Por Marco Bianchini e Raíssa Curatelli
O maior problema da região anterior superior são os espaços mésio-distais que frequentemente estão reduzidos, impedindo de colocarmos um implante para cada incisivo perdido. Na maioria das vezes, o profissional opta por uma prótese fixa sobre dois implantes, que facilita a resolução estética. Contudo, esta solução, apesar de resolver bem a estética e função, acaba por frustrar alguns pacientes que gostariam de ter os seus dentes individualizados.
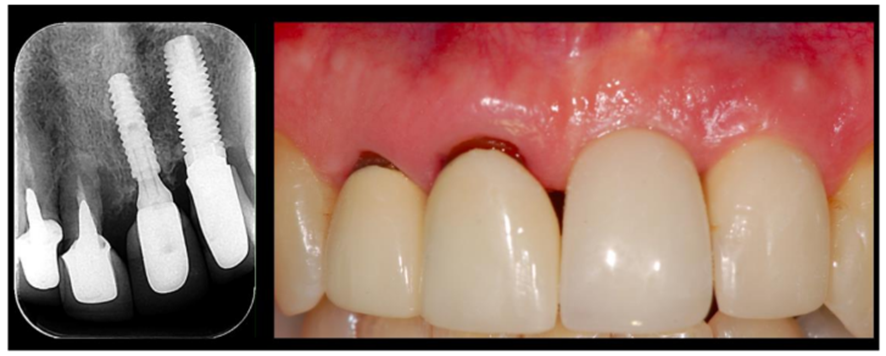
A fim de discutirmos com mais afinco este tópico, apresentamos um caso clínico bastante interessante da região anterior superior, onde o paciente foi perdendo dentes e colocando implantes ao longo de oito anos. As figuras 1 a 4 ilustram o caso.

Apesar das imagens radiográficas denunciarem os problemas ósseos do dente 11, foi o elemento 21 que fraturou primeiro, fazendo com que iniciássemos a reabilitação com implantes apenas no elemento 21, pois o paciente queria manter os seus demais dentes a todo custo.



Este caso abre um leque de discussões muito interessantes para a reabilitação anterior superior. O primeiro tópico a questionar seria o motivo de não se ter reabilitado logo os quatro incisivos, haja visto o comprometimento estético da área. A resposta é simples: o paciente não aceitou esta terapia, considerando que seria muito traumático perder quase todos os dentes anteriores de uma só vez. Assim, o caso foi sendo realizado de uma maneira mais conservadora e os implantes foram sendo colocados um a um, ao longo de oito anos, sob a decisão do paciente.
Outro aspecto interessante a ser avaliado é o comportamento dos tecidos moles peri-implantares, especialmente do implante 22. Este implante foi realizado antes de o paciente aparecer para nós, aproximadamente há uns 20 anos. Mesmo com todas as dimensões avantajadas deste implante, além da sua plataforma hexagonal interna, o implante estava em excelentes condições ósseas e com estabilidade marginal dos tecidos duros e moles. Muito provavelmente este resultado se deu pela colocação de um pilar protético tipo switching, a fim de se ganhar mais espaço para os tecidos moles.
O fenômeno observado nos implantes com plataforma switching segue os mesmos princípios dos pilares Ideale fabricados pela Implacil Osstem. Esta configuração de pilares mais estreitos e com cintas metálicas superiores a 1,5mm, conferem uma estabilidade marginal dos tecidos moles peri-implantares bastante segura, pois respeita o espaço biológico para acomodação do epitélio juncional e da adaptação conjuntiva.
Por fim, vale ressaltar bastante que o espaço mésio-distal da região dos incisivos facilitou a instalação dos implantes e das próteses, sem falar ainda na abundância de mucosa queratinizada que contribuiu diretamente no resultado estético final. Assim, podemos concluir que a utilização de implantes Cone Morse de diâmetro de 3,5 mm e com pilares mais estreitos, favorecem a manutenção do espaço biológico peri-implantar, aumentando a manutenção da saúde e a longevidade dos tecidos duros e moles ao redor dos nossos implantes.





