Por Diego Klee, Rodrigo Baumgardt Barbosa Lima e Edson Medeiros de Araújo Junior
Existem duas possibilidades para a retenção final das próteses sobre implantes: cimentadas ou parafusadas. Em geral, a escolha se baseia na preferência do profissional, bem como na situação clínica. Para definir o tipo de retenção, o protesista deve conhecer as características, indicações, vantagens e desvantagens de cada uma dessas opções, objetivando solucionar da melhor forma os casos clínicos.
A literatura mostra vantagens e desvantagens em relação a cada opção. A grande vantagem das próteses cimentadas é a integridade da superfície oclusal ou palatal/lingual, que favorece sua aparência e funcionalidade. Nas próteses parafusadas, o orifício de acesso ao parafuso pode prejudicar a estética e interferir nos contatos oclusais cêntricos e nos movimentos excêntricos de lateralidade e protrusão.
É importante salientar o benefício da reversibilidade, que permite a remoção/recolocação da prótese, vantagem que a prótese parafusada apresenta sobre a cimentada, permitindo a avaliação de próteses e implantes, sua higienização ou reparos, se necessário. Entretanto, a irreversibilidade apresentada na técnica de cimentação pode ser amenizada com o eventual uso de cimentos temporários. Além disso, excessos de cimentos residuais das próteses cimentadas podem atuar como fator predisponente ao desenvolvimento de mucosites e peri-implantites.
Não há consenso sobre qual sistema de retenção é superior. A escolha da prótese cimentada ou parafusada deve ser tomada pela preferência do profissional, amparado pela Ciência e por sua experiência.
Recentemente, a indústria lançou novos componentes protéticos que oferecem a versatilidade de escolher prótese cimentada ou parafusada com a mesma conexão protética. Esta revolução é um grande avanço para as próteses sobre implantes, ao permitir maior liberdade ao profissional.
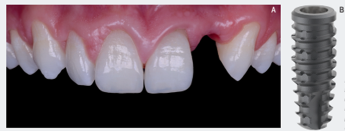
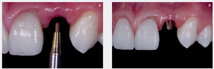
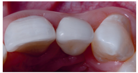
No caso apresentado a seguir, a reabilitação protética do elemento 22 utiliza o mesmo componente protético (Ideale, Implacil De Bortoli), valendo-se das vantagens da prótese parafusada na fase de transição (coroa provisória) e dos benefícios da prótese cimentada na coroa final (coroa cerâmica).

B) Implante Maestro.






* Este artigo foi publicado na revista ImplantNews em 2022.





