Por Márcio Casati e Letícia Sandoli Arroteia
Introdução
Paciente V.S.P.F., 54 anos, sexo feminino, procurou atendimento na Faculdade de Odontologia de Piracicaba e relatou durante a anamnese não ter passado por tratamento periodontal anterior, e que não tinha queixa de sangramento ou coceira, dor, mal hálito, nem gosto desagradável na boca. Não sentia dentes abalados, nem dores no rosto pela manhã ou sentia toque prematuro. Relatou ter espaços nos dentes que antes não existiam, porém sem a migração de nenhum. Fazia a escovação dos dentes três vezes ao dia com escova macia e fio dental uma vez ao dia.
Durante exame clínico foi observada migração apical da margem gengival nos dentes 11 e 12 e acúmulo de biofilme na região. Radiograficamente notou-se que o dente 11 era um implante com perda óssea de aproximadamente metade do comprimento.

Após realização do periograma, paciente tinha 27% de sangramento a sondagem e 30% de índice de placa. Na região do implante 11 apresentou profundidade de sondagem igual a 6mm e recessão gengival de 4mm. E suspeita de reabsorção do dente 21. A paciente foi diagnosticada com doença periodontal crônica (P4) e peri-implantite.
A peri-implantite está presente em aproximadamente 22% dos implantes (Berglundh et al., 2018). O biofilme bacteriano é o principal agente etiológico, mas fatores como históricos de periodontite, higiene inadequada, ausência de manutenção e características protéticas elevam o risco (Schwarz et al., 2018; Sanz et al., 2020). Além disso, a composição do biofilme peri-implantar difere dos dentes naturais e é influenciada pelo tipo de conexão, desenho e material do pilar (Kumar, 2019; Alarcón-Sánchez et al., 2023). Compreender a interação entre fatores protéticos, microbiológicos e imunológicos é essencial para prevenir a perda dos tecidos peri-implantares.
A adesão do paciente ao plano de tratamento é fundamental para o sucesso da terapia implantossuportada, especialmente na prevenção das doenças peri-implantares. Pacientes com baixa adesão às manutenções apresentam maior risco de inflamação e perda óssea (Costa et al., 2012; Roccuzzo et al., 2010). A manutenção regular permite monitoramento clínico e radiográfico, remoção do biofilme e reforço da higiene oral. O engajamento do paciente, com compreensão da importância do cuidado contínuo, é vital para a estabilidade dos tecidos peri-implantares e o sucesso a longo prazo do tratamento.
Portanto, o tratamento proposto foi terapia inicial, instruções de higiene bucal com escova dental macia comum, fio dental, escova interdental, escova unitufo e remoção do cálculo e placa supragengival. Em seguida, foi feita a terapia básica com instrumentação subgengival e descontaminação não cirúrgica com iodo povidine das superfícies do dente e do implante. Estudos clínicos também têm demonstrado resultados favoráveis através da associação do PVP-I ao tratamento da doença periodontal crônica na atividade bactericida (Rosling et al., 1986; Christersson et al., 1988; Collins et al., 1993; Rosling et al., 2001; Hoang et al., 2003), quando utilizado como irrigante subgengival (Wolff et al., 1989; Leonhardt et al., 2006; Leonhardt et al., 2007). A terapia não cirúrgica é eficaz na redução da inflamação e do sangramento, mas apresenta limitações quanto à regeneração tecidual. A literatura recomenda sua aplicação como etapa inicial, preparando o tecido para uma intervenção cirúrgica com menor inflamação e sangramento (Renvert et al., 2019).

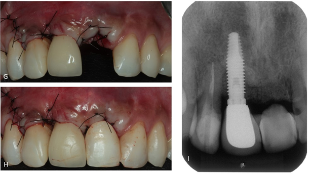
Após reavaliação da terapia básica, constatou-se necessidade de terapia cirúrgica envolvendo a extração do dente 21 e confecção de provisório, descontaminação do defeito e preenchimento com biomaterial.


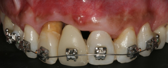
Também foi proposto o tracionamento do elemento 12 com o uso de aparelho ortodôntico para posterior exodontia, a fim de trazer coronalmente todo o conjunto periodontal. O tracionamento ortodôntico— incluindo dente, osso e tecidos moles — é uma técnica eficaz para preservação óssea em dentes com indicação futura de exodontia (Passanezi et al.2019). Assim, o tracionamento coronal é uma alternativa conservadora e previsível para otimizar a futura arquitetura peri-implantar.




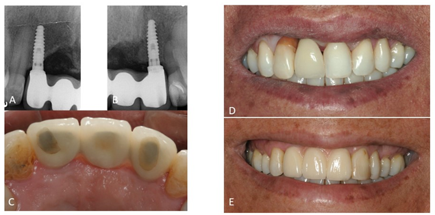
Após reavaliação, foi planejada a explantação do elemento 11 e exodontia do 12 e, após seis meses, planejado colocação de implante Cônico HI Implacil Osstem de 3,5x11mm e reabilitação. A paciente não aceitou passar por cirurgia para aumento da espessura e altura de tecido queratinizado, o que poderia melhorar a estética e favorecer a higienização. No entanto, a autonomia do paciente deve ser respeitada e as limitações devem ser explicadas. Nestes casos, o acompanhamento clínico personalizado e manutenções devem ser feitas regularmente para saúde e longevidade do sucesso da terapia de implantes.
REFERÊNCIAS BIBLIOGRÁFICAS
1- Berglundh T, Armitage G, et al. Peri-implant diseases and conditions: Consensus report of workgroup 4 of the 2017 World Workshop on the Classification of Periodontal and Peri-Implant Diseases and Conditions. J Periodontol. 2018; 89(Suppl 1): S313-S318. https://doi.org/10.1002/JPER.17-0739.
2- Schwarz F, Derks J, Monje A, Wang H-L. Peri-implantitis. J Clin Periodontol. 2018; 45(Suppl 20): S246 S266. https://doi.org/10.1111/jcpe.12954.
3- Sanz M, Herrera D, Kebschull M, Chapple I, Jepsen S, Beglundh T, Sculean A, Tonetti MS; EFP Workshop Participants and Methodological Consultants. Treatment of stage I-III periodontitis-The EFP S3 level clinical practice guideline. J Clin Periodontol. 2020 Jul;47 Suppl 22(Suppl 22):4-60. doi: 10.1111/jcpe.13290. Erratum in: J Clin Periodontol. 2021 Jan;48(1):163. doi: 10.1111/jcpe.13403. PMID: 32383274; PMCID: PMC7891343.
4- Kumar PS. Systemic Risk Factors for the Development of Periimplant Diseases. Implant Dent. 2019 Apr;28(2):115-119. doi: 10.1097/ID.0000000000000873. PMID: 30893143.
5- Alarcón-Sánchez MA, Heboyan A, Fernandes GVO, Castro-Alarcón N, Romero-Castro NS. Potential Impact of Prosthetic Biomaterials on the Periodontium: A Comprehensive Review. Molecules. 2023 Jan 20;28(3):1075. doi: 10.3390/molecules28031075. PMID: 36770741; PMCID: PMC9921997.
6- Costa FO, Takenaka-Martinez S, Cota LO, Ferreira SD, Silva GL, Costa JE. Peri-implant disease in subjects with and without preventive maintenance: a 5-year follow-up. J Clin Periodontol. 2012 Feb;39(2):173-81. doi: 10.1111/j.1600-051X.2011.01819.x. Epub 2011 Nov 23. PMID: 22111654.
7- Roccuzzo M, De Angelis N, Bonino L, Aglietta M. Ten-year results of a three-arm prospective cohort study on implants in periodontally compromised patients. Part 1: implant loss and radiographic boné loss. Clin Oral Implants Res. 2010 May;21(5):490-6. doi: 10.1111/j.1600-0501.2009.01886.x. Epub 2010 Mar 11. PMID: 20337668.
8- Rosling, B.G., Slots, J., Christersson, L.A., Gröndahl, H.G. and Genco, R.J. (1986), Topical antimicrobial therapy and diagnosis of subgingival bacteria in the management of inflammatory periodontal disease. Journal of Clinical Periodontology, 13: 975-981. https://doi.org/10.1111/j.1600-051X.1986.tb01436.x.
9- Christersson LA, Rosling BG, Dunford RG, Wikesjö UME, Zambon JJ, Genco RJ. Monitoring of subgingival Bacteroides gingivalis and Actinobacillus Actinomycetemcomitans in the management of advanced periodontitis. Adv Dent Res. 1988; 2 (2): 382-388.
10- Collins JG, Offenbacher S, Arnold RR. Effects of a combination therapy to eliminatePorphyromonas gingivalis in refractory periodontitis. J Periodontol. 1993; 64: 998-1007.
11- Rosling B, Hellström MK, Ramberg P, Socransky SS, Lindhe J. the use of PVP-iodine as an adjunct to non-surgical treatment of chronic periodontitis. J Clin Periodontol. 2001; 28 (11): 1023-1031.
12- Hoang T, Jorgensen MG, Keim RG, Pattison AM, Slots J. Povidone iodine as a periodontal pocket disinfectant. J Periodont Res. 2003; 38 (3): 311-317.
13- Wolff LF, Bakdash B, Pihlstrom BL, Bandt CL, Aeppli DM. The effect of professional and home subgingival irrigation with antimicrobial agents on gingivitis and early periodontitis. J Dent Hyg. 1989; 63: 222-241.
14- Leonhardt A, Bergstrom C, Krok L, Cardaropoli G. Healing following ultrasonic debridement and PVP-iodine in individuals with severe chronic periodontal disease: a randomized, controlled clinical study. Acta Odontol Scand. 2006 Oct.;64(5):262-6.
15- Leonhardt A, Bergström C, Krok L, Cardaropoli G. Microbiological effect of the use of an ultrasonic device and iodine irrigation in patients with severe chronic periodontal disease: a randomized controlled clinical study. Acta Odontol Scand. 2007 Feb;65(1):52-9.
16- Renvert S, Hirooka H, Polyzois I, Kelekis-Cholakis A, Wang HL; Working Group 3. Diagnosis and non-surgical treatment of peri implant diseases and maintenance care of patients with dental implants – Consensus report of working group 3. Int Dent J. 2019 Sep;69(Suppl 2):12-17. doi: 10.1111/idj.12490. PMID: 31478575; PMCID: PMC9379037.
17- Passanezi E, Sant’Ana ACP. Role of occlusion in periodontal disease. Periodontol 2000. 2019 Feb;79(1):129-150. doi: 10.1111/prd.12251. PMID: 30892765.
Outros artigos para leitura:





