Por Ulisses Dayube e Luciana Dayube
Atualmente a instalação de implantes imediatos com carga imediata tornou-se mais comum e demonstrou apresentar muitas vantagens em comparação ao protocolo de implantes tardios. Dentre as vantagens mais relatadas na literatura1 temos: tempo de tratamento mais curto, redução do número de cirurgias, mais rapidez e conforto/estética, além de melhor custo-benefício.
Porém, embora a carga imediata seja uma técnica previsível2, alguns autores acreditam que ela parece ser mais arriscada na região posterior e muitos implantodontistas têm medo de realizar esta técnica devido às forças mastigatórias nesta área3. Os dentes posteriores podem representar um enorme desafio dependendo da morfologia do rebordo alveolar. As grandes aberturas dos alvéolos pós-exodontia são difíceis de selar sem um descolamento do retalho mucoperiosteal e da possibilidade de altas forças oclusais que não são indesejadas sobre a coroa provisória4. No entanto, uma exodontia minimamente invasiva, seguida da colocação de um implante imediato e de uma coroa provisória, costumava ser a opção de escolha quando se deseja evitar um segundo estágio cirúrgico e desejamos preservar a arquitetura dos tecidos5, 6.
Apesar da alta estabilidade primária dos implantes possibilitar a realização de carga imediata, alguns cuidados, como evitar excesso de forças oclusais na fase inicial, devem ser respeitados para a sobrevivência do implante5. Nesse sentido, buscando superar esses desafios e considerando a nova demanda por procedimentos minimamente invasivos, algumas abordagens clínicas têm sido propostas, como o uso de um cicatrizador personalizado. Esta técnica seria uma alternativa para orientar a cicatrização dos tecidos moles e preservar a forma anatômica de emergência, evitando o possível risco de sobrecarga mecânica e comprometimento da osteointegração.
Além disso, o uso de um cicatrizador personalizado posterior proporciona o selamento do alvéolo e protege o biomaterial ósseo, evitando a impactação alimentar e levando a uma cicatrização personalizada dos tecidos peri-implantares, o que favorece o resultado clínico da coroa definitiva, que apresenta melhor estabilidade dos tecidos moles peri-implantares6,7.
Relato de caso
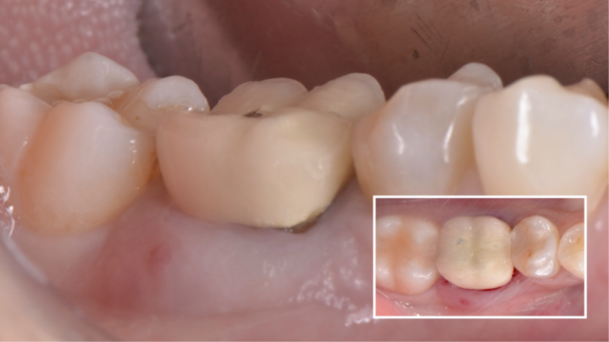
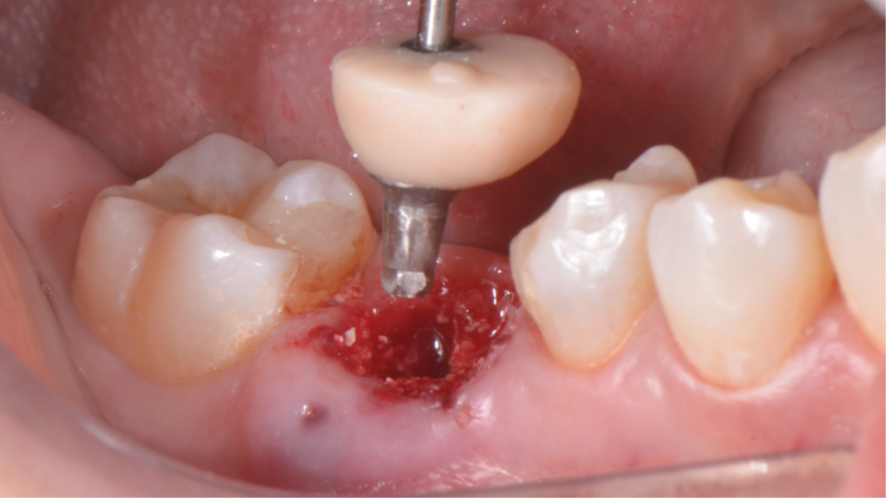
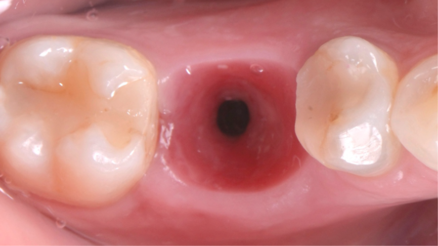
Mulher de 48 anos, sem antecedentes médicos relevantes, procurou atendimento odontológico com queixa principal de dor contínua em região do primeiro molar inferior direito. Na avaliação clínica foi observado uma fístula na vestibular do dente 46 (Figura 1) e a tomografia revelou uma fratura longitudinal, comprometendo a manutenção deste dente (Figura 2). Confirmada a necessidade de exodontia, foi planejada a instalação de um implante imediato e a confecção de um cicatrizador personalizado diretamente na plataforma do implante com um pilar provisório de titânio. Foi realizada uma extração dentária minimamente traumática visando preservar a integridade dos tecidos moles e duros circundantes (Figuras 3 e 4).






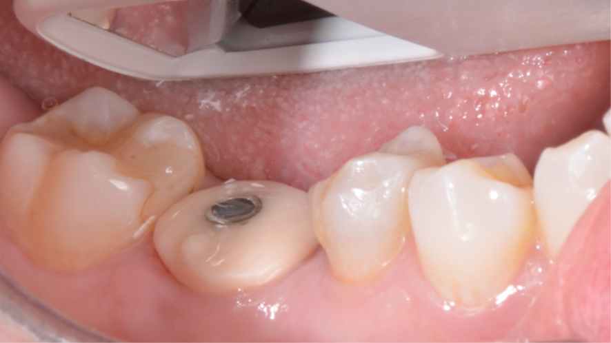
Após a instalação do implante, um cicatrizador foi colocado somente para proteger a conexão morse do implante e o GAP foi preenchido com Extra Graft 1g (Figura 7). Como foi alcançada uma alta estabilidade primária, um pilar provisório de titânio foi instalado e nele foi confeccionado um cicatrizador personalizado com resina fluida (Figuras 8, 9 e 10).




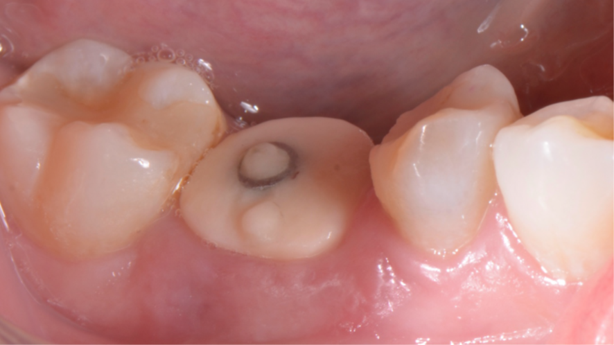
Aguardado 90 dias (Figura 11), o cicatrizador personalizado foi removido para avaliação do perfil de emergência (Figura 12) e da osseointegração do implante.


Partimos então para o escaneamento com o scanner Dexis IS3700 para realização da coroa sobre implante definitiva em zircônia. Fizemos a técnica do triplo escaneamento: 1- escaneamento do cicatrizador personalizado em boca (Figura 13); 2- escaneamento do transferente digital do CMAR (Figura 14); 3- escaneamento do cicatrizador personalizado fora da boca, parafusado no análogo (Figura 15).



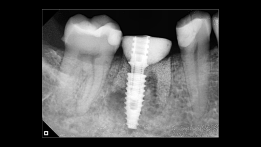
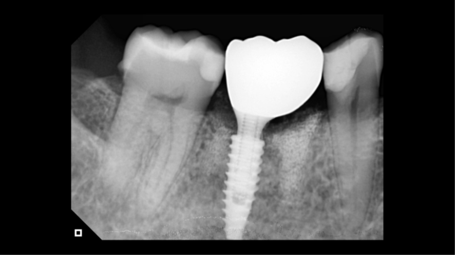
Agora, o laboratório de prótese consegue alinhar as malhas e fazendo a subtração da malha referente ao escaneamento do cicatrizador personalizado fora da boca, parafusado no análogo, temos exatamente o perfil de emergência adquirido pelo cicatrizador personalizado. Então, é realizado o CAD da coroa sobre implante (Figura 16), e após a fresagem em zircônia, acabamento, polimento e maquiagem, recebemos a coroa fresada em zircônia cimentada no pilar Base T (Figuras 17 e 18) pronta para ser instalada no implante. Logo após a instalação da coroa sobre implante (Figura 19), uma radiografia periapical foi realizada (Figura 20), a fim de confirmar a adaptação correta da coroa sobre implante.





Referências Bibliográficas
1- De Bruyn H, Raes S, Östman PO, Cosyn J. Immediate loading in partially and completely edentulous jaws: a review of the literature with clinical guidelines. Periodontol 2000. 2014;66: 153-87.
2- Chen J, Cai M, Yang J, Aldhohrah T, Wang Y. Immediate versus early or conventional loading dental implants with fixed prostheses: a systematic review and meta-analysis of randomized controlled clinical trials. J Prosthet Dent. 2019;122:516-36.
3- Akin R. A new concept in maintaining the emergence profile in immediate posterior implant placement: the anatomic harmony abutment. Int J Oral Maxillofacial Sur. 2016;74:2385-92.
4- Moraschini V, Barboza EP. Immediate versus conventional loaded single implants in the posterior mandible: a meta-analysis of randomized controlled trials. Int J Oral Maxillofacial Sur. 2016;45:85-92.
5- Hammerle CHF, Tarnow D. The etiology of hard-and soft-tissue deficiencies at dental implants: a narrative review. J Clin Periodontol. 2018;45:S267-S277.
6- Mihali SG, Freiman PC, Bratu EA. Maintaining tissue architecture in immediate implant placement following extraction of natural teeth using custom healing screw. Biomed J Sci & Tech Res. 2018;1: 6096-101.
7- Ruales-Carrera E, Pauletto P, Apaza-Bedoya K, Volpato CAM, Ozcan M, Benffati CAM. Peri-implant tissue management after immediate implant placement using a customized healing abutment. J Esthet Restor Dent. 2019;31:533-41





