Por Ronaldo Fabiano, Luís Felipe Guilardi e Rodrigo Moreira da Cunha
Caso clínico
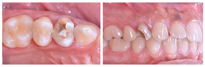
Paciente jovem (32 anos) apresentou-se na clínica com o primeiro pré-molar superior direito com fratura corono-radicular e grande lesão periapical com rompimento da cortical vestibular, sendo, portanto, indicada a extração dentária. Dada a idade do paciente e a importância de se manter a estética e a função na região, optou-se pela instalação imediata de implante dentário associada à preservação e regeneração alveolar.
Após a extração dentária, o osso alveolar de sustentação começa a passar por um processo natural de remodelação e cicatrização, o qual é mais intenso nos primeiros meses. Neste caso, a preservação alveolar em conjunto com a regeneração óssea é indicada para que ocorra a correta manutenção do arcabouço/estrutura de sustentação remanescente após a extração dentária. Isso se dá através da manutenção da estabilidade da estrutura óssea, preservação do contorno e da densidade do osso alveolar. Sem esta abordagem, a perda de estrutura óssea e a ocorrência de deiscência gengival seria inevitável, causando um prejuízo estético e funcional para o paciente.
Sequência clínica
Após o diagnóstico e planejamento, baseados em exames radiográficos e clínicos (Figuras 1 e 2), a primeira etapa foi realizar uma extração dentária atraumática (secção dentária e utilização de periótomo fino e flexível), visando a preservação completa do periodonto de sustentação. Após a curetagem para remoção total da lesão periapical, fez-se a instalação do implante alcançando-se um ótimo travamento inicial e um correto posicionamento ápico/coronal e tridimensional (Figura 3). O Túnel Check, da Implacil De Bortoli (Figura 4), foi utilizado para avaliar o posicionamento tridimensional do implante e selecionar a altura correta do cicatrizador – optou-se por um cicatrizador ao invés do parafuso de cobertura do implante para que não houvesse formação óssea sobre o parafuso, o que tornaria a reabertura muito mais traumática. Após, a membrana Cytoplast TXT 200 Singles (Implacil De Bortoli) foi personalizada e instalada inicialmente na face palatina (Figura 5 – ela não deve ficar tocando nas faces proximais dos dentes vizinhos), seguido do preenchimento alveolar (Figura 6) com substituto ósseo natural contendo 25% de colágeno, o Extra Graft XG-13 (Implacil De Bortoli). Por conter colágeno na sua composição, o Extra Graft XG-13 não fica liberando as partículas ósseas ao longo do processo de osteointegração.
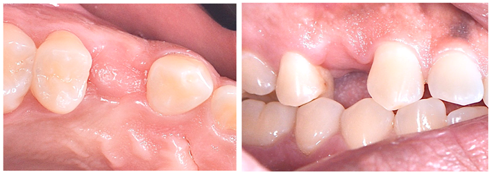
Finalizada a compactação do enxerto ósseo no sítio alveolar (Figura 7), o alvéolo foi selado com a membrana (Figura 7) e realizou-se a sutura com o fio Cytoplast, da Implacil De Bortoli (Figura 9), que é monofilamentar e feito em PTFE (Politetrafluoretileno). Essas características resultam em menor agregação bacteriana e em certa elasticidade do fio, o que reduz a chance de deiscência da sutura, uma vez que ele acompanha o deslocamento do tecido durante a inflamação e aumento de volume. Quatro semanas após a cirurgia, a sutura e a membrana foram removidas (Figuras 10 e 11). Como a membrana não é absorvível, ela deve ser removida entre 21 e 28 dias após a sua instalação. Após o período de 90 dias, realizou-se uma nova tomografia para se avaliar o correto posicionamento tridimensional do implante e a osteointegração (Figura 14).
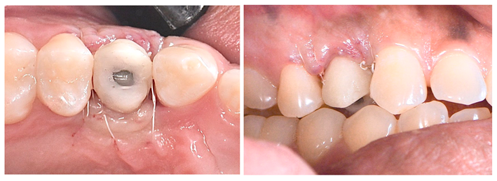
Constatada a perfeita osteointegração, realizou-se a reabertura do implante e instalação do dente provisório (Figuras 12 e 13) visando o condicionamento gengival para formação e maturação correta do perfil gengival previamente à confecção da coroa definitiva.
As imagens abaixo ilustram a sequência clínica utilizada neste caso, bem como os materiais utilizados para otimizar a preservação alveolar.














Considerações finais
O presente caso clínico mostra que essas abordagens combinadas – extração atraumática, implante imediato, enxerto e preservação alveolar – desempenham um papel fundamental na reabilitação oral, permitindo a substituição de dentes perdidos por implantes dentários com resultados estéticos e funcionais bastante satisfatórios e previsíveis.
REFERÊNCIAS:
1- Araújo MG, Lindhe J. Alterações dimensionais do rebordo após extração dentária. Um estudo experimental no cão.J Clin Periodontal. 2005; 32:212-218.
2- Chappuis V, Araújo MG, Buser D. Relevância clínica das alterações dimensionais ósseas e de tecidos moles pós-extração em sítios estéticos. Periodontia 2000.2017;73:73-83.
3- Levine RA, Ganeles J, Gonzaga L, et al. 10 chaves para implantes imediatos únicos de zona estética bem-sucedidos. Compend Contin Educ Dent. 2017;38(4):248-260.
4- Tarnow DP, Chu SJ, Salama MA, et al. Colocação de implante de alvéolo pós- extração sem retalho na zona estética: parte 1. O efeito do enxerto ósseo e/ou restauração provisória na mudança dimensional do rebordo palatino-facial – um estudo de coorte retrospectivo.Int J Periodontia Restauradora Dent. 2014;34:323-331.
5- Kan JY, Roe P, Rungcharassaeng K, Patel RD, Waki T, Lozada JL, et al. Classificação da posição sagital da raiz em relação ao alojamento ósseo maxilar anterior para colocação imediata de implantes: um estudo de tomografia computadorizada de feixe cônico. Int J Oral Maxillofac Implants 2011;26:873-6.
6- Chappuis V, Engel O, Reyes M, Shahim K, Nolte LP, Buser D. Alterações do rebordo pós-extração na zona estética: uma análise 3D com CBCT. J Dent Res 2013;92:195s-201s.
7- Buser D, Chappuis V, Belser UC, Chen S. Colocação de implantes pós-extração em locais estéticos de dentes unitários: quando imediato, quando precoce, quando tardio? Periodontol 2000;2017(73):84-102.
8- Wang HM, Shen JW, Yu MF, Chen XY, Jiang QH, He FM. Análise das dimensões da parede óssea facial e posição sagital da raiz na zona estética maxilar: um estudo retrospectivo usando tomografia computadorizada de feixe cônico. Int J Oral Maxillofac Implants 2014;29:1123-9.
9- Chen ST, Buser D. Resultados clínicos e estéticos de implantes colocados em locais pós-extração. Int J Oral Maxillofac Implants 2009;24(suppl):186-217.
10- Gluckman H, Pontes C C, Du Toit J. Posição do dente no plano radial e dimensões da parede óssea na maxila anterior: uma classificação com CBCT para colocação de implante imediato. The Jornal of Prosthetic Dentistry, 2017.
11- Lee J, Lee JB, Koo KT, Seol YJ, Lee YM. Manejo do retalho na preservação do rebordo alveolar: revisão sistemática e metanálise. Implantes Maxilofac Orais Int J.2018;33:613-621.
12- Gehrke SA, Junior JA, Treichel LE, Rodriguez F, Aza PN, Dedavid BA. Avaliação comparativa de dois biomateriais à base de colágeno com diferentes composições utilizados para enxerto ósseo: Um estudo experimental em animais. Journal of Applied Biomaterials e Functional Materials: 1-13; julho 2022.





