Por Thayane Furtado e Felipe Pohlmann
Introdução
Reabilitações na região de incisivos inferiores apresentam um desafio anatômico clássico: o espaço mésio-distal reduzido entre os caninos inferiores (33 e 43) frequentemente inviabiliza a instalação de quatro implantes convencionais. Este caso clínico ilustra como os pilares micro cônicos da Implacil Osstem, associados ao implante Maestro, oferecem uma solução ideal e previsível nesses contextos restritivos, mantendo estabilidade, estética e versatilidade protética, mesmo em áreas delicadas.
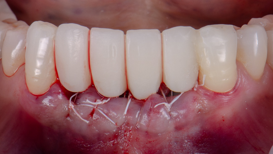
O paciente apresentava um implante mal posicionado na região do dente 31 e comprometimento periodontal nos dentes 41, 42 e 32. Foi realizada a explantação do implante e extração dos dentes comprometidos com instalação imediata de dois implantes Maestro 3,5 × 11 mm nas regiões 32 e 42. O planejamento previu uma reabilitação em pôntico para os dentes 31 e 41, fixada sobre pilares micro cônicos — componentes que se tornaram o verdadeiro destaque deste caso clínico.

Técnica cirúrgica
Após as extrações e a explantação do implante mal posicionado, foram instalados imediatamente dois implantes Maestro 3,5 × 11 mm nas regiões 32 e 42.


Para o preenchimento do GAP entre os alvéolos e os implantes utilizou-se o Extra Graft XG-13. Esse biomaterial tem origem bovina composto por 75% de hidroxiapatita e 25% de colágeno tipo I, com alta coesividade, excelente osteocondução e capacidade de manter o volume tridimensional do alvéolo.
Essa combinação confere ao enxerto manuseio simplificado, integração gradual ao osso receptor e estabilidade volumétrica a longo prazo, favorecendo a neoformação óssea com mínima reabsorção.

Imediatamente após a cirurgia foi instalado um provisório adesivo, colado nas mesiais dos dentes 33 e 43, cuidadosamente posicionado, com o objetivo de manter a estética e a proteção funcional da região durante o processo de osseointegração.


Pilares micro cônicos Implacil Osstem
Passados 120 dias, foram instalados os pilares micro cônicos, que se mostraram determinantes neste caso clínico, oferecendo uma solução altamente previsível para reabilitar a região dos incisivos inferiores — um setor anatomicamente desafiador devido ao espaço mésio-distal limitado entre os caninos. Sua geometria compacta e versátil torna o micro cônico uma excelente opção para reabilitações fixas em áreas onde pilares convencionais ou intermediários dificultariam a adaptação protética ou comprometeriam o perfil de emergência.
Entre suas principais vantagens clínicas, destacam-se:
– perfil cervical estreito, ideal para áreas com pouco espaço inter-radicular;
– conexão direta ao implante, dispensando componentes intermediários e reduzindo o número de interfaces protéticas;
– controle preciso do perfil de emergência, com menor impacto biológico e estético em zonas críticas;
– disponibilidade em diferentes alturas transmucosas, permitindo individualização do componente de acordo com o volume gengival e profundidade do implante;
– compatibilidade total com o fluxo digital, incluindo transferentes digitais específicos Implacil Osstem, que possibilitam escaneamento intraoral preciso e confecção de peças fresadas diretamente em CAD/CAM.
No contexto do fluxo digital, os pilares micro cônicos permitem a confecção de coroas em zircônia monolítica fresadas diretamente sobre o componente, com passividade e precisão de assentamento, integrando de forma eficiente a etapa protética ao planejamento digital. Essa característica simplifica o processo clínico-laboratorial e mantém a previsibilidade estética e funcional do caso.
Neste caso específico, os pilares micro cônicos foram utilizados sobre os implantes instalados nas regiões 32 e 42 para suportar dois pônticos (31 e 41). Sua indicação foi essencial para possibilitar uma reabilitação aparafusada, funcional e esteticamente integrada, respeitando os limites anatômicos da região anterior inferior e evitando a necessidade de soluções mais invasivas ou menos previsíveis.

Reabilitação definitiva
Com a osseointegração bem-sucedida, foi realizado o escaneamento intraoral com transferentes digitais específicos Implacil Osstem, assegurando precisão na captura da posição dos pilares micro cônicos e integração completa ao fluxo digital CAD/CAM. A prótese definitiva foi confeccionada em zircônia monolítica maquiada, um material que oferece resistência média à flexão entre 900 e 1200 MPa, característica que a torna altamente confiável mesmo em espessuras reduzidas, como é comum na região anterior inferior.
A maquiagem externa aplicada à zircônia permitiu personalização estética com leve translucidez, sem comprometer a integridade estrutural do material — ao contrário das soluções estratificadas, que apresentam maior risco de fratura. Essa abordagem viabilizou um resultado natural com alta durabilidade, ideal para áreas com limitação oclusal e exigência estética.

A fixação da coroa ao pilar micro cônico foi realizada por meio de um parafuso Torx, um tipo de parafuso com cabeça hexalobular interna, que distribui melhor o torque aplicado e reduz significativamente o risco de espanar durante a instalação ou reapertos. O sistema permite transferência segura de torque ao componente, favorecendo a estabilidade protética ao longo do tempo.
A instalação foi realizada com torque controlado, respeitando os parâmetros do sistema, e os acessos oclusais foram vedados com teflon e resina composta na cor do dente, garantindo acabamento estético e funcional. A adaptação marginal foi precisa, o perfil de emergência respeitado, e o resultado estético plenamente satisfatório, tanto do ponto de vista clínico quanto na percepção do paciente.

Conclusão
Este caso clínico demonstra como a combinação de soluções integradas pode transformar limitações anatômicas em oportunidades de excelência protética. Os pilares micro cônicos Implacil Osstem mostraram-se fundamentais para viabilizar uma reabilitação funcional e estética em uma região de espaço interproximal reduzido, permitindo controle do perfil de emergência, adaptação passiva e compatibilidade total com o fluxo digital.
A utilização dos implantes Maestro proporcionou estabilidade primária adequada mesmo em alvéolos imediatos, enquanto o preenchimento com Extra Graft XG-13 garantiu manutenção volumétrica e estímulo à neoformação óssea, favorecendo a previsibilidade da regeneração.
A finalização com coroas fresadas em zircônia monolítica maquiada, diretamente sobre os pilares micro cônicos, consolidou o resultado com alta resistência, estética natural e precisão protética, graças à fluidez do planejamento digital integrado. Ao reunir recursos cirúrgicos e protéticos otimizados em um único protocolo, esta abordagem reafirma o compromisso com previsibilidade clínica, estabilidade biológicae excelência estética, pilares essenciais na Implantodontia contemporânea.
Outros artigos para leitura:




