Por Ricardo Elias Jugdar, André Felipe de Miranda Murad e Maria Amélia Calandra Jugdar.
As reabilitações de maxilas atróficas se apresentam como um grande desafio para nós, cirurgiões dentistas, devido a sua alta complexidade, principalmente em defeitos verticais severos > 7 mm. Devido a necessidade da reabilitação com implantes dentários, houve um aumento nas indicações e realizações das regenerações ósseas guiadas (ROG). Com o advento das membranas de politetrafluoretileno denso com reforço de titânio (PTFE-d – Cytoplast), as ROGs se tornaram mais previsíveis devido ao baixo índice de exposição e, consequentemente, contaminação do material de enxertia óssea e pela alta estabilidade proporcionada pela presença do reforço em titânio. O caso clínico a seguir apresentará a reabilitação em uma pré-maxila com atrofia severa no sentido vertical e horizontal, a instalação dos implantes do tipo Cone Morse Maestro, da Implacil De Bortoli, e sua reabilitação protética.
Caso Clínico
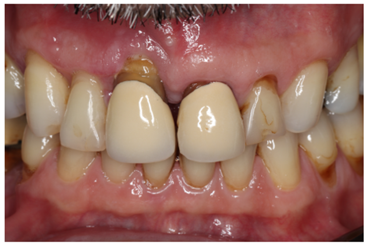
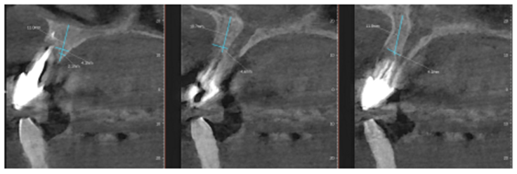
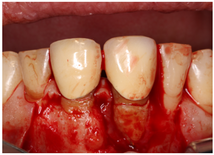
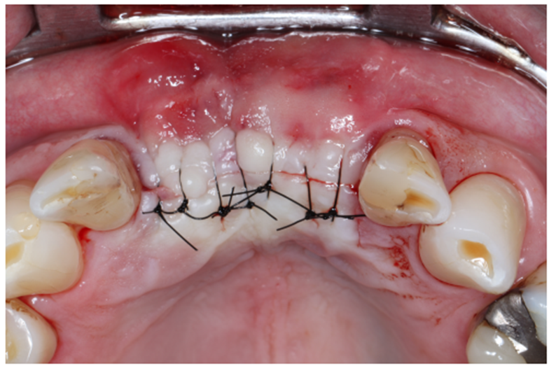
Paciente RV, do sexo masculino de 52 anos, compareceu a nossa clínica com queixa estética e funcional dos dentes incisivos centrais superiores. No exame clínico observou-se doença periodontal severa com presença de bolsa periodontal e perda óssea marginal maior do que 7 mm (Figura 1). Foi realizado em nossa escola (Beo – Ensino Odontológico Avançado) uma tomografia computadorizada para melhor planejamento cirúrgico do caso, onde confirmamos a necessidade de regeneração óssea guiada com membrana Cytoplast com reforço de titânio, devido à perda óssea vertical maior do que 7 mm (Figura 2). Após definição do planejamento cirúrgico, foi realizado a exodontia dos incisivos centrais superiores, limpeza cirúrgica da região e osteotomia periférica para melhor preparo do leito receptor do material de enxertia de lenta reabsorção Bio-Oss (Geistlich) e da membrana Cytoplast com reforço de titânio 30 mm X 40 mm (Figuras 3,4 e 5). Após estabilização da membrana, foi realizado a sutura com fio do tipo Cytoplast 3.0 mm devido a sua alta plasticidade, diminuindo o risco de deiscência de sutura (Figura 6).
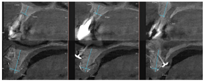
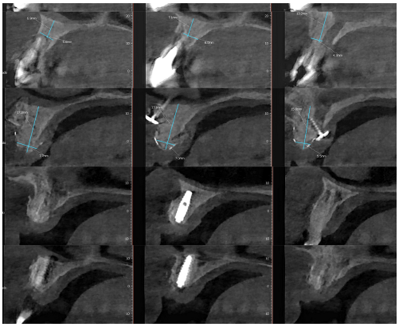
Após oito meses, foi realizada nova tomografia para análise do ganho ósseo vertical, assim como o planejamento dos implantes do tipo Cone Morse Maestro – Implacil De Bortoli (Figura 7). Foram planejados e realizados dois implantes 3.5 X 11 mm Cone Morse Maestro após remoção da membrana Cytoplast, devido ao ótimo ganho ósseo vertical, evidenciando sucesso da técnica de regeneração óssea guiada (Figuras 8, 9 e 10). Após a espera de apenas três meses devido a qualidade do implante e suas câmaras de cicatrização, o que possibilita uma osseointegração precoce, foram realizadas duas metalocerâmicas parafusadas sobre pilares Ideale reto, da Implacil De Bortoli, devido ao ótimo posicionamento tridimensional (Figuras 11 e 12).












