Por Diego Klee
Devido aos novos desenvolvimentos em Odontologia Digital e avanços do desenho e fabricação auxiliada por computador (CAD/CAM), alguns materiais restauradores tornaram-se comuns na prática diária. A zircônia destaca-se entre eles por ser um material estético que apresenta alta resistência à flexão e tenacidade à fratura. Dados clínicos confirmaram sua estabilidade como material para próteses fixas implantossuportadas.
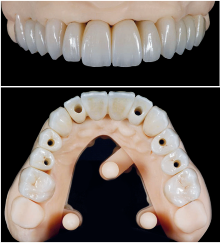
Além disso, apresenta elevada biocompatibilidade e baixa adesão bacteriana à sua superfície. Contudo, para o uso deste material em próteses parafusadas sobre pilares protéticos, o implantodontista ou TPD deve cimentar cilindros metálicos compatíveis com os componentes usados no paciente, impedindo o contato da zircônia com os pilares e garantindo a segurança ao realizar o aperto do parafuso protético.
Esta técnica, apesar de simples, resulta no aumento de tempo de trabalho. Isso acontece em função da etapa de cimentação dos links metálicos. Além disso, ela acrescenta custos (cimentos resinosos específicos e cilindros metálicos) e pode apresentar problemas estéticos, uma vez que o link metálico poderá acinzentar a coroa protética, principalmente ao empregar-se materiais de alta translucidez, incorporando uma cinta metálica anteriormente inexistente.
Além destas adversidades citadas, outra complicação preocupante é a questão da geometria do cilindro de titânio, que poderá influenciar no processo de descolamento e perda completa da retenção. Visando minimizar esse risco, confiando nas características de resistência da zircônia, observam-se interessantes resultados na fabricação de próteses fixas na região anterior e posterior, em casos unitários e parciais, fresadas sem o emprego de links metálicos, para serem parafusadas diretamente aos pilares instalados em boca. Alguns cuidados tornam-se indispensáveis para o sucesso da técnica:
1- Evitar utilizar pilares ou coroas de zircônia diretamente sobre os implantes. Empregue sempre intermediários protéticos usinados em titânio, evitando fraturas dos pilares ou coroas, bem como deformações dos implantes;
2- Assegurar-se da procedência e qualidade da zircônia empregada;
3- Utilizar unidades fresadoras de cinco eixos que possam oferecer um processo de usinagem confiável, com alta precisão na adaptação pilar/prótese;
4- Certificar-se de que a etapa CAD será realizada por um profissional capacitado e que a espessura mínima da zircônia na região de assentamento do parafuso protético seja de 0,8 mm;
5- Respeitar o torque recomendado pelo fabricante para o parafuso de fixação, normalmente não excedendo o limite de 10 Ncm.
Com estes cuidados, observamos próteses sobre implantes altamente estéticas, com simplicidade técnica e longevidade. Próteses unitárias ou parciais de zircônia, parafusadas diretamente sobre conexões protéticas, em fluxo totalmente digital, parecem representar uma opção de tratamento confiável com baixa incidência de falhas e complicações. Ainda assim, algumas questões permanecem em relação a possíveis complicações. Mais estudos são necessários para confirmar a validade deste protocolo.
No caso apresentado a seguir, empregamos esta filosofia: coroas unitárias e uma prótese parcial fixa confeccionadas em zircônia monolítica, parafusadas diretamente aos pilares instalados em boca, sem o emprego de links metálicos.






*Este artigo foi publicado na revista ImplantNews em 2024.





