Por Maria Luísa Lara de Oliveira, Renata Tarnoschi Bernardo Bordignon, Bruno Costa Martins de Sá, Lucas Lima Barros e Tárcio Hiroshi Ishimine Skiba
Introdução
O implante imediato é retratado como um segmento pelo qual o implante é instalado no mesmo ato cirúrgico em que o dente a ser substituído é extraído. Tendo em consideração que estudos mostram que implantes instalados imediatamente após a exodontia podem osseointegrar evidenciando sua adaptação na superfície óssea, é realizado um estudo mais aprofundado através de tomografia computadorizada em que a espessura e largura óssea é analisada para uma melhor adaptação do implante. A tomografia computadorizada permite o planejamento ideal para a posição do implante, obtendo um melhor resultado quando na posição ideal, como possibilitando a inserção dos componentes protéticos.
Na atualidade o uso de guias prototipados tem se tornado uma ferramenta útil no processo de reabilitação, pois possibilita transferir facilmente o posicionamento dos implantes para o procedimento cirúrgico. A prototipagem na cirurgia pode seguir alguns estágios: o virtual, simulando o trajeto do implante, e o físico, que é a fabricação do modelo. Comparada à técnica convencional, a cirurgia guiada possui muitas vantagens, entre elas, a redução do tempo cirúrgico e o conforto, garantindo satisfação estética e funcional ao paciente. No entanto, o sucesso do procedimento depende de um planejamento cirúrgico, técnica e posicionamento correto do implante, podendo interferir na biomecânica protética otimizando a estética e função, e podendo comprometer a longevidade do tratamento restaurador.
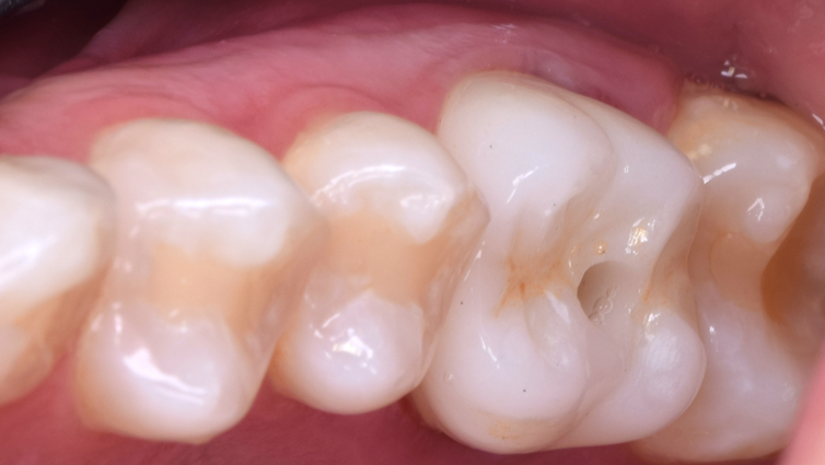
O fluxo digital pode trazer facilidade e agilidade para as reabilitações e, muitas vezes, nos permite pular etapas que em um fluxo analógico seriam obrigatórias. No presente relato de caso clínico, em uma nova abordagem em fluxo 100% digital, foi possível a realização da manufatura da cerâmica definitiva pulando a etapa de remoção do provisório para escaneamento do perfil de emergência, uma vez que o escaneamento do provisório ja foi realizado antes de sua instalação, juntamente à posição do implante, sendo necessário apenas o escaneamento externo após a estabilização dos tecidos.
