Por Tárcio Skiba, Bruno Sá, Rodrigo Melgarejo, Luiz Locatelli, Phillip Cavalcante, Lucas Carvalho, Jalisson Vicente e Lucas Barros
INTRODUÇÃO
A alternativa de tratamento com implantes dentários para substituição de dentes perdidos tornam-se cada vez mais comuns¹. Os dentes são indispensáveis para nossas atividades diárias e socialização. Mas, infelizmente, os dentes podem ser perdidos por vários motivos e entre os mais recorrentes estão os traumas e as cáries dentárias².
Hoje, com as facilidades do século XXI, os padrões estéticos dos sorrisos tornaram-se mais importantes e a perda de um elemento dentário anterior pode trazer transtornos e gerar problemas psicológicos na vida profissional e pessoal do indivíduo. Portanto, é um grande desafio reabilitar pacientes com implantes dentários buscando promover um equilíbrio harmonioso entre o funcional e o estético, bem como recuperar a autoestima e aceitação social3.
Graças aos avanços na pesquisa de tecidos e técnicas cirúrgicas e protéticas, agora é possível minimizar o tempo necessário para a reabilitação sobre implantes, reduzindo o tempo cirúrgico a uma única fase sem comprometer a osseointegração. Atualmente também é possível instalar implantes imediatamente e atingir o mesmo nível de osseointegração alcançado com os protocolos convencionais de duas etapas. Os ensaios clínicos que levaram aos protocolos tradicionais eram muito diferentes dos ensaios clínicos atuais. Com o tempo, alguns princípios do protocolo original foram modificados para permitir o método de carga imediata4.
A restauração imediata pode apresentar algumas vantagens, como encurtar o tempo de tratamento, eliminar o uso de PPP ou provisórios ligados a dentes adjacentes, alta aceitação do paciente, eliminação da reabertura do implante e benefícios estéticos, sociais e psicológicos. A preservação do osso e das papilas dos dentes adjacentes ainda é citada como uma vantagem desta técnica5.
Os implantes Cone Morse foram criados com o intuito de minimizar problemas recorrentes na prática clínica odontológica, buscando maior segurança e longevidade das próteses fixas sobre os implantes e mostrando grandes resultados na estética6. O conceito Cone Morse apresenta vantagens protéticas significativas em comparação aos implantes hexágonos, principalmente em elementos unitários anteriores, tendo em vista que a longevidade da estética gengival é de suma importância, demonstrando qualidades clínicas, biológicas e biomecânicas superiores7.
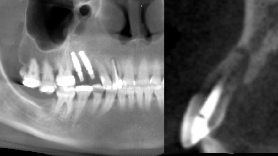
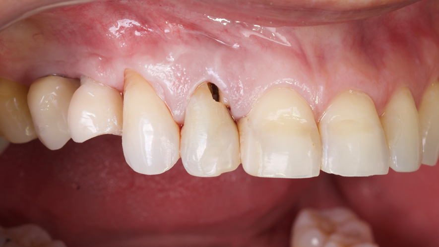
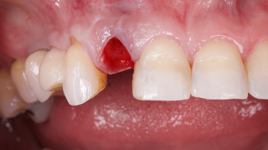
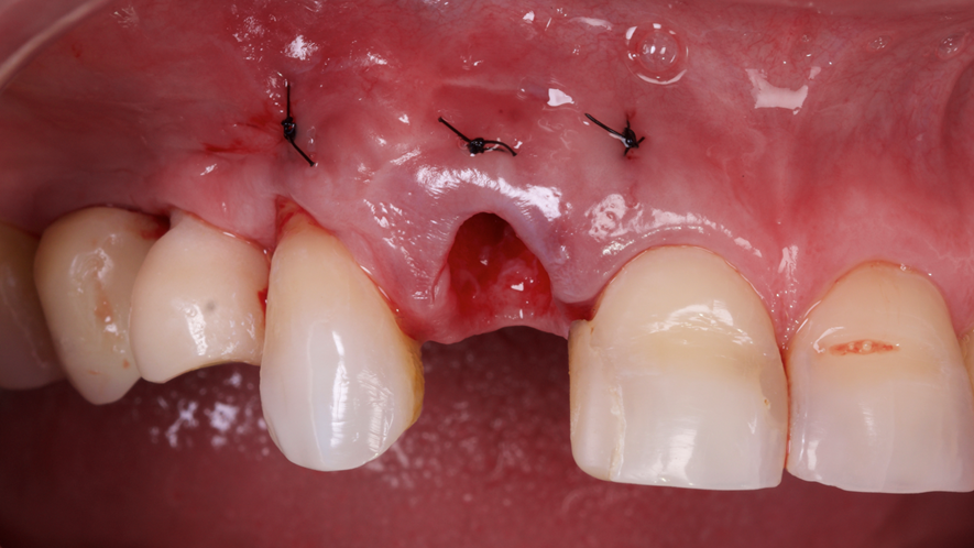
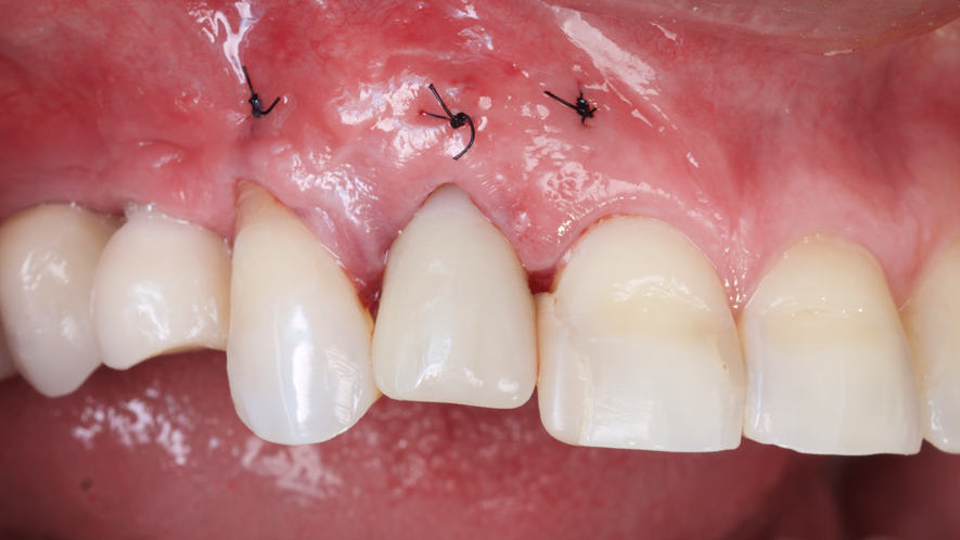
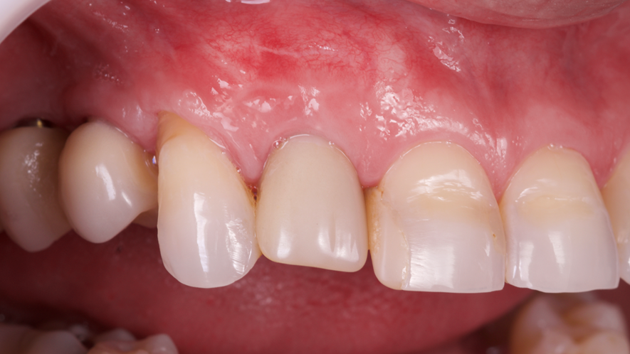
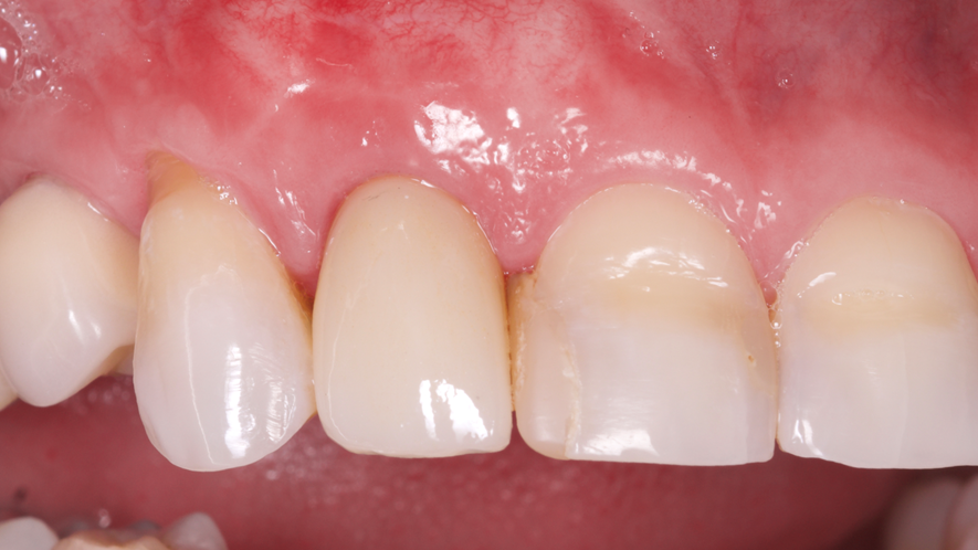
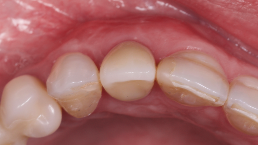
Este trabalho tem como objetivo relatar um caso clínico de exodontia minimamente invasiva de um incisivo lateral superior com fratura radicular, realizando implante imediato em alvéolo pós-extração, enxerto de tecido conjuntivo subepitelial e osso bovino liofilizado para preenchimento de GAP, prontamente à instalação de pilar reto e provisório imediato.
RELATO DE CASO


































REFERÊNCIAS
1- ELANI, H W et al. “Trends in Dental Implant Use in the U.S., 1999-2016, and Projections to 2026.” Journal of dental research vol. 97,13 (2018): 1424-1430. doi:10.1177/0022034518792567.
2- CLARK D, Levin L. In the dental implant era, why do we still bother saving teeth? Dent Traumatol. 2019 Dec;35(6):368-375. doi: 10.1111/edt.12492.
3- MARGEAS RC. Predictable periimplant gingival esthetics: use of natural tooth as a provisional following implant placement. J Esthet Restot Dent. 2006; 18(1):5-12.
4- GARCIA-AROCHA, Raúl A; GARCIA, Vladimir e SUAREZ, Airam.Reabilitação protética da mandíbula com implantes osseointegrados de carga imediata: relato de caso.Lei Odontológica. Veneza . 2005, vol.43, n.2, pp.165-170. ISSN 0001-6365.
5- DISCACCIATI JAC, Vasconcellos WA, Barros VM. Innov Implant J, Biomater Esthet. 2012/2013;7/8:148-155.
6- VERRI, R. R. et. al. Visão contemporânea do uso de implantes de conexão interna tipo cone Morse. Revista Odontológica de Araçatuba, v.33, n.1, p. 49-53, 2012.
7- MIRANDA, Bruno Pires, KALIL r. Marcos da Veiga, Morse cone platform, the implant with aesthetic proteic resolution, with the periimplant tissues,International Journal Of Science Dentistry,Niterói (RJ) – Brasil, – Número 62 – Volume 3 – set/dez 2023.





