Por Renan Dalla
Resumo
Este relato de caso descreve o tratamento de uma comunicação oroantral (COA) antes da instalação de um implante dentário. Uma paciente de 33 anos de idade apresentou-se com sensibilidade dolorosa na coroa metalocerâmica do dente 26. Após anamnese e exame por TCFC, foi identificada fratura radicular e opacificação do seio maxilar, sendo o elemento 26 extraído e constatada COA. Em seguida, uma membrana foi colocado no teto dessa comunicação e o alvéolo preenchido pelo coágulo. Mais tarde, com 4 mm de altura residual na TCFC, o CAS Kit foi utilizado para elevar o seio maxilar, seguido de biomaterial e o posicionamento de um implante de 5 x 10 mm. A coroa definitiva em LiO2 sobre pilar de titânio foi instalada. A paciente não demonstrou alterações teciduais após 12 meses de acompanhamento.
Introdução
A comunicação oroantral (COA) atua como um caminho patológico para bactérias e pode causar infecção do seio maxilar, o que obstrui ainda mais o processo de cicatrização, uma vez que se trata de uma comunicação não natural entre a cavidade oral e o seio maxilar1. A fístula oroantral (FOA) se desenvolve se a COA permanecer aberta e se epitelizar. A FOA tem sua origem em complicações iatrogênicas ou em infecções dentais, trauma, radioterapia ou osteomielite2.
O objetivo do manejo da COA e da FOA é o fechamento do defeito e a prevenção da penetração de bactérias orais e resíduos alimentares no seio. A comunicação oroantral pode causar contaminação do seio, levando à infecção, cicatrização prejudicada e sinusite crônica3. É possível que uma pequena COA, com menos de 2 mm de diâmetro, sem epitelização e na ausência de infecção do seio, possa cicatrizar espontaneamente após a formação de um coágulo sanguíneo4. No entanto, defeitos que são maiores ou que persistem por mais de três semanas raramente cicatrizam espontaneamente e normalmente requerem intervenção cirúrgica5. Outro fator a ser considerado é o resultado desejado, como a escolha da técnica de enxerto ósseo ou de substituto ósseo, caso o implante dentário precise ser colocado em um futuro próximo. Dependendo da técnica utilizada para o fechamento e de condições anatômicas locais, o osso neoformado na região pode ser suficiente ou não para a instalação convencional de um implante osseointegrável6. Uma situação possível é a formação de altura óssea de rebordo que necessite de enxerto ósseo na cavidade do seio maxilar. Neste contexto, o uso do CAS Kit (Osstem, Seul, República da Coréia), pode promover uma abordagem crestal para acessar e elevar a mucosa sinusal onde o osso remanescente apresente, no mínimo, 4 mm de altura, permitindo o enxerto e instalação de implantes convencionais6, 7, 8, 9.
O objetivo deste trabalho foi apresentar um caso clínico, e acompanhamento de um ano, de uma abordagem inovadora e minimamente traumática para o fechamento de uma comunicação oroantral odontogênica, que promoveu a formação óssea do rebordo alveolar suficiente para a utilização do CAS Kit e instalação do implante dentário, bem como sua finalização protética.
Relato de Caso
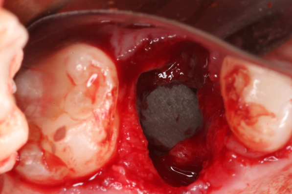
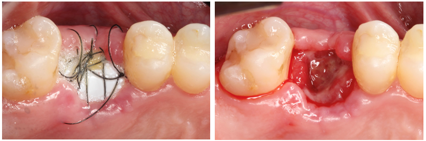
Paciente C.B.F.J., 33 anos, leucoderma, não-fumante e em boas condições de saúde sistêmica, relatou sensibilidade dolorosa durante mastigação no elemento 26, que já possuía tratamento endodôntico, pinos metálicos intrarradiculares e coroa metalocerâmica (Figura 1). Foi solicitada tomografia computadorizada de feixe cônico, na qual a imagem sugeriu fratura radicular na região da furca, descontinuidade óssea da cortical de seio maxilar e opacificação parcial do seio maxilar esquerdo (Figura 2). Foi realizada a exodontia e pôde-se confirmar a comunicação oroantral (Figura 3). Após curetagem do alvéolo, sem preocupação em curetar e remover a lesão cística sinusal, uma barreira reabsorvível foi recortada e posicionada no fundo do alvéolo para obliterar a descontinuidade óssea e impedir que células de tecido mole oriundas da cavidade sinusal invadissem a região alveolar (Figura 4). O alvéolo foi preenchido totalmente por coágulo sanguíneo do paciente (Figura 5) e o alvéolo foi selado por uma barreira não-reabsorvível (Figura 6), impedindo a invasão de fibroblastos do tecido gengival para dentro do alvéolo. Após duas semanas, a barreira estava estável e, então, foi removida, desnudando um tecido de granulação osteoblastogênico (Figura 7).