Relato do caso
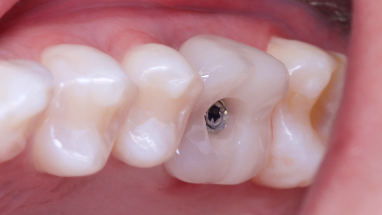
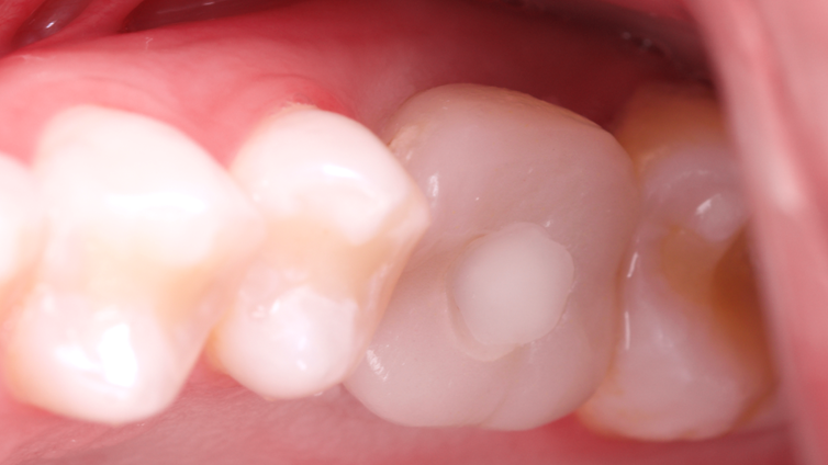
Paciente D.B., de 32 anos, procurou o consultório com queixa de dor no elemento 26. Após a avaliação da tomografia junto ao endodontista, constatou-se que o elemento estava condenado, sendo planejado a extração minimamente invasiva com instalação imediata do implante na região posterior superior do elemento 26. Tendo em vista que o implante imediato é dito como um segmento pelo qual ele será instalado no mesmo ato cirúrgico do dente extraído, foi confeccionado um guia e um provisório prototipados, para uma melhor visualização para a instalação do implante. Foi realizada a exodontia minimamente invasiva e na sequência a fresagem do kit IMPLAGUIDE 3.5/4.0 da Implacil De Bortoli. Depois, instalação do implante Maestro 3.5×11, do pilar Ideale 4.5×4 2,5 mm, mais a coifa de titânio de 4.5×4. Foi feito também a finalização do provisório com resina Flow para confecção dos contornos críticos e subcríticos, como também foi realizado o preenchimento do GAP e parafusado o provisório. Observou-se que a instalação do implante com guia e provisório prototipados ofereceu um melhor conforto ao paciente desde o inicio do tratamento: diminuiu a quantidade de anestésicos, o tempo cirúrgico, o pós-operatório e os edemas, além de proporcionar sucesso no tratamento restaurador. Para a confecção da cerâmica definitiva após o período de oito meses, bastou o escaneamento do provisório ainda em boca para a confecção direta da cerâmica definitiva em fluxo digital, uma vez que os escaneamentos da provisória, bem como do pilar, ja haviam sido feitos. Bastou então juntar as malhas em software (Exocad) para a finalização da reabilitação.


















Referências Bibliográficas
1- LORRIO CASTRO, J.M. et al . La rehabilitación con implantes en el paciente edéntulo maxilar mediante cirugía guiada y carga inmediata. Avances en Periodoncia, Madrid , v. 27, n. 3, p. 117-124, dic. 2015 . Disponible en <http://scielo.isciii.es/scielo.php?script=sci_arttext&pid=S169965852015000300003&lng=es&nrm=iso>. accedido en 22 jul. 2024. 2. ORDONEZ SOUSA, B et al.
2- Tratamento de pacientes edéntulos mandibulares con cirurgía guiada y carga inmediata. Av Odontoestomatol, Madrid , v. 34, n. 6, p. 285-292, dic. 2018 . Disponible en <http://scielo.isciii.es/scielo.php?script=sci_arttext&pid=S021312852018000600002&lng=es&nrm=iso>. accedido en 22 jul. 2024.
3- PENARROCHA, Miguel; URIBE, Roberto; BALAGUER, José. Implantes inmediatos a la exodoncia: Situación actual. Med. oral patol. oral cir. Bucal (Ed.impr.), , v. 9, n. 3, p. 234-235, jul. 2004 . Disponible en <http://scielo.isciii.es/scielo.php?script=sci_arttext&pid=S169844472004000300009&lng=es&nrm=iso>. accedido en 22 jul. 2024.
4- VELASCO ORTEGA, E. et al . Implantología oral guiada asistida por ordenador en el tratamiento del paciente edéntulo mandibular. Avances en Periodoncia, Madrid , v. 23, n. 1, p. 11-19, abr. 2011 . Disponible en <http://scielo.isciii.es/scielo.php?script=sci_arttext&pid=S169965852011000100002&lng=es&nrm=iso>. accedido en 22 jul. 2024.