Resumo
Sabemos que os defeitos verticais nas maxilas são desafios difíceis na Implantodontia, ficando limitado às opções de tratamento, devido à alta complexibilidade e custo. Porém, a membrana de PTFE-D com reforço de titânio se mostrou eficiente na regeneração óssea guiada em defeitos verticais severos > 7 mm, levando a uma ótima formação óssea, diminuindo também os riscos de complicações devido ao baixo índice de exposição. O paciente se apresenta em ótimo acompanhamento e com estabilidade do conjunto peri-implantar.
REFERÊNCIAS
1- Carbonell JM, Martin IS, Santos A, Pujol A, Sanz- Moliner JD, Nart J. High-density polytetra uoro-ethylene membranes in guided bone and tissue regeneration procedures: a literature review. Int J Oral Maxillofac Surg 2014;43(1):75-84.
2- Bartee BK. Evaluation of a new polytetra uoro- ethylene guided tissue regeneration membrane in healing extraction sites. Compend Contin Educ Dent 1998;19(12):1256-64.
3- Bartee BK. e use of high-density polytetra uoro- ethylene membrane to treat osseous defects: Clinical reports. Implant Dent 1995;4(1):21-6.
4- Bartee BK. Evaluation of a new polytetra uoro- ethylene guided tissue regeneration membrane in healing extraction sites. Compend Contin Educ Dent 1998;19:1256-64.
5- Barber HD, Lignelli J, Smith BM, Bartee BK. Using a dense PTFE membrane without primary closure to achieve bone and tissue regeneration. J Oral Maxillofac Surg 2007;65(4):748-52.
6- Ho man O, Bartee BK, Beaumont C, Kasaj A, Deli G, Zafiropoulos GG. Alveolar bone preservation in extraction sockets using non-resorbable dPTFE membranes: a retro- spective non-randomized study. J Periodontol 2008;79(8):1355-69.
7- Fotek PD, Neiva RF, Wang HL. Comparison of dermal matrix and polytetra uoro- ethylene membrane for socket bone augmentation: a clinical and histologic study. J Periodontol 2009;80(5):776-85.
8- Barboza EP, Stutz B, Ferreira VF, Carvalho W. Guided bone regeneration using nonexpanded polytetra uoro- ethylene membranes in preparation for dental implant placements – a report of 420 cases. Implant Dent 2010;19(1):2-7.
9- Vroom M, Grü ndemann L. New generation p e-membranes non-resorbable membranes. Tandartspraktijk 2014;35(1):80-6.
10- Amler M, Johnson P, Salman I. Histological and histochemical investigation of human undis- turbed extraction wounds. J Am Dent Assoc 1960;61(1):32-44.
11- Cytoplast high-density PTFE membranes. Osteo- genics Biomedical [On-line]. Disponível em <http://www.osstem.de/data/library/2014en. pdf>. Acesso em: 25-8-2014.
12- Walters SP, Greenwell H, Hill M, Drisko C, Pickman K, Scheetz JP. Comparison of porous and non-porous te on membranes plus a xenogra in the treatment of vertical osseous defects: a clinical reentry study. J Periodontol 2003;74(8):1161-8.
13- Al-Hezaimi K, Rudek I, Al-Hamdan KS, Javed F, Nooh N, Wang HL. E cacy of using a dual layer of membrane (dPTFE placed over collagen) for ridge preservation in esh extraction sites: a micro-computed tomographic study in dogs. Clin Oral Implants Res 2013;24(10):1152-7.
14- Francisco BS. Avaliação clínica do tecido neoformado em sítios de pós-extração dentária utilizando membranas de d-TFE intencionalmente expostas [dissertação]. Niterói: Universidade Federal Fluminense, 2008




