Por Marcelo Souza Salomão e Larissa Ribeiro
O objetivo deste trabalho é relatar um caso clínico de exodontia e instalação imediata de implantes com manobras associadas para regeneração óssea guiada na região mandibular.
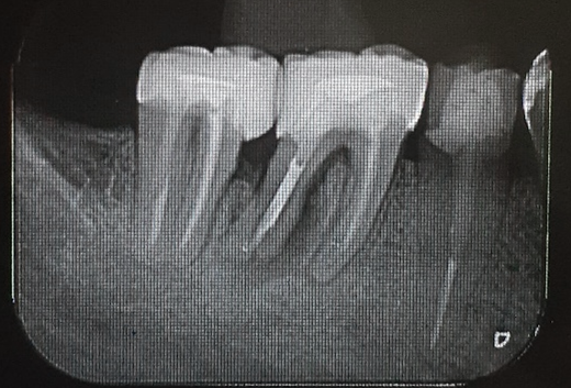
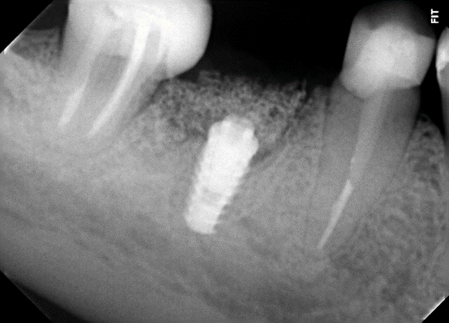
Uma paciente de 62 anos de idade apresentou-se com queixa de odor ruim na região do dente 46, pus, bolsa profunda e sangramento à sondagem. Os exames radiográficos evidenciaram lesão periapical, tratamento endodôntico e uma linha de fratura condenando a sobrevivência do elemento dentário 46. Assim, o elemento foi extraído e foi instalado um implante dentário de conexão interna morse no momento da exodontia. O mesmo foi estabilizado a 20Ncm e o parafuso de cobertura foi instalado. Em seguida, um biomaterial de origem bovina foi compactado no GAP e uma membrana não absorvível foi posicionada protegendo o biomaterial.


Após a análise clínica e tomográfica foi realizado o planejamento do caso: exodontia do dente 46 com a instalação imediata de um implante Cone Morse de corpo cônico (Maestro 4.0 X 9 – Implacil De Bortoli, São Paulo, Brasil), regeneração óssea guiada com biomaterial de origem bovina e colocação de uma barreira regenerativa não absorvível Cytoplast.









Considerações finais
Através deste relato de caso observou-se que por meio da avaliação dos exames clínicos e radiográficos de maneira criteriosa pode-se chegar ao diagnóstico definitivo de casos de fratura/trinca radicular, permitindo um planejamento adequado do caso. A realização de exodontia atraumática seguida de implante imediato, possibilitando a preservação da anatomia alveolar e preservando a estrutura óssea, apresenta-se favorável para o paciente, pois reduz o número de intervenções cirúrgicas. Além disso, o uso da técnica de regeneração óssea guiada na Implantodontia, promovendo o preenchimento deGAP nos alvéolos com biomaterial de origem bovina, favorece o aumento ósseo. Por fim, a utilização de uma membrana não absorvível (Cytoplast) intencionalmente exposta ao meio bucal é uma alternativa previsível de tratamento nos casos de preservação alveolar.
REFERÊNCIAS
1- Primo BT, Fernandes EDL, Lima PVP, Kramer PF. Implante imediato para substituição de elemento dentário com fratura radicular : relato de caso clínico. Stomatos, v17, n32, jan/jun. 2011;17(32):65–71.
2- Oliveira AC De, Souza JR de, Thomé G, Melo ACM, Sartori IA de M. Implante imediato unitário em função imediata – relato de caso. Rfo. 2008;13(1):70–4.
3- Sabrina Rebollo Zani, Renan de Ávila Alves, Samuel Henrique Both Korb, Elken Gomes Rivaldo, Luís Carlos da Fontoura Frasca. Colocação de implante imediato após exodontia: relato de caso clínico. Odontol Clín-Cient [Internet]. 2011;10(3):281–4. Available from: www.cro-pe.org.br .
4- Coelho L, Murad D, Janine B, Silva M, Gonçalves B, Ramos BC, et al. Trinca Radicular Diagnosticada Através de Exame Radiográfico e Tomográfico: Relato de Caso Clínico. Arq Bras Odontol. 2017;10(2):21–7.
5- Palattella P, Torsello F, Cordaro L. Two-year prospective clinical comparison of immediate replacement vs. immediate restoration of single tooth in the esthetic zone. Clin Oral Implants Res. 2008 Nov;19(11):1148–53.
6- Romanos G, Froum S, Hery C, Cho S-C, Tarnow D. Survival rate of immediately vs delayed loaded implants: analysis of the current literature. J Oral Implantol. 2010;36(4):315–24.
7- Deng F, Zhang H, Zhang H, Shao H, He Q, Zhang P. A comparison of clinical outcomes for implants placed in fresh extraction sockets versus healed sites in periodontally compromised patients: a 1-year follow-up report. Int J Oral Maxillofac Implants. 2010;25(5):1036–40.
8- Menezes L, Rocha ADO, Menezes R De, Silva N, Júnior M, Lima TO, et al. O que há de atual sobre regeneração óssea guiada em odontologia : uma revisão integrativa What is current on guided bone regeneration in dentistry : an integrative review Actualidad sobre regeneración ósea guiada en odontología : una revisión integradora. 2022;15(4):1–10.
9- Yuliati Y, Soesilawati P, Nastiti AP, Firdauzy MAB, Alias A, Haque N. Guided Bone Regeneration to Improve Osseointegration in Dental Implant. Malaysian J Med Heal Sci. 2021;17(5):127–32.
10- Medeiros MS, Marcelino KP, Júnior JC de O, Pereira NCG, Freire JCP, Dantas EM, et al. Exodontia atraumática e implante imediato em área estética: relato de caso. Res Soc Dev. 2020;9:1–15.
11- Almeida MM, Aragones LCA. Recobrimento de roscas expostas de implantes: utilização de membrana não reabsorvível. RGO. 2000;201–4.
12- Boaventura Zumaêta Costa J, Da Silva F, De Almeida Dultra C, Farias Souza L, Nascimento Elyotte dos Santos MC. O Uso De Membranas Biológicas Para Regeneração Óssea Guiada Em Implantodontia: Uma Revisão De Literatura. J Dent Public Heal. 2016;7(1):1–8.
13- Faverani LP, Ramalho-ferreira G, Gaetti-jardim EC, Okamoto R. Implantes Osseointegrados: Evolução E Sucesso. Salusvita, Bauru, v 30, n 1, p 47-58. 2011;47–58.





