Por Alfredo Mikail
Introdução
O perfil de emergência em prótese sobre implante é definido como a conformação tridimensional da restauração na transição entre a plataforma do implante e o meio bucal, determinando a arquitetura dos tecidos peri-implantares e sua integração estética e funcional. Diferentemente do dente natural, cuja morfologia cervical é biologicamente estabelecida, nos implantes, essa anatomia deve ser construída protéticamente, respeitando os conceitos de perfil crítico e subcrítico. O adequado delineamento desses contornos influencia diretamente a estabilidade tecidual, o selamento biológico e a previsibilidade estética, especialmente em região anterior maxilar ¹,².
A obtenção controlada do perfil de emergência apresenta vantagens biológicas relevantes, como manutenção da altura papilar, preservação da margem mucosa e redução do risco de inflamação peri-implantar. A literatura demonstra que a estabilidade dos tecidos moles está diretamente associada à espessura mucosa, ao posicionamento tridimensional do implante e ao correto desenho do componente protético ³,⁴. Assim, o planejamento do perfil de emergência deve ser considerado parte integrante da estratégia cirúrgico protética.
Relato de Caso
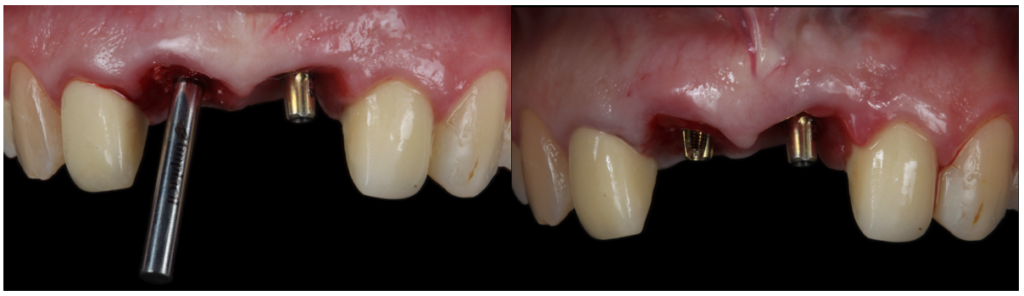
Paciente apresentou indicação de exodontia do elemento 11. Optou-se pela instalação imediata de implante em alvéolo fresco, com preenchimento do GAP vestibular por biomaterial xenógeno Extra Graft, com o objetivo de preservar volume ósseo e minimizar reabsorção da tábua vestibular. A manutenção da arquitetura alveolar após implante imediato está amplamente descrita na literatura como estratégia eficaz para redução de colapso tecidual em região estética estética² (Figura 1).

Após 45 dias, observou-se adequada cicatrização dos tecidos moles e manutenção do volume peri-implantar (Figura 2).

Realizou-se seleção protética utilizando túnel check para definição do componente Ideale 3,3 × 4 × 2,5 mm com angulação de 17°, considerando eixo protético e espessura tecidual. A correta escolha do pilar influencia diretamente o perfil de emergência e a distribuição de cargas oclusais, reduzindo concentrações de tensão cervical ⁵.

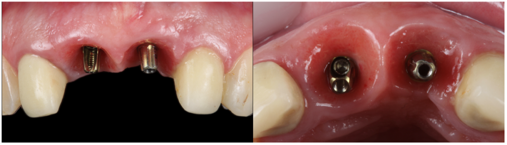
Foram instalados scan bodies para escaneamento intraoral e obtenção de modelo digital, possibilitando planejamento CAD/CAM dos provisórios. O fluxo digital permitiu controle preciso da morfologia cervical, respeitando os limites biológicos e reproduzindo contornos progressivos na região subcrítica (Figura 4).

Provisórios em PMMA CAD/CAM
Os provisórios foram confeccionados em PMMA fresado industrialmente por sistema CAD/CAM. O PMMA industrial apresenta maior homogeneidade estrutural, menor porosidade e melhores propriedades mecânicas quando comparado aos materiais autopolimerizáveis convencionais⁶. Tais características favorecem estabilidade temporária, precisão marginal e melhor resposta tecidual (Figura 5).

Sob o aspecto biológico, o provisório em PMMA atua como dispositivo de condicionamento tecidual, permitindo modelagem progressiva da mucosa peri-implantar até estabilização do perfil de emergência. A ausência de porosidades superficiais relevantes reduz retenção de biofilme e inflamação marginal. Mecanicamente, a leveza do material e a possibilidade de ajustes incrementais permitem refinamento do contorno cervical sem sobrecarga do implante durante o período de osseointegração.
Após instalação dos provisórios fresados, observou-se adequado selamento periférico e estabilidade da margem gengival. O perfil crítico foi estabelecido de forma controlada, enquanto o perfil subcrítico foi gradualmente ajustado para suporte tecidual ideal, resultando em transição harmoniosa entre tecido mole e componente protético (Figura 6).

Conclusão
A associação entre implante imediato em alvéolo fresco, preservação alveolar com biomaterial, seleção criteriosa do pilar protético e utilização de provisórios fresados em PMMA via CAD/CAM demonstrou elevada previsibilidade na obtenção de perfil de emergência estável. O controle biológico e mecânico proporcionado por essa abordagem contribui significativamente para o sucesso estético e funcional da reabilitação implantossuportada em região anterior.
Referências bibliográficas
1- Buser D, Martin W, Belser UC. Optimizing esthetics for implant restorations in the anterior maxilla. Int J Oral Maxillofac Implants. 2004;19 Suppl:43-61.
2- Belser UC, Grütter L, Vailati F, et al. Outcome evaluation of early placed maxillary anterior single-tooth implants using objective esthetic criteria. J Periodontol. 2009;80(1):140-151.
3- Tarnow DP, Magner AW, Fletcher P. The effect of the distance from the contact point to the crest of bone on the presence or absence of the interproximal papilla. J Periodontol. 2000;71(4):546-549.
4- Linkevicius T, Apse P, Grybauskas S, Puisys A. Influence of thin mucosal tissues on crestal bone stability around implants. J Oral Maxillofac Surg. 2015;73(9):1763-1771.
5- Coachman C, Calamita M, Sesma N. Critical and subcritical contours in implant esthetics. Int J Periodontics Restorative Dent. 2017;37(1):21-29.
6- Stawarczyk B, Ender A, Trottmann A, Özcan M, Fischer J, Hämmerle CHF. Load-bearing capacity of CAD/CAM milled polymeric provisional crowns. Dent Mater. 2013;29(6):e132-e139.





