel J; Hassan B; Nelson K; Wismeijer D. Registro de dados de tomografia computadorizada de feixe cônico e varreduras de superfície intraoral — um pré-requisito para cirurgia de implante guiada com guias de perfuração CAD/CAM. Clin. Oral Implant Res. 2017 , 28 , 1113–1118.
9- Deepanandan L, Karthikrajan G. Drill Bit Guiding System for Implant Placement. Ann Maxillofac Surg. 2018 Jul-Dec;8(2):230-233. doi: 10.4103/ams.ams_163_18. PMID: 30693237; PMCID: PMC6327804.
10- Vercruyssen M, Fortin T, Widmann G, Jacobs R, Quirynen M. Diferentes técnicas de cirurgia de implante guiada estática/dinâmica: modalidades e indicações. Periodontal 2000. 2014;66(1):214–227. doi: 10.1111/prd.12056.
11- Turbush SK, Turkyilmaz I. Precisão de três tipos diferentes de guias cirúrgicos estereolitográficos na colocação de implantes: um estudo in vitro. J Prosthet Dent. 2012;108(3):181–188. doi: 10.1016/S0022 3913(12)60145-0.
12- Cassetta M, Di Mambro A, Giansanti M, Stefanelli LV, Cavallini C. O erro intrínseco de um modelo cirúrgico estereolitográfico em cirurgia guiada por implante. Int J Oral Maxillofac Surg. 2013;42(2):264–275. doi: 10.1016/j.ijom.2012.06.010.
Outros artigos para leitura:




