Por Ricardo Zavanelli
Introdução
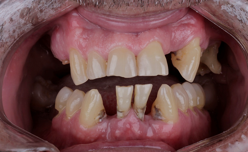
Um paciente procurou tratamento protético reabilitador com queixa dos dentes 31 e 41 que estavam abalados. Ao exame clínico e radiográfico, notou-se mobilidade dos dentes, doença periodontal ativa e perda óssea.
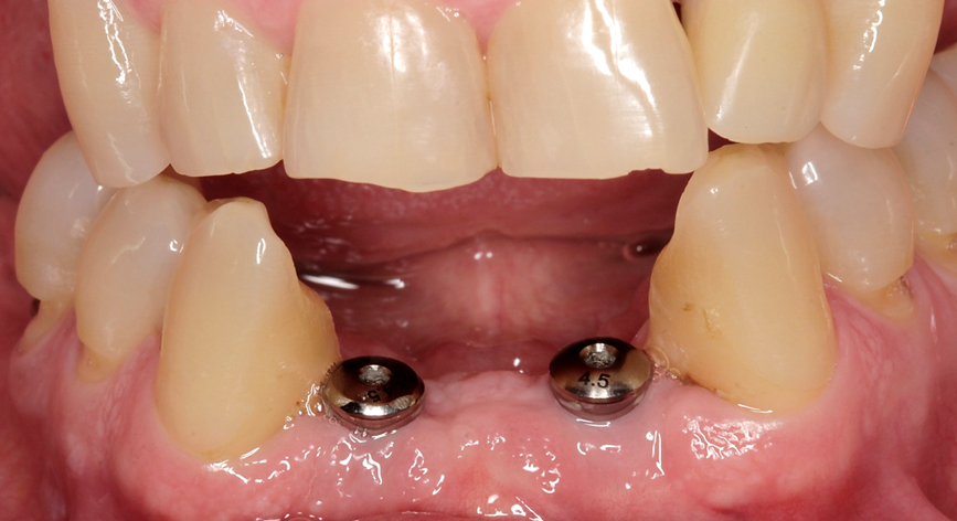
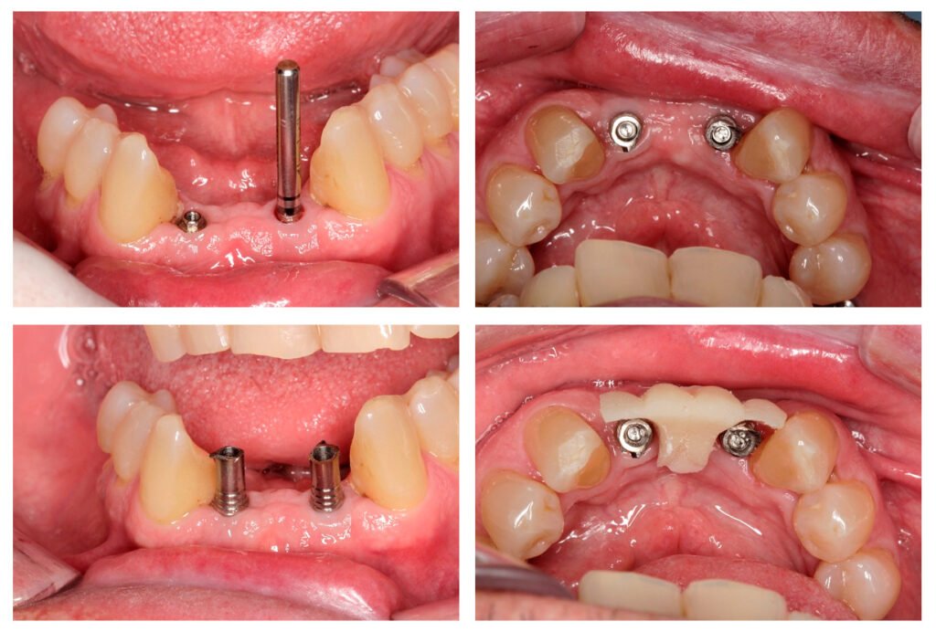
Avaliamos o espaço mésio-distal entre os dentes 33 e 43 e constatamos a ausência de distância para a colocação de implantes individualizados. Assim sendo, optamos pela instalação de dois implantes Veloce CM de diâmetro 3.3 e pilares do tipo micro-cônico para a solução clínica.
Dessa forma, na matéria desta semana, será abordada uma situação clínica de espaço mésio-distal restrito com o uso de implantes híbridos do tipo Veloce CM estreitos de 3.3 de diâmetro e posterior confecção de prótese sobre implantes com pilares intermediários do tipo micro-cônico.
Relato de caso clínico:











Conclusão
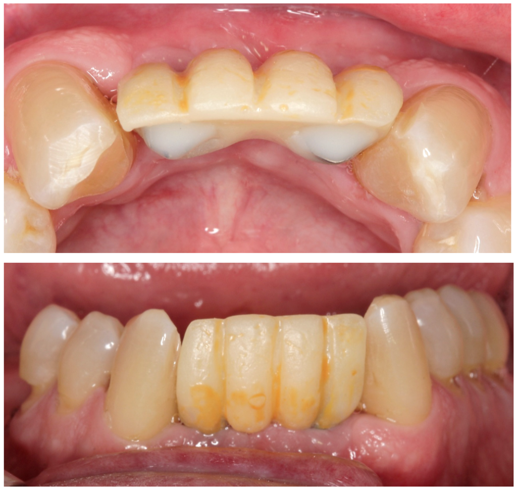
Diante do caso clínico apresentado, constatamos a importância de um correto planejamento, que evidenciou a necessidade de implantes estreitos do tipo Veloce CM e sobre esses implantes os componentes também estreitos do tipo micro-cônico para que os espaços desdentados mésio-distais fossem respeitados de forma adequada.
Assim sendo, concluimos que:
– em casos de espaço mésio-distal restrito podemos lançar mão de implantes estreitos do tipo Veloce de diâmetro 3.3;
– para seguir a mesma linha de raciocínio, os componentes também devem ter uma plataforma reduzida para poder assentar adequadamente a prótese sobre os implantes e o componente escolhido foi o micro-cônico.
REFERÊNCIAS BIBLIOGRÁFICAS:
1- Bruno Leitão-Almeida, Octavi Camps-Font, André Correia, Javier Mir-Mari, Rui Figueiredo, Eduard Valmaseda-Castellón. Effect of bone loss on the fracture resistance of narrow dental implants after implantoplasty. Na in vitro study. Med Oral Patol Oral Cir Bucal. 2021 Sep; 26(5): e611–e618. Published online 2021 Jun 20. doi:10.4317/medoral.24624.
2- Eduardo Antiua, Virginia Escuer, Mohammad H. Alkhraisat. Short Narrow Dental Implants versus Long Narrow Dental Implants in Fixed Prostheses: A Prospective Clinical Study. Dent J (Basel) 2022 Mar;10(3): 39.Published online 2022 Mar 4. doi:10.3390/dj10030039.





