Por Rodrigo Cunha
Para a resolução deste caso clínico, optamos por reabilitar com o implante Maestro na região do dente 11 através de cirurgia guiada prototipada. Com o auxílio do software Blue Sky Bios foi possível observar uma fratura do elemento dentário.
Através do recurso do planejamento em ambiente virtual observamos: a topografia óssea, a relação da raiz com o osso e a coroa clínica e que o posicionamento tridimensional do implante Maestro ficaria vestibularizado em função do avanço da pré-maxila.
Com isso, visualizamos a necessidade de instalar um pilar Ideale angulado de 17 graus para compensar a vestibularização e instalar a coroa definitiva e provisório parafusado, tudo já observado previamente.
No momento da instalação do implante, instalamos também um cicatrizador customizado impresso a fim de conduzir a osseointegração, a formação e maturação do perfil de emergência.
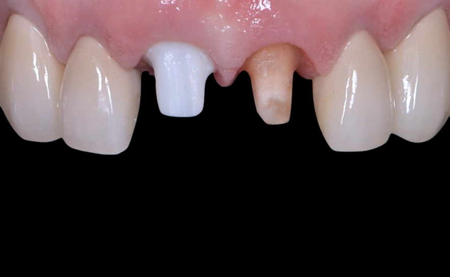
Após 90 dias, com Osstell, mensuramos o grau de osseointegração para já ativar com provisório. Para a confecção do dente temporário, medimos com túnel check a altura do transmucoso e selecionamos um pilar Ideale angulado de 17 graus e uma altura de cinta de 2,5 mm, e de 3,3 mm de diâmetro e 4 mm de altura.
Sobre o pilar, foi aplicado torque de 20N, além da instalação da coifa de titânio para capturar a coroa transitória parafusada, previamente confeccionada.
Em seguida, aguardamos por mais 45 dias para maturar o perfil de emergência e alcançarmos estabilidade dos tecidos moles para realizar o escaneamento do pilar Ideale angulado, a fim de reabilitar com um munhão personalizado de zircônia sobre o implante do 11 e duas coroas de feldspato, sendo uma coroa sobre o munhão do 11 e a outra coroa sobre o elemento 21.
O CAD (design) do munhão foi idealizado no software Exocad, onde se encontra toda a biblioteca dos pilares da Implacil Osstem.
O munhão de zircônia foi parafusado com o parafuso Torx, com torque de 10N.
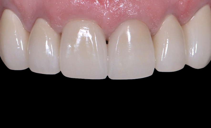
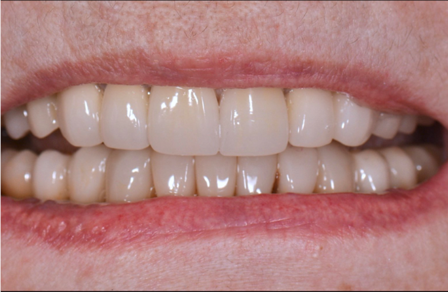
Posteriormente, as coroas foram cimentadas com o cimento resinoso Relyx universal da Solventum, sobre o dente 21 e sobre o munhão de zircônia, com o parafuso de retenção devidamente protegido.











Outros artigos para leitura:





