Por Ricardo Zavanelli
Introdução
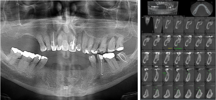
O planejamento reverso em Implantodontia assume importante papel no posicionamento 3D dos implantes. Nesse sentido, relatamos esse caso de ausência dos dentes anteriores inferiores (31/32/33/41/42/43) de um paciente usuário de prótese parcial removível que tinha o desenho de usar uma prótese fixa sobre implantes, como ilustrado nas imagens abaixo.

















