Introdução
A evolução das técnicas de cirurgia guiada aliada à personalização de componentes tem proporcionado precisão e previsibilidade nos procedimentos de reabilitação com implantes dentários. Este relato descreve um caso clínico com fratura vertical do dente 46, onde foi realizada exodontia minimamente invasiva, instalação de implante Maestro Superiore, da Implacil Osstem, com cirurgia guiada, uso de cicatrizador personalizado impresso e escaneamento indireto para confecção de coroa definitiva em zircônia fresada.
Materiais e métodos
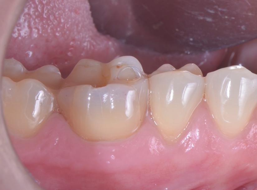
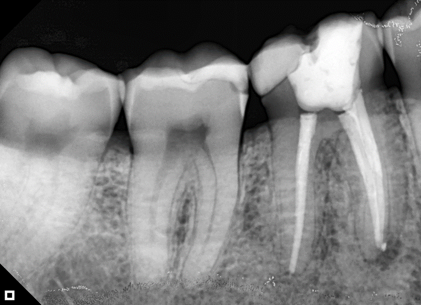
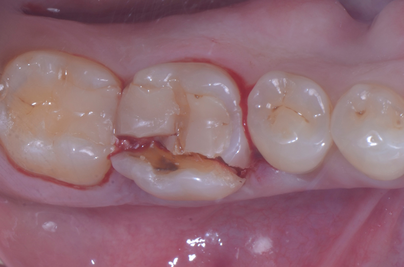
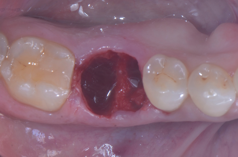
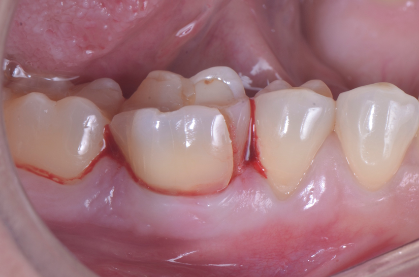
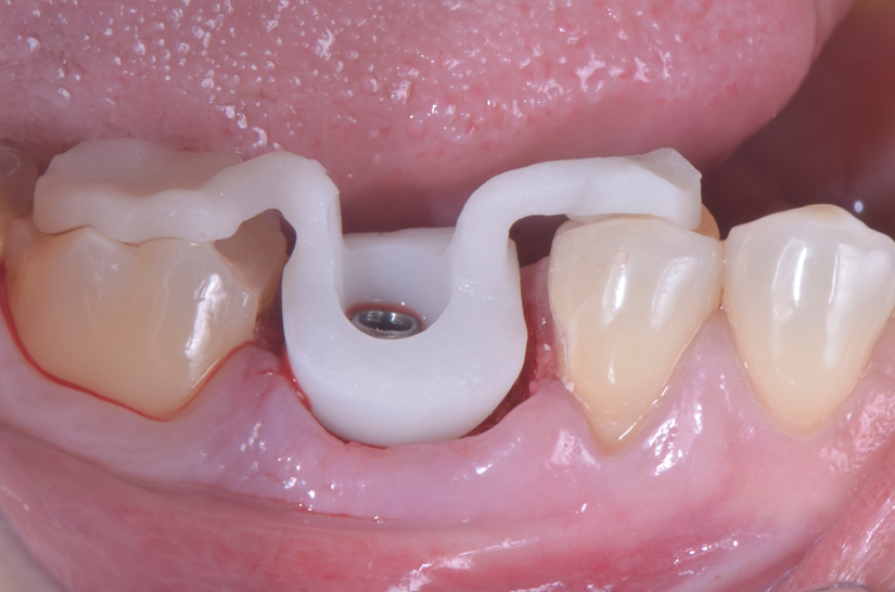
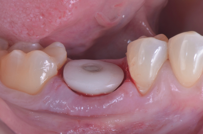
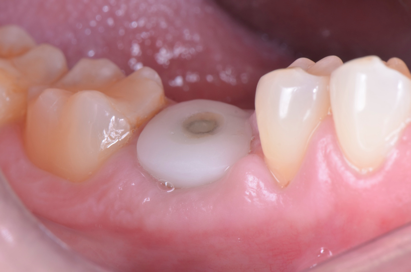
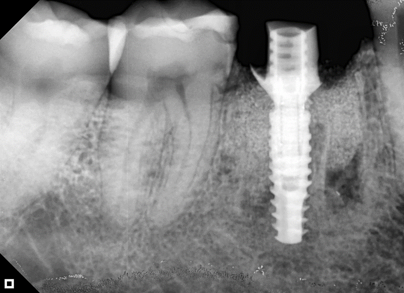
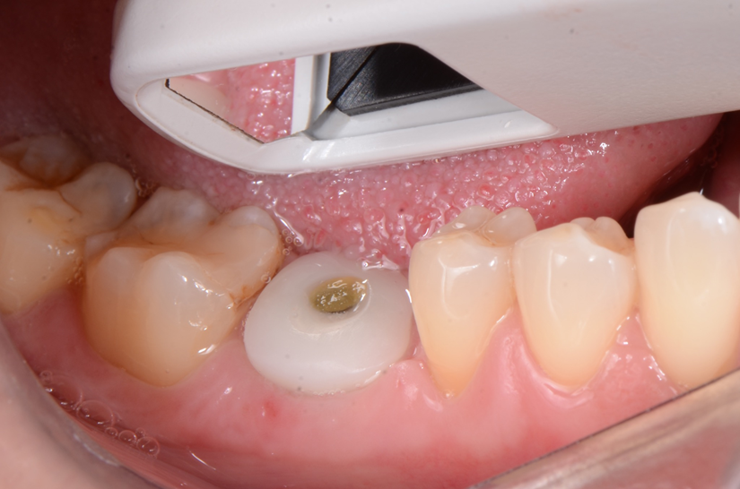
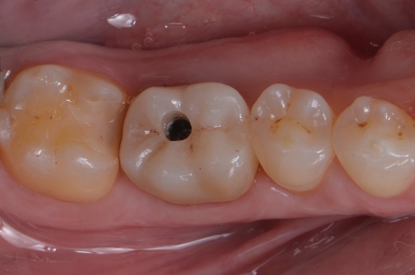
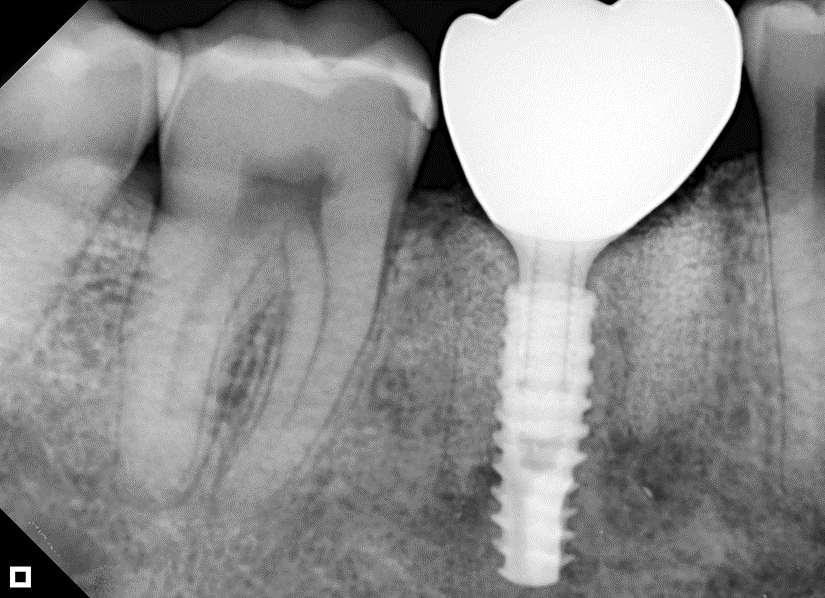
O paciente apresentou fratura vertical mésio-distal no elemento 46. Foi planejada a exodontia minimamente traumática e instalação imediata do implante Maestro Superiore (Implacil Osstem) utilizando uma guia prototipada. Após a exodontia, o implante foi instalado seguindo o protocolo de cirurgia guiada. O GAP vestibular foi preenchido com o Extra Graft. Um cicatrizador personalizado impresso com haletas facilitadoras foi capturado com resina flow e instalado. Após 30 dias, foi realizado escaneamento indireto para obtenção do perfil de emergência, utilizando protocolo digital com sobreposição do cicatrizador escaneado para confecção da coroa definitiva em zircônia policristalina estabilizada por ítria.










