Quem acompanha a evolução da Implantodontia, sabe que ter espaço para acomodação dos tecidos é fundamental. Isso vem ocorrendo de maneira clara com o diâmetro dos implantes, mas quando se trata de componentes protéticos, poucas empresas se empenham na solução. Nesse caso clinico vou mostrar como o componente Micro Cônico da Implacil De Bortoli solucionou o perfil de emergência em uma prótese fixa sobre implantes.
Paciente Leucoderma, de 50 anos, apresentava falência dos elementos superiores.

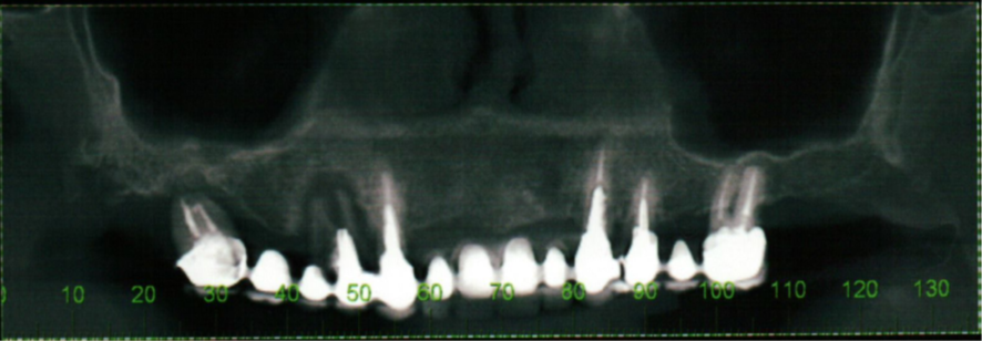
Foram planejados quatro implantes com distribuição biomecânica, segundo o polígono de Roy, de acordo com as radiografias transoperatórias abaixo.

Instalados pilares Mini Cônicos Implacil De Bortoli e coifas de titânio, sendo os gaps alveolares preenchidos com Extra Graft.

Após o período de osseointegração, verificamos que o implante na região do elemento 12 não apresentava tecido mole para o correto perfil de emergência.

Optamos então por substituir o componente protético do elemento 12, de Mini Cônico 4,8 mm de diâmetro e 2,5 mm de cinta gengival, para Micro Cônico 3,5 mm de diâmetro e 1,5 mm de cinta gengival.

Feito novo escaneamento de transferência.

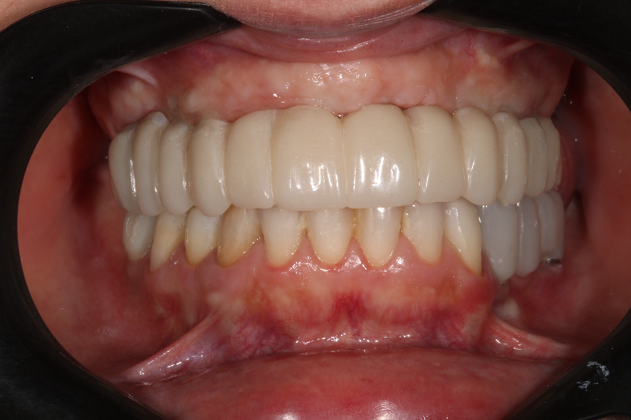
Instalação da prótese em PMMA.







