Por Paulo Cruz e Paulo Lautenschlaeger

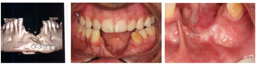
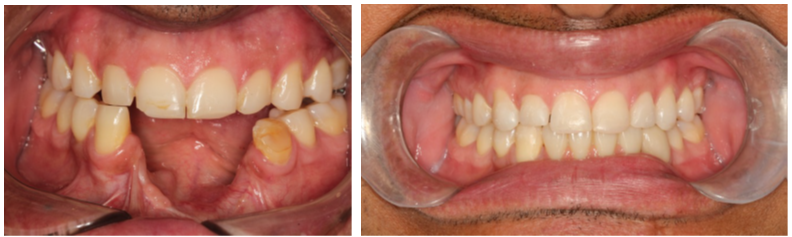
Este caso clínico limítrofe e contempla a reabilitação de um paciente que sofreu um acidente. O trauma resultou na perda do osso, lábios e gengiva inserida e mucosa com bastante necrose dos tecidos, visto que ficou o paciente precisou ficar na UTI por cinco dias e só depois disso recebeu os cuidados odontológicos.


A cirurgia de reconstrução óssea estava contraindicada devido à qualidade ruim dos tecidos moles. Por conta disso, foi planejada uma cirurgia guiada para evitar o descolamento do tecido mole que fatalmente teria muita dificuldade para ter uma reparação satisfatória.





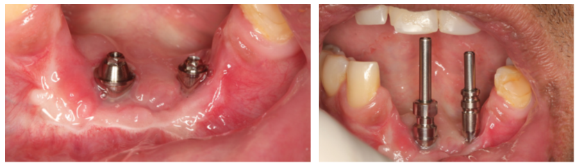
A escolha foi pelo implante Cone Morse Maestro, pois o osso era muito cortical e a macrogeometria do implante Maestro permite a colocação com um torque menor.
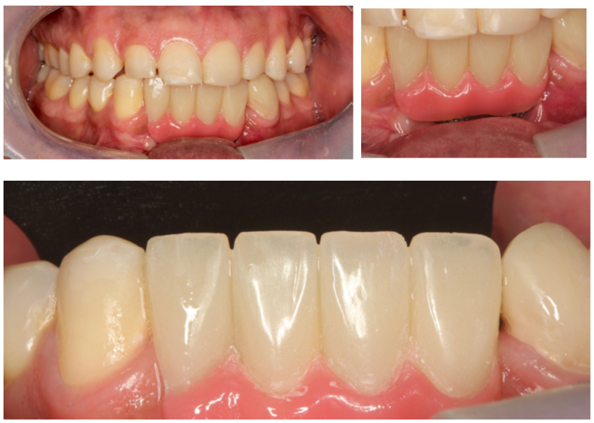
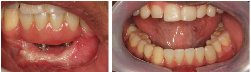
Após três meses, foi realizado enxerto gengival livre e o aprofundamento de vestíbulo.

Na sequência de imagens, podemos perceber a formação de gengiva inserida e a devolução do vestíbulo que tinha sido totalmente perdido.











A cirurgia guiada foi fundamental na resolução desse caso, pois uma cirurgia com incisão e descolamento de tecido mole traria muitas dificuldades para a cicatrização.
Considerações finais
Tecnologia avançada, produtos de excelência, planejamento correto e prótese com ótima estética e função devolveram qualidade de vida e melhoraram a autoestima ao paciente.
REFERÊNCIAS BIBLIOGRÁFICAS
1- Romandini M, Ruales-Carrera E, Sadilina S, Hammerle CHF, Sanz M. Minimal invasiveness at dental implant placement: A Systematic review whit metaanalyses on flawless fully guided surgery. Periodontal 2000. 2023 Feb;89-112. DOI 10.1111/prd.12440. Epub 2022 jul 30. PMID: 35906928
2- Outra RH, Yoda, Asturi ER, Sasaki K. The accuracy of implant placement with computer-guided surgery in partially dentados patients and positle influxencing factors: A systemic review and metaanalysis J Prosthodont Res. 2022 jan 11;66{1}:29-39. Doi: 10.2186/jpr.JPR_D_20_00184. Epub 2021 jan 26.PMID: 33504723
3- Joda T, Zarone F, Ferrari M. The complete digital workflow in fixed prosthodonticstics: a systematic review. BMC Oral Health. 2017 sept 19;17{1}:124. Dog: 10.1186/s12903-017-0415-0.PMID: 28927393
4- Urban IA, Montero E, Amerio E, Palombo D, Monje A. Techniques on vertical ridge augmentation: Indications and effectiveness. Periodontol 2000. 2023 Oct;93{1}:153-182. DOI: 10.1111/prd.12471.Epub 2023 jan 31.PMID 36721380
Outros artigos para leitura:





