Por Renata Tarocchi Bernardo Bordignon, Lucas Lima, Lucas Carvalho, Bruno Costa Martins de Sá, Tárcio Hiroshi Ishimine Skiba
Cada vez mais tem aumentado o número de pacientes que buscam tratamentos com implantes dentários1, sendo que na maioria das vezes o paciente não busca apenas resultados funcionais, mas também estéticos. O padrão social de sorriso tem se tornado mais elevado e a perda de um elemento dentário pode trazer transtornos e acarretar em abalos psicológicos na vida profissional e pessoal do indivíduo. Sendo assim, é um grande desafio reabilitar pacientes com implantes dentários buscando promover um equilíbrio harmonioso entre o funcional e o estético2, bem como o reestabelecimento da autoestima3.
A carga imediata nos implantes vem sendo uma das alternativas modernas para reabilitar perdas parciais ou total de dentes, fazendo com que os implantes recebam carga mastigatória antes do processo de osseointegração4. Diferentemente da carga imediata, o termo provisionalização imediata, também conhecido como estética imediata, se refere à imediata instalação de provisórios em implantes recém-instalados, porém em infraoclusão (sem a função mastigatória própriamente dita).
Vários estudos têm apontado que a perda de dentes anteriores, seja por lesão cariosa ou traumas, está presente em peso nas diversas faixas etárias e, apesar das limitações para instalação de implantes imediatos de diâmetro reduzido nesses alvéolos em região anterior de maxila, a utilização de tal abordagem vem aumentando cada vez mais, bem como a previsibilidade de tal procedimento5-7.
Um fator que tem favorecido a reabilitação estética é a escolha adequada da conexão do implante. Dentre os disponíveis no mercado, um tem se destacado e ganhado cada vez mais espaço: o de conexão do tipo cone morse8, por apresentar fatores biomecânicos mais favoráveis para reabilitações em áreas estéticas.
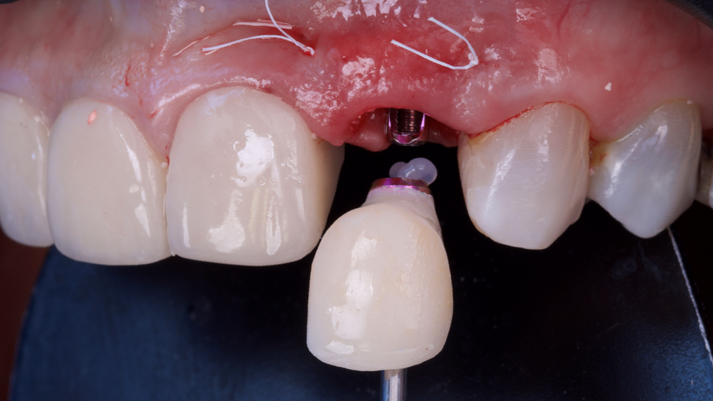
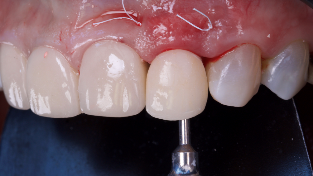
A escolha correta do pilar intermediário é fundamental em uma reabilitação estético/funcional satisfatória, e quando a área a ser implantada é em região de alvéolo pós-extração de incisivos superiores, na grande maioria dos casos a saída do parafuso tende a ser em áreas incisais ou vestibular, devido ao posicionamento anatômico do osso. A utilização de pilares angulados permite trabalhar com próteses aparafusadas, compensando a angulação vestibularizada do implante.
Este trabalho tem como objetivo apresentar um relato de caso clínico da exodontia minimamente invasiva de um incisivo lateral superior com fratura radicular, implante imediato em alvéolo pós-extração, enxerto de tecido conjuntivo subepitelial e substituto ósseo para preenchimento de GAP, bem como instalação de pilar angulado e provisório imediato.
Relato de Caso





























Referencias Bibliográficas
1- Bryant SR, Zarb GA. Outcomes of implant prosthodontic treatment in onder adults. J Can Dent Assoc. 2002; 68(2):97-102.
2- Margeas RC. Predictable peri-implant gingival esthetics: use of natural tooth as a provisional following implant place- ment. J Esthet Restot Dent. 2006; 18(1):5-12.
3- Kent G. Effects of osseointegrated implants on psychological and social well-being: A literature review. J Prosthet Dent. 1992; 68(3):515-518.
4- lenharo A. Avaliação experimental da técnica de carga imediata em segmento posterior de mandibula de cães. Araçatuba: Universidade Estadual Paulista Júlio de Mesquita Filho; 2004.
5- Chen ZF, Pow EHN. A technique for the fabrication of an immediate implant-supported provisional restoration using a fractured natural tooth. J Prosthet Dent. 2008; 100(2):89-90.
6- Chen ST, Buser D. Esthetic outcomes following immediate and early implant placement in the anterior maxilla—a systematic review. Int J Oral Maxillofac Implants. 2014: 29: 186–215.
7- Chrcanovic BR, Albrektsson T, Wennerberg A. Dental implants inserted in fresh extraction sockets versus healed sites: a systematic review and meta-analysis. J Dent. 2015 Jan;43(1):16-41. doi: 10.1016/j.jdent.2014.11.007. Epub 2014 Nov 26. Review. PubMed PMID: 25433139.
8- Mangano C, Mangano F, Piattelli A, Iezzi G, Mangano A, Colla l. Prospective clinical evaluation of 1920 morse taper-connection implants: results after 4 years of functional loading. Clin Oral Impl Res. 2009; 20(3):254-261.
9- Gehrke SA, Diaz lP, Mazon P, Aza PN. Biomechanical Effects of a New Macrogeometry Design of Dental Implants: An In Vitro Experimental Analysis. J Funct Biomater. 2019 Oct 25;10(4):47. doi: 10.3390/jfb10040047.
10- Buser D, Martin W, Belser UC. Optimizing Esthetics for Implant Restorations in the Anterior Maxilla: Anatomic and Sur- gical. Int J Oral Maxillofac Implants. 2004;19 Suppl:43-61.
11- Caneva M, Botticelli D, Rossi F, Cardoso lC, Pantani F, lang NP. Influence of implants with different sizes and configurations installed immediately into extraction sockets on peri-implant hard and soft tissues: An experimental study in dogs. Clin. Oral Impl. Res. 2012; 23:396–401 doi: 10.1111/j.1600-0501.2011.02310.x.
12- Gluckman H, Pontes CV, Du Toit J. Radial plane tooth position and bone wall dimensions in the anterior maxilla: A CBCT classification for immediate implant placement. J Pros- thet Dent. 2018 Jul;120(1):50-56.
13- Kan JY, Rungcharassaeng K. Immediate Placement And Provisionalization Of Maxillary Anterior Single Implants: A Surgical And Prosthodontic Rationale Practical. Pract Periodontics Aesthet Dent. Nov-Dec 2000;12(9):817-24; quiz 826.
14- Tarnow DP, Magner AW, Fletcher P. The effect of the distance from the contact point to the crest of bone on the presence or absence of the interproximal dental papilla. J Periodontol. 1992: 63: 995–996.
15- Chu J. Stephen, Joseph Y. K. Kan, Ernesto A. lee, leila Jahangiri, Myron Nevins. Restorative Emergence Profile for Single-Tooth Implants in Healthy Periodontal Patients: Clinical Guidelines and Decision-Making Strategies. Int J Periodontics Restorative Dent. Jan/Feb 2019;40(1):19-29. doi: 10.11607/prd.3697.
16- Chu SJ, Salama MA, Garber DA, Salama H, Sarnachiaro GO, Sarnachiaro E, Gotta Sl, Reynolds MA, Saito H, Tarnow DP. Flapless postextraction socket implant placement, part 2: the effects of bone grafting and provisional restoration on peri-implant soft tissue height and thickness – a retrospective Study. Int J Periodontics Restorative Dent. 2015: 35: 803–809.
17- Coelho PG, Jimbo R. Osseointegration of metallic devices: Current trends based on implant hardware design. Arch Biochem Biophys. 2014 Nov 1;561:99-108.





