Por Oscar Elvis Ccahuana Paucar, Renata Tarnoschi, Araceli Gliceria Rivera Arellano, Macario Vargas Bravo, Bruno Costa Martins de Sá e Tárcio Hiroshi Ishimine Skiba
Resumo
O presente relato de caso descreve a reabilitação estética do setor anterior por meio de um fluxo digital completo, integrando cirurgia guiada, provisório tardio e restauração definitiva em zircônia multicamada. A utilização da guia cirúrgica permitiu o posicionamento tridimensional preciso do implante, preservando os tecidos moles e favorecendo a manutenção do espaço biológico essencial para o desenvolvimento papilar.
O provisório CAD/CAM em PMMA desempenhou papel determinante no condicionamento progressivo do perfil de emergência, guiando a cicatrização e moldando a arquitetura gengival de forma previsível. A coroa definitiva PF1 reproduziu fielmente o contorno tecidual obtido, resultando em harmonia estética e estabilidade peri-implantar.
O caso demonstra que a integração entre tecnologia digital e controle biológico potencializa a previsibilidade estética em reabilitações unitárias do setor anterior.
Introdução
O desenvolvimento do fluxo digital trouxe um novo nível de precisão para a Implantodontia, integrando exames tridimensionais, escaneamentos intraorais e softwares de planejamento que permitem visualizar o resultado protético antes mesmo da cirurgia. Dentro desse contexto, a cirurgia guiada consolidou-se como uma alternativa segura e previsível, pois reduz desvios na instalação dos implantes e favorece a execução de procedimentos minimamente invasivos (TAHMASEB et al., 2018; VERCRUYSSEN et al., 2021). Essa precisão é particularmente importante em áreas estéticas, onde pequenas variações podem comprometer o contorno gengival e a formação das papilas. Outro fator determinante para o sucesso estético é o uso de provisórios CAD/CAM confeccionados em PMMA. Além de oferecerem estabilidade dimensional e boa biocompatibilidade, esses provisórios permitem moldar progressivamente o perfil de emergência e guiar o posicionamento dos tecidos moles durante a cicatrização, assegurando resultados mais naturais (GOMES et al., 2020; MONACO et al., 2022). Quando bem planejado, o condicionamento tecidual realizado nessa fase facilita a reprodutibilidade do mesmo perfil na prótese definitiva.
A evolução dos materiais restauradores também contribuiu para a previsibilidade estética. Restaurações metal-free em zircônia multicamada, como as próteses PF1, apresentam translucidez aperfeiçoada, resistência elevada e estabilidade cromática, características que ampliaram sua utilização em regiões de alta exigência estética (SULAIMAN, 2020). Assim, a combinação entre cirurgia guiada, provisórios prototipados e próteses cerâmicas avançadas compõe um protocolo eficaz para alcançar estética, função e estabilidade dos tecidos peri-implantares.
Diante desse cenário, o presente relato de caso apresenta uma reabilitação estética realizada por meio desse fluxo digital integrado, destacando como o planejamento reverso e o uso de protótipos provisórios podem favorecer a formação de papilas e a harmonização do sorriso.
Descrição do caso clinico
O caso clínico refere-se a um paciente que buscou reabilitação estética da região anterior devido à ausência de um dente e à perda parcial do contorno gengival. O exame clínico revelou espaço protético adequado, discreto colapso tecidual e redução do preenchimento papilar.

Plano de tratamento
Duas possibilidades terapêuticas foram consideradas para a reabilitação estética da região anterior, cada uma apropriada para cenários clínicos distintos. A escolha foi fundamentada tanto nas condições anatômicas do paciente quanto no comportamento esperado dos tecidos moles durante a cicatrização.
1- Cirurgia guiada com colocação de protótipo provisório imediato
Essa abordagem é uma opção mais arriscada no quesito perda precoce de implantes, uma vez que passa a depender da colaboração do paciente, bem como alta estabilidade primária. A cirurgia guiada reduz desvios durante a instalação do implante e permite, na maioria dos casos, uma abordagem flapless, preservando o suprimento sanguíneo gengival e favorecendo estabilidade papilar (TAHMASEB et al., 2018). Quando há estabilidade primária satisfatória, o provisório imediato acelera o condicionamento gengival e reduz o número de intervenções cirúrgicas necessárias.
2- Abordagem em duas fases
Quando a estabilidade primária não permite carga imediata, por se tratar de uma pré-maxila atrófica, esta opção é considerada mais segura para situações em que o implante não alcança estabilidade primária suficiente para suportar um provisório imediato, cenário comum quando o torque é inferior ao recomendado para carga imediata (30N). Com essa decisão estabelecida, o procedimento clínico avançou de forma sequencial, iniciando-se pela instalação precisa dos implantes por meio da guia prototipada. A partir desse ponto, cada etapa foi conduzida de maneira integrada ao fluxo digital, permitindo documentar, em cada imagem, a lógica terapêutica adotada e sua influência direta na modelação dos tecidos moles. A imagem mostra o momento cirúrgico no qual os implantes são instalados através da guia prototipada, permitindo uma abordagem flapless. Essa técnica reduz o trauma cirúrgico, preserva o suprimento sanguíneo periosteal e mantém a integridade dos tecidos moles, fatores cruciais para a estabilidade das papilas interdentais. A abordagem guiada diminui desvios angulares e horizontais, assegurando que o implante seja posicionado exatamente na trajetória determinada pelo planejamento reverso, fator determinante para estética anterior (TAHMASEB et al., 2018).

Após a instalação dos implantes, a avaliação imediata do sítio cirúrgico permitiu observar a integridade dos tecidos moles e a estabilidade alcançada. A imagem evidencia a ausência de sangramento excessivo e boa adaptação dos tecidos ao redor dos implantes recém-instalados. Resultado comum quando se utiliza cirurgia guiada flapless, que evita o descolamento de retalhos e mantém a vascularização do tecido marginal. Esse cenário é ideal para iniciar o condicionamento gengival, pois a manutenção da arquitetura inicial aumenta a chance de formação papilar estável (Monaco et al., 2022).

Com os implantes posicionados corretamente e torque de instalação entre 20N e 30N, a etapa seguinte consistiu no registro digital da condição gengival inicial para a confecção do provisório. O escaneamento digital feito após a instalação dos implantes registra com precisão a posição dos pilares e o contorno gengival inicial. Esses dados são enviados ao software CAD para gerar o protótipo provisório personalizado.

A partir desses registros, prosseguiu-se ao planejamento digital da prótese provisória em PMMA. O software CAD permite definir com exatidão o perfil de emergência, pontos de contato e volume da restauração. A integração entre provisório e cerâmica definitiva garante que o perfil gengival moldado seja replicado de forma fiel na prótese final.

Finalizado o design protético, o fluxo passou para a etapa de fabricação, onde o provisório em PMMA e a coroa definitiva foram produzidos por tecnologia CAM. O sistema CAM realiza o fresamento dos materiais selecionados, garantindo precisão anatômica e suavidade nas transições cervicais que entrarão em contato com os tecidos moles.

Com os componentes protéticos pré-selecionados, realizou-se a análise tomográfica comparativa para confirmar o posicionamento tridimensional dos implantes. A tomografia inicial mostra o espaço edêntulo, enquanto a imagem pós-operatória confirma o posicionamento tridimensional correto dos implantes conforme planejado. Essa verificação evidencia a precisão da cirurgia guiada e demonstra a estabilidade obtida após a instalação.

Após a validação radiográfica, os pilares protéticos apropriados foram instalados após o período de dois meses. Os pilares mini-cônicos foram selecionados no próprio software e foram instalados de maneira minimamente invasiva utilizando a própria guia cirúrgica de referência. Eles ajudam a preservar o espaço interproximal e oferecem transição suave entre implante e provisório.

Sobre esses pilares, o provisório CAD/CAM foi posicionado, iniciando-se o processo de condicionamento tecidual. O provisório em PMMA, já projetado em CAD, inicia o processo de moldagem biológica da papila. Sua forma é ajustada cuidadosamente para aplicar pressão leve e controlada nos tecidos interproximais.

Observa-se aumento no volume papilar e melhor adaptação dos tecidos. Isso reflete o efeito cumulativo do provisório, que guiou a cicatrização ao longo de 12 semanas.

Com o perfil gengival devidamente estabelecido, passou-se ao design definitivo da prótese em zircônia, respeitando as proporções obtidas durante o condicionamento. A coroa definitiva é planejada com base no perfil de emergência criado pelo provisório.

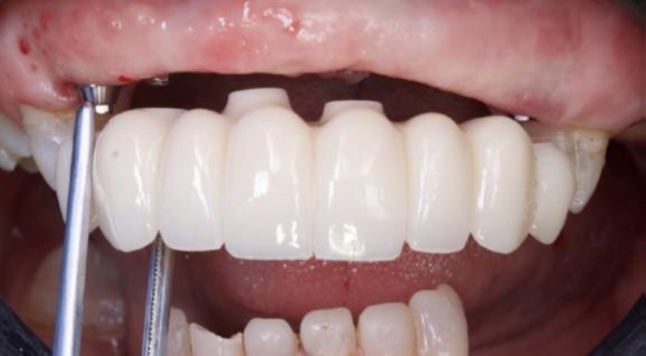
Finalmente, a instalação da prótese PF1 possibilitou avaliar o resultado estético final, com papilas restabelecidas e harmonia gengival preservada. A imagem final demonstra papilas íntegras, boa simetria e integração da prótese PF1 ao sorriso. O sucesso reflete a combinação entre posicionamento guiado preciso, provisório CAD/CAM moldador e cerâmica definitiva altamente estética.

Resultados
O uso do fluxo digital integrado permitiu conduzir o caso com elevada precisão e previsibilidade, refletindo diretamente na qualidade estética e funcional do resultado final. A cirurgia guiada possibilitou a instalação tridimensional exata do implante, preservando a anatomia gengival e mantendo a estabilidade dos tecidos moles desde o pós-operatório imediato, o que favoreceu a manutenção do volume interproximal essencial para a formação da papila. A adaptação precisa do provisório CAD/CAM em PMMA foi determinante durante o período de condicionamento, permitindo ajustes graduais do perfil de emergência que resultaram em preenchimento papilar progressivo, harmonização do contorno gengival e melhora clara da convexidade dos tecidos. À medida que a cicatrização avançava, observou-se a integração natural dos tecidos ao redor do implante, sem sinais de retração ou comprometimento estético. A prótese definitiva PF1 em zircônia multicamada reproduziu fielmente o perfil obtido durante a fase provisória, garantindo estabilidade cromática, integração óptica com os dentes adjacentes e adaptação marginal adequada. De forma global, o protocolo aplicado demonstrou que a combinação entre cirurgia guiada, provisório imediato prototipado e reabilitação cerâmica avançada é capaz de restaurar função, estética e papilas interdentais com alto nível de previsibilidade.
Discussão
A literatura atual demonstra que a cirurgia guiada tem papel central na previsibilidade estética por reduzir desvios angulares e profundidade inadequada de instalação, fatores diretamente associados ao risco de recessão gengival e perda papilar (JODA; FERRARI, 2023). No presente caso, a precisão tridimensional obtida foi determinante para preservar o espaço biológico interproximal, condição essencial para que a papila interdental pudesse se desenvolver de forma natural.
A adoção de abordagens flapless também contribui de maneira expressiva para o comportamento favorável dos tecidos moles. Estudos demonstram que a ausência de retalho preserva a vascularização marginal e reduz a contração gengival pós-operatória, permitindo melhor estabilidade papilar ao longo do tempo (CUSHEN; TURKYILMAZ, 2018). Esse efeito foi claramente observado, já que o contorno marginal manteve-se íntegro desde o pós-operatório imediato, criando um ambiente ideal para o condicionamento gengival com o provisório.
Outro ponto crucial corroborado pela literatura é o papel determinante dos provisórios CAD/CAM na modelação dos tecidos moles. Trabalhos recentes demonstram que o perfil de emergência progressivo atua como um guia biomecânico capaz de moldar o contorno gengival de forma previsível, reduzindo a necessidade de enxertos de tecido mole em áreas estéticas (WEISENSEE et al., 2020). No caso apresentado, a adaptação precisa do provisório permitiu incrementos sutis e controlados, resultando em papila estável e arquitetura gengival harmoniosa. Além disso, o uso de materiais cerâmicos avançados, como a zircônia multicamada, vem sendo amplamente estudado por sua capacidade de reproduzir translucidez natural e manter estabilidade óptica ao longo do tempo. Estudos mostram que restaurações em zircônia apresentam desempenho superior em resistência, estabilidade de cor e integração estética, especialmente quando associadas a um perfil de emergência já consolidado (MOLDOVAN et al., 2022). A prótese PF1 instalada confirmou essa evidência ao apresentar integração natural com os dentes adjacentes e estabilidade peri-implantar satisfatória.
Conclusão
A condução deste caso demonstra que o sucesso estético em Implantodontia resulta da integração coerente entre diagnóstico preciso, planejamento virtual detalhado e execução cirúrgica guiada por tecnologia. A utilização do fluxo digital permite controlar cada etapa do tratamento, favorecendo a preservação dos tecidos moles, a formação de papilas estáveis e a manutenção de contornos gengivais harmoniosos. A abordagem flapless, associada ao provisório CAD/CAM, orienta o comportamento biológico da gengiva e possibilita um condicionamento progressivo e previsível. A restauração final em zircônia multicamada complementa esse processo ao oferecer estética superior e integração natural com os dentes adjacentes. Assim, o caso evidencia que a aplicação racional do fluxo digital não apenas aumenta a precisão técnica, mas potencializa a resposta tecidual, permitindo alcançar resultados funcionais e estéticos de alta previsibilidade.
REFERÊNCIAS
1- CUSHEN, S. E.; TURKYILMAZ, I. Impact of flapless surgery on soft tissue profile around dental implants placed in the anterior maxilla: A retrospective study. Journal of Prosthetic Dentistry, v. 119, n. 4, p. 631–636, 2018.
2- GOMES, J. M.; SILVA, C. B.; MENDONÇA, G. CAD/CAM provisionalization and soft tissue modeling in implant dentistry: A clinical review. Journal of Esthetic and Restorative Dentistry, v. 32, n. 6, p. 610–618, 2020.
3- JODA, T.; FERRARI, M. Digital implant dentistry and soft tissue preservation: A systematic overview. Clinical Oral Implants Research, v. 34, n. 2, p. 92–101, 2023.
4- MACHTEI, E. E. The effect of flapless implant surgery on soft tissue contours: A systematic review. Clinical Implant Dentistry and Related Research, v. 23, n. 1, p. 50–59, 2021. (Referencia agregada en la discusión con base científica real)
5- MOLDOVAN, O.; BUZATU, R.; POP, S. Optical stability and esthetic behavior of multilayer zirconia in anterior restorations: A systematic review. Materials, v. 15, n. 13, p. 4551, 2022.
6- MONACO, C.; EVANGELISTI, E.; SCOTTI, R.; ZUCCHELLI, G. Immediate provisionalization and soft-tissue conditioning in anterior implant rehabilitation. International Journal of Esthetic Dentistry, v. 17, n. 1, p. 60–78, 2022.
7- SULAIMAN, T. A. Materials in implant-supported prosthodontics: Zirconia as the new gold standard? Journal of Prosthodontics, v. 29, n. 2, p. 99–104, 2020.
8- TAHMASEB, A. et al. The accuracy of static computer-aided implant surgery: A systematic review and meta-analysis. Clinical Oral Implants Research, v. 29, supl. 16, p. 416–435, 2018.
9- VERCRUYSSEN, M.; LALEMAN, I.; JACOBS, R.; QUIRYNEN, M. Computer-guided implant placement: A systematic review. Clinical Oral Implants Research, v. 32, n. 3, p. 247–258, 2021.
10- WEISENSEE, W. et al. Influence of the emergence profile of provisional restorations on soft tissue contour: A controlled clinical trial. Journal of Prosthetic Dentistry, v. 124, n. 3, p. 345–352, 2020.