Etapas de personalização do cicatrizador e escaneamento










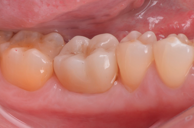
Escaneamento digital e reabilitação com coroa definitiva











Discussão
A reabilitação imediata de áreas posteriores com implantes instalados no alvéolo pós-extração tem mostrado alta previsibilidade, especialmente quando associada a guias cirúrgicos prototipados e componentes personalizados. O uso de implantes com conexão cônica interna, como o Maestro Superiore (Implacil Osstem), proporciona maior estabilidade mecânica e melhor vedação bacteriana na interface implante/pilar, contribuindo para a manutenção óssea marginal1,2.
A aplicação de biomateriais como o Extra Graft no preenchimento do GAP tem por objetivo preservar o volume alveolar e otimizar a cicatrização3,4. Estudos apontam que o uso de biomateriais associados ao implante imediato resultam em menor reabsorção óssea horizontal e vertical5.
O uso de cicatrizadores personalizados, especialmente confeccionados por impressão 3D, tem ganhado destaque por permitir a conformação tecidual progressiva, facilitando a reprodução do perfil de emergência no fluxo digital6,7. A captura do cicatrizador com haletas de retenção com resina flow e seu posterior escaneamento são etapas críticas para assegurar a fidelidade da transferência do perfil de emergência e garantir um planejamento restaurador mais previsível8.
Neste caso, a sobreposição digital entre o cicatrizador escaneado e o desenho da coroa possibilitou comparar perfis de emergência com excelente adaptação clínica, contribuindo para um resultado estético e funcional adequado.
Considerações finais
A associação entre cirurgia guiada, biomateriais osteocondutores, componentes personalizados e fluxo digital completo permitiu uma reabilitação precisa, estética e minimamente invasiva do dente 46. O uso do cicatrizador impresso personalizado mostrou-se eficaz na preservação do perfil de emergência, otimizando a integração entre cirurgia e prótese. Essa abordagem representa uma tendência moderna na Implantodontia digital, com benefícios clínicos e biológicos evidentes para o paciente.
REFERÊNCIAS BIBLIOGRÁFICAS
1- Mangano F, Macchi A, Shibli JA, et al. Clinical and Radiographic Evaluation of Implants with Internal Hexagonal and Conical Connections: A 36-Month Prospective Study. Int J Oral Maxillofac Implants. 2018;33(4):847-856.
2- Javed F, AlHezaimi K, Salameh Z, Almas K, Romanos GE. Provisional implant restorations: current clinical and technical concepts. J Esthet Restor Dent. 2011;23(6):307-315.
3- Araujo MG, Lindhe J. Dimensional ridge alterations following tooth extraction. An experimental study in the dog. J Clin Periodontol. 2005;32(2):212-218.
4- Darby I, Chen S, Buser D. Ridge preservation techniques for implant therapy. Int J Oral Maxillofac Implants. 2009;24 Suppl:260-271.
5- Baumer D, Zuhr O, Rebele S, Schneider D, Jung RE, Hürzeler MB. The socket-shield technique: first histological, clinical, and volumetrical observations after separation of the buccal tooth segment — a pilot study. Clin Implant Dent Relat Res. 2015;17(1):71-82.
6- Lin WS, Zandinejad A, Metz MJ, Harris BT, Morton D. Predictable restorative workflow for single-unit implant restorations. Int J Oral Maxillofac Implants. 2014;29(6):1346-1352.
7- Martin W, Pollini A, Morton D. The influence of restorative procedures on implant stability measurements during the healing phase. Clin Implant Dent Relat Res. 2014;16(2):294-301.
8- Tsukiyama T, Koyano K, Urano S. Influence of implant design and bone quality on stress/strain distribution in bone around implants: a 3-dimensional finite element analysis. Int J Oral Maxillofac Implants. 2006;21(5):766-772.
Outros artigos para leitura:





