Por Ricardo Zavanelli
Introdução
Paciente procurou tratamento protético reabilitador com queixa de dentes abalados e com mobilidade, mau hálito e sangramento gengival. Após exame clínico, radiográfico e tomográfico constatou-se a necessidade de exodontia de todos os dentes remanescente e instalação de implantes na maxila e mandíbula para posterior confecção de duas próteses do tipo Protocolo de Brånemark – prótese total fixa implantossuportada sobre implantes Maestro CM da Implacil De Bortoli, pilares do tipo mini-cônicos, barra metálica e prótese de resina acrílica, cuja abordagem encontra-se no dia a dia dos consultórios dentários.
O objetivo desse caso clínico foi de descrever uma sequência clínica de atendimento para a solução da queixa desse paciente, conforme imagens a seguir.



Diante dos exames foi proposto ao paciente a extração de todos os dentes remanescentes, instalação de implantes na maxila e mandíbula e duas próteses totais provisórias durante o período de osseointegração.


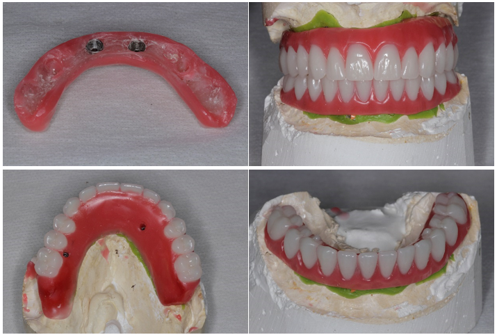
Abaixo a descrição das etapas de confecção das próteses protocolos superior e inferior:
1- seleção dos pilares intermediários (mini-cônicos), instalação e moldagem de transferência. Obtenção dos modelos de trabalho e confecção de base de prova e planos de cera com o uso de dois componentes (cilindros de metal para provisório do pilares mini-cônicos);
2- orientação dos planos de cera sobre as bases de prova (orientar suporte de lábio, altura incisal em repouso e no sorriso forçado, orientar plano de Camper e linha bipupilar, corredor bucal, dimensão vertical de repouso, de oclusão) para registro maxilo-mandibular. Seleção dos dentes e montagem dos dentes em laboratório;
3- prova da montagem dos dentes em cera – prova funcional. Aferição da estética e da função mastigatória. Envio ao laboratório para confecção do enceramento, fundição e acabamento/polimento da barra metálica;
4- prova e ajustes da barra metálica na boca do paciente;
5- prova dos dentes montados sobre a barra metálica;
6- instalação e ajustes das próteses.