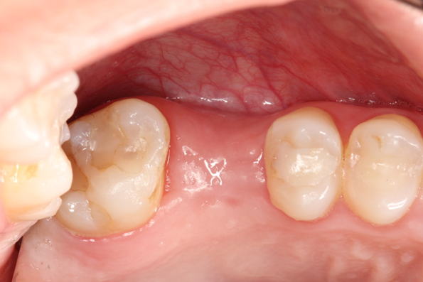
A paciente retornou após seis meses demonstrando clinicamente aspecto de mucosa queratinizada no rebordo alveolar (Figura 8) e, após abertura de retalho, vimos um rebordo ósseo saudável, com ligeira perda de espessura vestibular (Figura 9). A imagem tomográfica e a radiografia periapical sugerem formação de mais de 4 mm de altura óssea, além de ausência de sinusopatia (Figura 10), o que favorece a utilização do CAS Kit Osstem. Foi feita a fresagem cuidadosa com fresas CAS, promovendo o rompimento da cortical do seio maxilar, sem qualquer injúria à mucosa sinusal (Figura 11). Com o sistema de pressão hidráulica de injeção de soro fisiológico (Figura 12), foi realizada a elevação da mucosa e, em seguida, este espaço produzido foi preenchido com enxerto ósseo bovino (Figura 13).
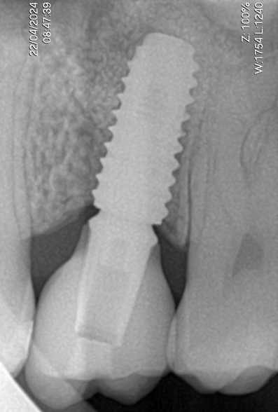
Enfim, um implante osseointegrável de 5.0 x 10 mm TS III (Osstem, Seul, República da Coréia) foi instalado (Figura 14). Após três meses foi feita a reabertura com enxerto de tecido conjuntivo do palato na vestibular e instalação de um cicatrizador (Figura 15). Um mês depois, um provisório foi instalado para promover o correto perfil de emergência gengival (Figura 16) e, então, foi utilizado um corpo de escaneamento (Osstem, Seul, República da Coréia), conforme Figura 16, para a realização do escaneamento para a moldagem digital. Uma coroa em dissilicato de lítio sobre pilar de titânio “Rigid” (Osstem, Seul, República da Coréia) foi confeccionada e parafusada sobre o implante com torque de 30 Ncm (Figura 17). Uma radiografia periapical final sugere a osseointegração do implante, a estabilidade do enxerto ósseo na região do seio maxilar e a perfeita adaptação protética após 12 meses (Figura 18).


















Conclusão
Com as limitações científicas que compreendem um relato de caso, podemos concluir que:
– técnicas minimamente traumáticas e a correta utilização de barreiras reabsorvíveis e não-reabsorvíveis podem evitar uma comunicação oroantral pós exodontia e também promover a formação de algum tecido ósseo em rebordo alveolar;
– o uso do CAS Kit é uma alternativa viável para o levantamento de seio via crestal, desde que haja um mínimo de 4 mm de altura óssea.
Referências bibliográficas
1- Natasha Bhalla, Feiyi Sun, Harry Dym. Management of Oroantral Communications. Oral Maxillofac Surg Clin North Am. 2021 May;33(2):249-262. doi: 10.1016/j.coms.2021.01.002. Epub 2021 Mar 5.
2- Logan RM, Coates EA. Non-surgical management of an oroantral fistula in a patient with HIV infection. Aust Dent J. 2003;48(4):255–258. doi: 10.1111/j.1834-7819.2003.tb00040.x.
3- Borgonovo AE, Berardinelli FV, Favale M, Maiorana C. Surgical options in oroantral fistula treatment. Open Dent J. 2012;6:94–98. doi: 10.2174/1874210601206010094.
4- Liversedge RL, Wong K. Use of the buccal fat pad in maxillary and sinus grafting of the severely atrophic maxilla preparatory to implant reconstruction of the partially or completely edentulous patient: technical note. Int J Oral Maxillofac Implants. 2002;17(3):424–428.
5- Kraut RA, Smith RV. Team approach for closure of oroantral and oronasal fistulae. Atlas Oral Maxillofac Surg Clin North Am. 2000;8(1):55–75. doi: 10.1016/S1061-3315(18)30042-8.
6- Doobrow JH, Leite RS, Hirsch HZ. Concomitant oroantral communication repair and immediate implant placement: a five-year case report. Implant Dent. 2008;17(2):176–181. doi: 10.1097/ID.0b013e318166dbe7.
7- Gatti F, Gatti C, Tallarico M, Tommasato G, Meloni SM, Chiapasco M. Maxillary Sinus Membrane Elevation Using a Special Drilling System and Hydraulic Pressure: A 2-Year Prospective Cohort Study. Int J Periodontics Restorative Dent. 2018 Jul/Aug;38(4):593-599. doi:10.11607/prd.3403.PMID: 29889923.
8- Mamidi AR, Gottumukkala SNVS, Mantena SR, Penmetsa GS, Ramesh KSV, Pasupuleti MK. Comparison of clinical and radiological outcomes using crestal approach sinus kit and piezoelectric surgery for sinus membrane elevation: A prospective clinical trial. Dent Res J (Isfahan). 2022 Oct 20;19:88. eCollection 2022.PMID: 36426279.
9- Shende H, Mundada B, Bhola N. Crestal Approach Sinus (CAS) kit: A novel technique for posterior maxillary rehabilitation: A case series of 10 prospective patients. Medical Science 2023; 27: e75ms2694. doi: https://doi.org/10.54905/disssi/v27i132/e75ms2694.
10- Wu H, Wang J, Wang C, Yang X, Gong Q, Su W, Cheng A, Fan Y. A comparison of elevation, perforation rate, and time spend for the crestal sinus elevation intervened by piezosurgery, CAS-Kit, and osteotome in a novel goat model. J Maxillofac Oral Surg. 2022 Dec;21(4):1191-1198. doi: 10.1007/s12663-022-01793-4. Epub 2022 Oct 7.PMID: 36896056





