Por Diego Klee, Rodrigo Barbosa Lima e Gerson Luiz Ulema Ribeiro
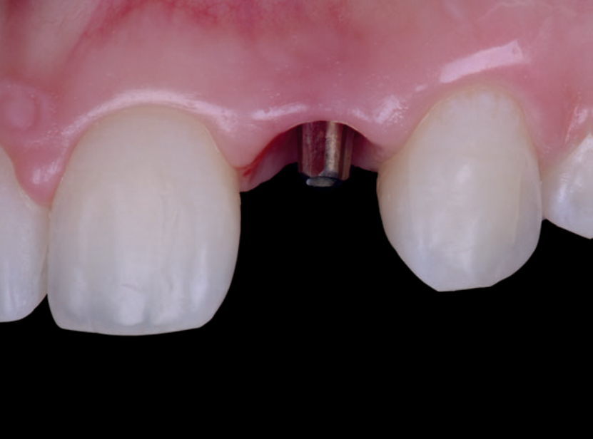
A espessura da mucosa peri-implantar vestibular é um fator determinante para a estética tecidual, sendo um dos principais critérios de decisão ao selecionar componentes para próteses sobre implantes em setores de demanda estética. Durante décadas, o titânio usinado foi o material preferido para conexões protéticas devido à praticidade de aquisição (componentes pré-fabricados), resistência e possibilidade de produzir o pilar em peça única. No entanto, o principal inconveniente destes componentes é sua cor escura, que pode transparecer através dos tecidos moles, conferindo um aspecto acinzentado à mucosa peri-implantar.
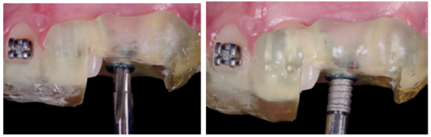
Esta aparência pode comprometer o resultado do trabalho, pela alteração da cor dos tecidos moles peri-implantares, particularmente em casos de implantes anteriores. A zircônia ainda reina absoluta como o material ideal para pilares em regiões estéticas; é um material estético, biocompatível e com baixa aderência bacteriana. No entanto, são pilares customizados e que demandam a tecnologia CAD/CAM para sua confecção, o que encarece e prolonga sua produção. A fragilidade, associada ao envelhecimento deste material, ainda gera alguma preocupação aos pesquisadores.
Pilares de titânio coloridos por oxidação anódica podem minimizar ou mesmo evitar a aparência acinzentada da mucosa peri-implantar, alcançando resultados estéticos satisfatórios para os tecidos moles e melhorando a cor em regiões estéticas, em casos onde pilares cerâmicos não podem ser usados.
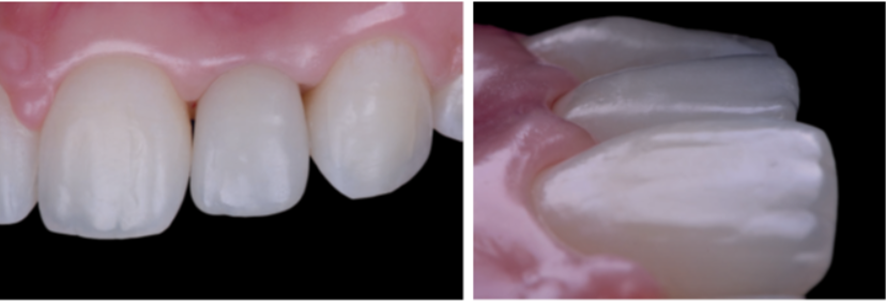
O titânio anodizado dourado oferece uma bela resposta estética, superior a outras cores, produzindo resultados semelhantes aos dentes naturais quando empregado em conjunto com coroas de zircônia. Não há consenso, nem evidências suficientes, em relação à quantidade necessária de tecido mole vestibular para obtermos sucesso funcional e biológico a longo prazo. Todavia, do ponto de vista estético, espessuras da mucosa peri-implantar vestibular superiores a 2 mm irão mascarar os efeitos indesejáveis de componentes protéticos metálicos.
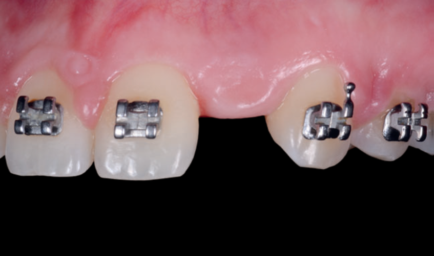
Outra situação que deve ser considerada é o conceito one abutment at one time, que preconiza a não remoção de pilares colocados no momento da cirurgia de instalação do implante ou reabertura do mesmo. Esta abordagem melhora a cicatrização e a estabilidade da mucosa e do tecido ósseo em volta de implantes unitários posicionados abaixo da crista óssea.
A repetida remoção/recolocação do pilar protético durante a fase cicatricial, ou mesmo após a osseointegração do implante, compromete o selamento tecidual e o equilíbrio biológico criado neste espaço ao redor do implante/pilar, podendo ocasionar reabsorção óssea e recessão da mucosa peri-implantar.
Pela praticidade de aquisição, pilares metálicos normalmente são a opção neste moderno conceito de abordagem cirúrgica/protética. Componentes em titânio anodizado dourados, além das vantagens estéticas, apresentam um importante benefício: a superfície demonstra alta capacidade de induzir a adesão tecidual. É importante ressaltar que, previamente à conclusão protética, cada caso deve ser analisado individualmente. Em pacientes com fenótipo gengival desfavorável (delgado), o pilar protético metálico, instalado no momento da cirurgia ou não, poderá comprometer o resultado pelo escurecimento tecidual. Sua substituição por pilares personalizados em zircônia deve ser considerada, mesmo conhecendo os riscos que esta manobra poderá ocasionar na estabilidade dos tecidos peri-implantares.






* Este artigo foi publicado na revista ImplantNews em 2023.





