Por Diego Klee e Luiz Fernando Martins André
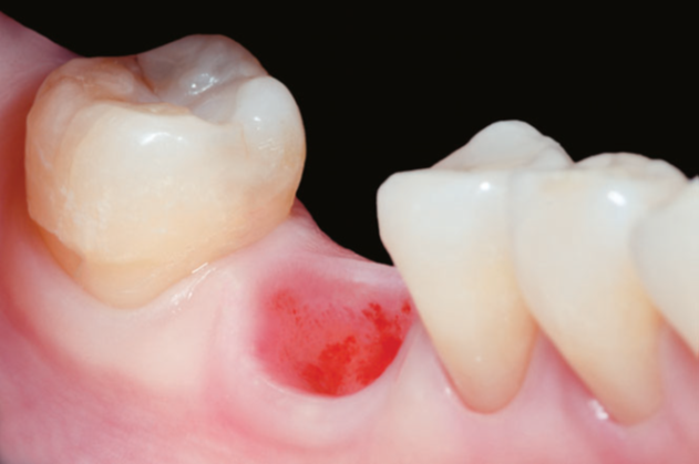
Implantes dentários do tipo hexágono externo ou hexágono interno foram – e ainda são – muito empregados na Implantodontia. Infelizmente, é comum observar, após a exposição destes implantes no segundo estágio cirúrgico e a colocação de pilares, a reabsorção óssea de 1 mm a 2 mm na direção apical – fenômeno conhecido como “saucerização”. Além da organização dos tecidos, uma razão biológica pode existir para este fenômeno. Se irritantes crônicos, como bactérias, atingem a área de conexão do implante, ou se as conexões são removidas e recolocadas, contrariando o conceito “one time one abutment” após a cicatrização inicial, o osso pode ser reabsorvido.
A repetida remoção/recolocação do pilar protético do implante compromete o selamento tecidual e o equilíbrio biológico criado neste espaço ao redor do implante/pilar, podendo ocasionar uma reabsorção óssea e recessão da mucosa peri-implantar. Outros fatores adicionais podem contribuir com a perda óssea, como trauma cirúrgico, sobrecarga oclusal, micromovimentos da conexão protética e peri-implantite. Esta perda óssea que ocorre ao redor dos implantes pode interferir nos resultados estéticos após a realização do tratamento restaurador. Os resultados indicam uma ocorrência reduzida de perda óssea ao nível do pilar/implante associada aos implantes com conexão protética do tipo Cone Morse, posicionados ao menos 1 mm a 2 mm abaixo da crista óssea.
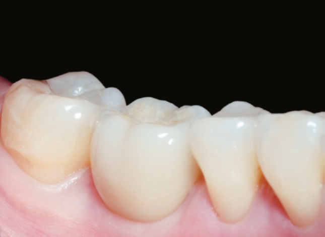
As conexões cônicas mostraram menor inflamação e perda óssea dos tecidos peri-implantares devido à maior estabilidade mecânica do sistema associada à reduzida penetração de microrganismos. Isto deve-se à maior área de contato e à melhor adaptação entre as superfícies do pilar protético e do implante. É importante que o clínico faça a correta eleição do tipo de plataforma protética que empregará em determinado caso, não ficando refém de uma única plataforma protética ou marca. Desta maneira, poderá personalizar a tomada de decisão em benefício do paciente e melhorar o desempenho de seu tratamento, em detrimento de antigos paradigmas que poderão conduzi-lo a caminhos nem sempre previsíveis.
Nossa principal eleição de plataforma protética é a cônica (i.e. cone-morse), pelas vantagens acima elencadas. Mas nem sempre poderemos fazer uso deste tipo de implante/conexão protética.
Em nossa percepção, esta opção parece ser a indicação correta em situações clínicas com altura óssea igual ou superior a 8 mm, com a mucosa igual ou superior a 1,5 mm.
Esta plataforma protética já está consagrada por otimizar a manutenção dos tecidos que circundam o implante, especialmente no terço cervical do mesmo. Por outro lado, com alturas ósseas inferiores a 7 mm, com espessuras de mucosa peri-implantares inferiores a 1 mm, situações muito comuns em áreas posteriores de mandíbulas e maxilas edêntulas, nossa preferência recai nos implantes do tipo hexágono externo (casos múltiplos) ou interno (casos múltiplos ou unitários), que não demandam um posicionamento subcrestal e oferecem a possibilidade da emergência protética diretamente de suas plataformas, com resultados interessantes mesmo diante de espessuras de mucosa peri-implantares inferiores a 1 mm e restritos espaços interoclusais.
Considere sempre o conceito de plataforma switch, com o diâmetro do pilar protético menor do que o do implante, favorecendo a saudável manutenção dos tecidos moles peri-implantares e do sucesso clínico. O cuidadoso exame clínico e radiográfico antes do procedimento será soberano para a decisão do sistema a ser empregado. Muito cuidado para que o planejamento não seja baseado apenas em experiências positivas pregressas.






a melhor indicação quando corretamente indicados, otimizando a manutenção dos tecidos que circundam o mesmo.
*Este artigo foi publicado na revista ImplantNews em 2024.





