Por Luiz Fernando Martins André, Tarcila Moreira dos Santos, Nathalia Pereira Censi Stapani, Rafaella Maria Oliveira Aluvino, Gabriela Aparecida dos Santos e Emily Vivianne Freitas da Silva
Resumo
Neste relato de caso clínico, um paciente com 62 anos de idade apresentou-se com incômodo no dente 46, sendo identificada uma fratura radicular nos exames de TCFC e radiografia panorâmica. Na primeira fase cirúrgica, após seu consentimento, o dente foi extraído, a lesão foi removida e o alvéolo resultante foi preenchido com enxerto bovino (Extra Gratf XG-13) e selado por uma membrana colágena (Cytoplast). Oito meses depois, com uma nova TCFC confirmando a melhora nos contornos tridimensionais desta região e da densidade no leito cirúrgico, um implante dentário de hexágono interno (4mm x 11mm, Maestro HI Switch) foi estabilizado inicialmente com 46 Ncm, chegando aos 60 Ncm ao atingir o nível de instalação recomendado em relação à crista óssea vizinha. Seis meses mais tarde, o tecido gengival foi removido e um cicatrizador foi conectado, e 15 dias depois a restauração unitária definitiva em zircônia foi desenhada, sendo finalmente cimentada sobre um inserto de titânio (Base T) dentro do fluxo digital recomendado pelo fabricante, tendo seu canal de acesso selado com fita teflon e resina composta de cor compatível. A radiografia periapical final detectou níveis ósseos compatíveis com a saúde dos tecidos. As abordagens combinadas acima resultaram na preservação alveolar e obtenção de um perfil de emergência compatível com a anatomia restauradora na área do molar mandibular sobre implante dentário.
Introdução
A reabilitação oral com o uso de implantes osseointegrados em pacientes pós-exodontia depende diretamente da quantidade e qualidade óssea disponível no leito remanescente. Sabe-se que após a exodontia o processo fisiológico de reparação do alvéolo resulta em uma reabsorção óssea do rebordo de até 50% da extensão vestibulolingual no primeiro ano após a perda do elemento dental, sendo a parede vestibular, geralmente, a mais afetada. Por consequência, há alteração dos tecidos moles, em que mudanças de posicionamento e volume interferem de forma negativa na instalação dos implantes osseointegrados.
Na tentativa de preservar as dimensões teciduais do alvéolo, biomateriais, como enxertos ósseos e membranas, podem ser utilizados imediatamente após a exodontia, favorecendo o prognóstico para uma futura reabilitação com implantes. A associação de hidroxiapatita bovina e colágeno tipo I (Extra Graft XG-13) tem sido utilizada apresentando resultados satisfatórios, aliando a osteoindução e a propriedade adesiva do colágeno à bioatividade e osteoconduçáo da hidroxiapatita, ideais para a posterior colocação de implantes osseointegrados.
O uso de membranas, como as de politetrafluoretileno puro (PTFE), também contribui para manter o contorno dos tecidos e mantê-los livres de agentes indesejáveis, impedindo a passagem de bactérias, mesmo quando exposta ao meio bucal, através do uso de bochechos com clorexidina a 0,12% e aplicação de gel de clorexidina a 1%.
O objetivo deste trabalho foi apresentar, através de um relato de caso clínico, o uso de um biomaterial de origem bovina (hidroxiapatita e colágeno tipo I) e de uma membrana após a exodontia de um elemento dentário. Foi verificado o processo de manutenção de dimensões teciduais do alvéolo para a posterior colocação de implante, proporcionando melhores resultados estéticos e funcionais à reabilitação.
Terapia aplicada
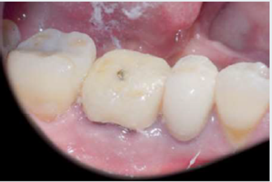
Um paciente do gênero masculino com 62 anos de idade, sem comorbidades, buscou tratamento odontológico relatando incômodo na região do dente 46, que possuía uma coroa provisória. Ao exame clínico, havia leve retração gengival ao redor do elemento dentário (Figura 1). Após os exames de TCFC e radiografia panorâmica, foram detectadas fratura radicular e lesão periapical correspondente (Figura 2).
A sequência de tratamento proposta seria a exodontia seguida da técnica de preservação do alvéolo utilizando um biomaterial enxertado (Extra Graft XG-13, Silvestre Labs) e um substituto mucoso para selamento, terminando o procedimento cirúrgico com uma membrana de PTFE (Cytoplast, Osteogenics Biomedical). Após o consentimento do paciente, iniciou-se o tratamento.
Procedimentos cirúrgicos – fase 1
Inicialmente, após a antissepsia intraoral (digluconato de clorexidina a 0,12%) e extraoral (digluconato de clorexidina a 2%), uma anestesia terminal infiltrativa (mepivacaína 2% com epinefrina 1:100.000) foi administrada. Em seguida, o tecido gengival foi desinserido utilizando um descolador de Molt. Assim, um periótomo foi usado para remoção atraumática do dente 46, sem prejuízos à tábua óssea vestibular e lingual ou aos tecidos moles adjacentes. O alvéolo resultante foi curetado para remoção de toda a lesão de tecido granular e irrigado com solução fisiológica estéril (Figuras 3 e 4).
O enxerto de Extra Graft XG-13 (apresentação em forma de cilindro moldável) foi inserido na loja cirúrgica com pinça Kelly e adaptado com o próprio descolador de Molt (Figura 5). Depois, uma membrana (Cytoplast, 12mm x 24mm) foi adaptada nas bordas vestibular e lingual do leito enxertado (Figura 6), e uma sutura (PTFE, Cytoplast) foi realizada para estabilizar os tecidos e a membrana, deixando-a exposta em toda a porção superior do alvéolo (Figura 7). Após sete dias, as suturas foram removidas, com a membrana permanecendo estável. Aguardou-se 45 dias para a remoção da membrana, sendo observada clinicamente a neoformação de tecido gengival (Figura 8).






Procedimentos cirúrgicos – fase 2
Após oito meses, o paciente realizou uma nova TCFC, sendo visualizado um ganho em volume na região do elemento 46 em comparação ao exame inicial (Figura 9). Seguiu-se então um segundo tempo cirúrgico. Após todos os passos de antissepsia e anestesia, foram realizados incisão em rebordo alveolar e descolamento para visualização do tecido neoformado. Em seguida, foi realizada a fresagem seguindo a sequência recomendada pelo fabricante para a inserção do implante dentário (4mm x 11mm, Maestro Hl Switch, Implacil De Bortoli), sendo iniciada com a fresa lança helicoidal subsequente das fresas cônicas com dimensões de 3,5mm x 11mm e 4mm x 11mm.
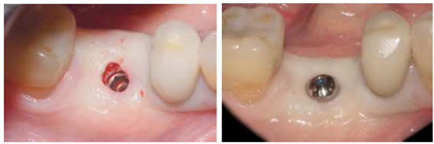
O implante foi inserido com o motor cirúrgico até a visualização do travamento em 46 Ncm, com a sua inserção final concluída através da catraca cirúrgica ao atingir o torque de inserção de 60 Ncm. Finalmente, o leito cirúrgico foi fechado com sutura utilizando fio de seda (Figuras 10 a 15). Após seis meses da inserção do implante, a reabertura cirúrgica foi realizada com a técnica de punção com broca cilíndrica diamantada, seguida pela colocação do cicatrizador (Figuras 16 e 17).








Procedimentos protéticos
Após 15 dias, foram feitos os procedimentos para confecção da prótese parafusada em zircônia (cor A3.5 Multi-layer, Zircônia Explore Talmax) utilizando um pilar (Base T) através do fluxo digital (Figuras 18 a 20). A coroa foi fresada e cimentada sobre o pilar Base T com cimento resinoso (U200, 3M), Figura 21, e com isso, a prótese foi instalada e o canal de acesso ao parafuso foi restaurado com resina fotopolimerizável (cor A3.5, Z350, 3M). Ainda, foi realizada uma radiografia periapical para verificar a adaptação do conjunto pilar/coroa, funcionando também para controle e acompanhamento (Figuras 22 a 25).





Discussão
A preservação alveolar e a integridade dos tecidos moles são de fundamental importância para a previsibilidade do tratamento com implantes após a realização de uma exodontia. A perda óssea pode ser severa após a exodontia dos elementos dentários, e a resultante falta de osso na crista alveolar é o produto da perda gradual da dimensão horizontal acompanhada de uma rápida perda óssea em altura, o que nos faz acreditar na necessidade de enxertos reabilitadores para as regiões.
O uso das membranas tem por objetivo a proteção do espaço a ser preenchido pelo osso, permitindo o crescimento das células osteogênicas e impedindo a migração de células não desejadas dos tecidos moles sobrejacentes na ferida. Essas membranas, como a Cytoplast – usada no presente trabalho – ditas como barreira física não reabsorvível, parecem apresentar maior crescimento do tecido ósseo na loja cirúrgica, com qualidade mais densa, ao contrário das barreiras reabsorvíveis, em que o produto da sua degradação pode produzir um processo inflamatório local, levando a uma menor formação óssea.
Outras vantagens dessas membranas são a grande quantidade de estudos e a alta compatibilidade, visto que mantêm a integridade da estrutura e apresentam propriedades mantenedoras de espaço. Como desvantagem, há apenas a necessidade de um segundo tempo para remoção. Ainda, como ficam expostas ao meio bucal, necessitam de cuidados, como limpeza e higiene locais.
Conclusão
As abordagens combinadas acima resultaram na preservação aveolar e obtenção de um perfil de emergência compatível com a anatomia restauradora na área do molar mandibular sobre implante dentário.
*Este artigo foi publicado na revista ImplantNews em 2024.





