Por Túlio Garcia Margute e Tiago Garcia Margute
INTRODUÇÃO
A Implantodontia trouxe novas possibilidades de reposição de dentes perdidos, sejam de forma precoce ou fisiológica, com resultados finais cada vez mais previsíveis, desde que bem planejados.
A abordagem tradicional na cirurgia de implante envolve a elevação do retalho para preparar o local para o posicionamento do dispositivo de fixação. A abordagem sem retalho evita esta etapa, inserindo o implante sem levantar nenhum retalho, simplificando o procedimento, reduzindo o tempo operatório e o desconforto do paciente e favorecendo a aceitação do protocolo do implante1.
A estabilidade inicial dos implantes e a estética das próteses sobre implantes demostram alta taxas de sucesso, tornando a Implantodontia uma das especialidades mais requisitadas na substituição de dentes perdidos2. Importante relatar que um planejamento minucioso é importante para a obtenção de resultados satisfatórios em reabilitações desse tipo, em destaque em região anterior de maxila, mesmo quando uma abordagem com implantes for a mais indicada. Dessa forma, sob o ponto de vista estético, um minucioso planejamento estético é fundamental para a obtenção de um resultado favorável3.
O sucesso estético da instalação imediata de implantes e procedimentos de provisionalização é influenciado por uma série de fatores que podem ser categorizados como intrínsecos e extrínsecos3. Os fatores intrínsecos são dependentes do paciente e incluem a relação entre tecidos duros e moles, biótipo gengival e posição sagital da raiz no osso alveolar4. Os fatores extrínsecos, por outro lado, dependem do clínico e incluem a posição e angulação tridimensionais do implante, bem como o contorno do pilar e a restauração provisória6.
A tecnologia está cada vez mais presente na Implantodontia, tanto na fabricação dos implantes e componentes como em avanços em técnicas cirúrgicas e possibilidades digitais em prótese sobre implantes6.
RELATO DE CASO
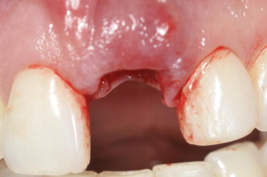
Paciente de 46 anos, gênero feminino, em perfeitas condições de saúde, procurou clínica particular após ter ocorrido uma fratura no elemento 11, sendo que a mesma relatou mobilidade no elemento. Ao exame clínico foi constatada fratura de coroa em nível cervical com fistula na região.
Solicitado exame de imagem, tomografia do tipo Cone Beam, foi constatada fratura horizontal na coroa do elemento 11. Uma boa quantidade óssea residual foi encontrada e assim foi planejada a exodontia do elemento 11 e instalação de implante imediato.
O procedimento cirúrgico foi realizado sob anestesia local com articaina 1:200.000, incisão intrasulcular preconizando uma exodontia minimamente invasiva e a máxima preservação alveolar. Em seguida foi utilizado o periótomo para luxação e a exodontia do elemento realizada com ajuda de fórceps. A remoção da coroa do elemento 11 e do resto radicular foi realizada em dois estágios, uma vez que a coroa estava fraturada em região cervical e a exodontia do remanescente causou um pequeno colapso em tecido gengival mesial. Após a exodontia foram feitas curetagens das lesões para posterior instalação do implante.
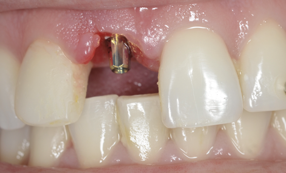
O implante de eleição foi o modelo Due Cone da Implacil De Bortoli, com plataforma protética do tipo Cone Morse com 3.5X13.0 mm. Procurou-se uma posição tridimensional após todas as fresagens, proporcionando seguir com uma prótese do tipo parafusada na reabilitação do meso. Após a confecção do alvéolo cirúrgico finalizada, foi instalado o implante, alcançando um torque de 50N, e então, o preenchimento do GAP foi realizado com o enxerto bovino Extra Graft XG-13, um substituto ósseo natural composto por 75% de hidroxiapatita bovina (principal componente mineral do osso) e 25% de colágeno do tipo I (proteína mais abundante na porção orgânica do osso) – ambos de origem bovina em uma quantidade de 0,5 g, o necessário para que todo o GAP fosse ocupado. Uma barreira de Politetrafluoretileno denso (d-PTFE) foi usada para manutenção das estruturas em contato com a área, procurando dar estabilidade das estruturas ao redor.
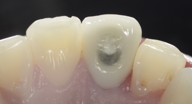
Para a restauração provisória imediata foi selecionado cilindro de titânio (Implacil De Bortoli), sendo o mesmo instalado diretamente na plataforma Cone Morse do implante, procedendo na sequência com o corte necessário em sua estrutura para que a restauração provisória, confeccionada em acrílico dente de estoque e resina flow, ficasse adaptada com o mínimo contato oclusal.
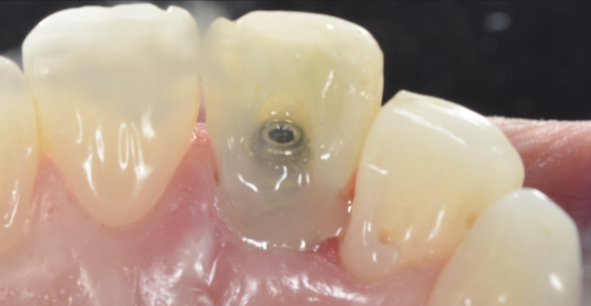
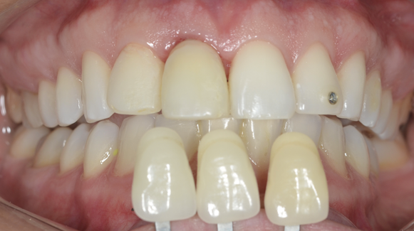
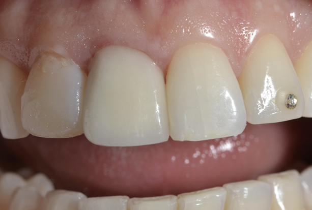
Após 21 dias, paciente retornou para remoção da membrana d-PTFE e um novo reembasamento do provisório foi feito com resina flow. Após sete dias da remoção da membrana d-PTFE, um pilar Ideale de 3.3 (diâmetro) X 4 (espaço protético) X 1,5 de transmucoso foi instalado e junto foi escolhido a coifa de titânio do mesmo para confecção de um novo provisório usando remanescente dental da paciente. Nesse momento esse elemento foi capturado com resina flow e adesivo universal e foram feitos os ajustes em acabamento e polimento para início do perfil de emergência, contornos críticos e subcríticos. Durante quatro meses foram feitos reembasamentos para que o sucesso do caso em área estética entre zona rosa e branca fosse completo.
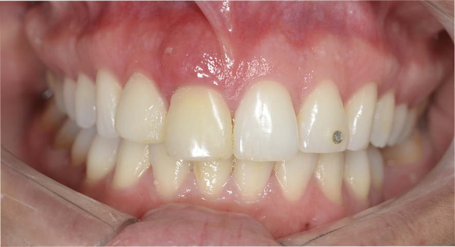
Após 120 dias, paciente retornou e apresentou osseointegração completa, além de uma margem gengival satisfatória para início da moldagem do elemento.
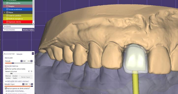
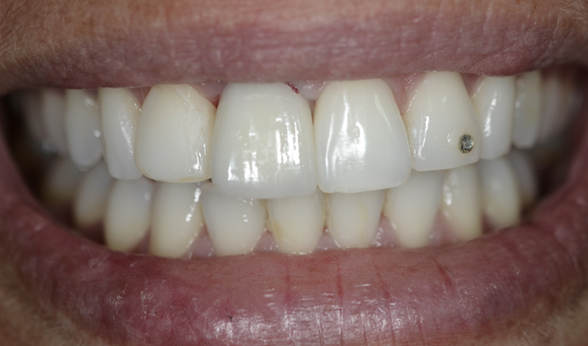
O elemento foi moldado usando técnica analógica com transferente em boca. Foram também usados: silicona de adição para moldagem do implante em técnica de passo único e condensação para antagonista e registro de mordida para análise oclusal. O análogo híbrido foi instalado no componente Ideale e enviado ao laboratório para o mesmo vazar o modelo em gesso. Gesso com análogo em posição, o laboratório instalou o transferente de escaneamento no análogo e fez um escaneamento de bancada, transformando assim em um caso híbrido, saindo do analógico para o digital. O Exocad foi usado para sequência do planejamento virtual e impressão do modelo. Modelo impresso, a cerâmica foi aplicada pelo ceramista na cor final escolhida após registro de foto com escala Vita. O caso foi finalizado e a coroa definitiva em cerâmica foi instalada após 120 dias, devolvendo função e estética para a paciente.


















































CONCLUSÃO
A instalação imediata do implante pós-exodontia e a realização de carga imediata protética na área estética são grandes oportunidades na Odontologia moderna. No entanto, os resultados finais são influenciados por muitos fatores cirúrgicos e protéticos, não apenas pelo tempo em si, o que transforma tudo em um desafio que precisa ser cuidadosamente planejado e superado desde o seu início.
REFERÊNCIAS
1 – Lin GH, Chan HL, Bashutski JD, Oh TJ, Wang HL. The effect of flapless surgery on implant survival and marginal bone level: a systematic review and meta-analysis. J Periodontol 2014: 8: 91–103.
2 – KAN, J. Y.; RUNGCHARASSAENG, K.; LOZADA, J. Immediate placement and provisionalization of maxillary anterior single implants: 1 year prospective study. Int J Oral Maxillofac Implants. Lombard, v. 18, n. 1, p. 31-39, 2003.
3 – BOTTINO, M. A.; ITINOCHE, M. K.; BUSO, L.; FARIA, R. Estética com implantes na região anterior. Implantnews, São Paulo, v 3, n. 6, p. 561-571, 2006.
4 – Kan JYK, Rungcharassaeng K, Lozada J. Bilaminar subepithelial connective tissue grafts for implant placement and provisionalization in the esthetic zone. J Calif Dent Assoc 2005: 33: 865–871.
5 – SPIEKERMANN, H. Implantologia. Porto Alegre: Ed. Artemede, 2005.
6 – JUODZBALYS, G.; WANG, H. Esthetic index for anterior maxillary implant supported restorations. Journal of Periodontology, Chicago, v. 81, n. 1, p. 34-42, Jan. 2010.
7 – MARTINS, H. S. P. Implante em alvéolo fresco: uma revisão da literatura. Rio de Janeiro. 2007. 59f. Monografia (Especialização em Odontologia) – Centro de Pós-Graduação da Academia de Odontologia do Rio de Janeiro, Rio de Janeiro, 2007.





