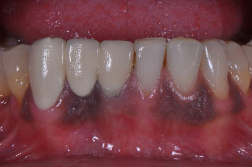
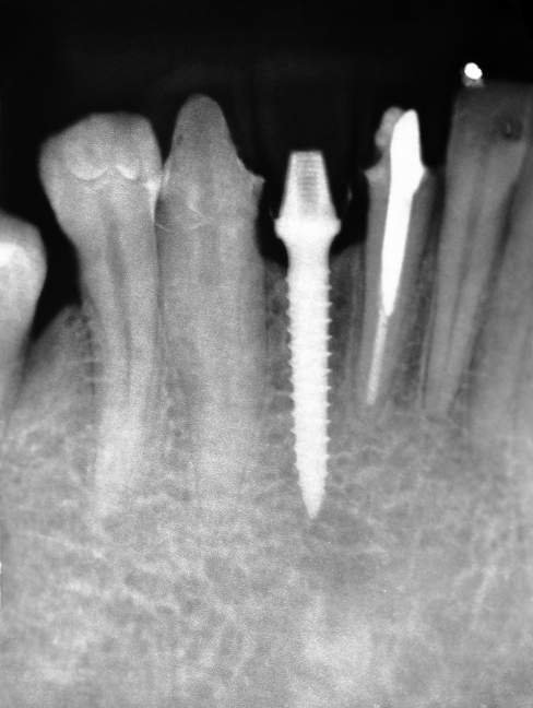
Implantes estreitos de titânio surgiram na Implantodontia com a indicação clássica de serem utilizados para substituição de incisivos laterais superiores, incisivos inferiores (Fig.1), espaços edêntulos pequenos e com baixa incidência de carga mastigatória.

O implante Slim Pilar de corpo único com os diâmetros de 2,5 e 3,0 milímetros (Fig. 2) foram desenvolvidos para superar o desafio de pequenos espaços desdentados.

Um implante de corpo único não tem interface entre o corpo do implante e pilar protético, e, por conseguinte, a perda óssea crestal inicial e ao longo do tempo pode ser reduzida. 5,6
Como o implante perde pouco osso proximal quando posicionado na altura da crista óssea, o implante pode ser colocado tão próximo quanto 1 mm a raiz do dente adjacente.2 Portanto, o espaço mesio-distal um implante de 3,0mm de diâmetro, por exemplo, pode ser tão pequeno como 5,0mm. As principais indicações para os implantes dessas dimensões são:
• Para espaço limítrofes com pouquíssima quantidade óssea.
• Para os incisivos laterais superiores e
• Para incisivos centrais e laterais inferiores.
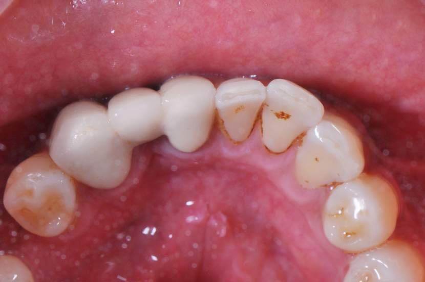
Os implantes Slim Pilar, apresentam alta versatilidade protética possibilitando aplicação de coroas Cimentadas ou Parafusadas (Fig. 3). O Sistema protético é simplificado, utilizando o mesmo sistema aplicado em implantes Implacil Cone Morse para transferentes, coifas e análogos. E a aplicação é tanto para elementos Unitários como para Múltiplos.

TÉCNICA CIRÚRGICA
O procedimento cirúrgico para os implantes Slim segue um protocolo semelhante como outros implantes, porém muito simplificado. Normalmente utilizase a técnica anestésica infiltrativa. Um retalho mucoperiosteal deve ser rebatido para uma observação direta do rebordo ósseo disponível. No entanto, quando o tecido queratinizado e o volume ósseo abundantes estiverem presentes, uma cirurgia flapless é muitas vezes o protocolo cirúrgico de escolha.2
Para instalação de implantes de Ø 2.5mm é necessário apenas a utilização da fresa lança diâmetro de 2.0 mm. E para instalação de implantes de 3.0 mm utilização da fresa lança diâmetro de 2.0 mm e opcionalmente a fresa Countersink Slim 3.0mm (em casos de osso tipo I ou tipo II). O implante tem o ápice cortante e espiras que facilitam sua instalação. Os implantes Slim se apresentam de 1 em 1 mm de comprimento de 7 a 13 mm, o que facilita muito a escolha dos tamanhos no momento do planejamento.
LIMITAÇÕES
Implantes com diâmetros menores têm várias limitações, incluindo menos área de superfície e menor resistência à fadiga. Implantes de menor diâmetro tem uma menor área de superfície de contato osso-implante, e isso poderia reduzir a sobrevivência a longo prazo do dispositivo. A área da superfície de um implante é relacionada com a quantidade de força que o implante é capaz de resistir ao servir como um pilar protético. As raízes de dentes naturais posteriores têm uma maior área de superfície do que os dentes anteriores, e as forças são maiores nos dentes posteriores. Do mesmo modo, um implante com maior área de superfície é menos provável de ser sobrecarregado durante função.6 Uma diminuição de 1 mm de largura de um implante pode diminuir a área da superfície de um implante por mais de 40%.7
Assim, um implante de 3 mm de diâmetro pode ter cerca de um terço menos área de superfície de contato com o osso, em comparação com um implante de 4mm de diâmetro. A resistência à fadiga de um implante é afetada pelo diâmetro, o material de implante e a quantidade de força aplicada ao sistema.8
A fratura de um implante também está diretamente relacionada com a quantidade de força colocada sobre o componente ou corpo do implante. As forças máximas de mordida na boca são menores na região anterior (1,75 a 3,51Kg/cm2) em comparação com as regiões molares (14,06 a 17,57Kg/cm2).11 Portanto, os implantes de menor diâmetro devem ser limitados às regiões anteriores do boca para reduzir a ocorrência de fraturas.
O implante de corpo único de diâmetro pequeno tem várias vantagens quando utilizado para substituir incisivos laterais superiores e incisivos inferiores. O design de uma peça, elimina o risco de afrouxamento do parafuso do pilar. Uma vez que não há micrograp entre o pilar e implante, e a quantidade de perda de óssea crestal pode também ser reduzida.6
A principal desvantagem de um implante de corpo único de pequeno diâmetro é o requisito da restauração imediata. Uma vez que o pilar do implante fica intra-oral no momento da colocação cirúrgica (o corpo do implante e o pilar é um único componente), aumentando o risco de sobrecarga durante a cicatrização óssea inicial. Hábitos orais ou atividades, tais como goma de mascar, interposição lingual, e tocar alguns instrumentos musicais pode sobrecarregar a interface em desenvolvimento.
Em algumas situações os implantes de tamanhos tradicionais de 3,5mm são largos para substituir um dente na região anterior dos maxilares. Por outro lado, implantes temporários de 2,0mm de diâmetro aumentam o risco de fratura.

CASO CLÍNICO


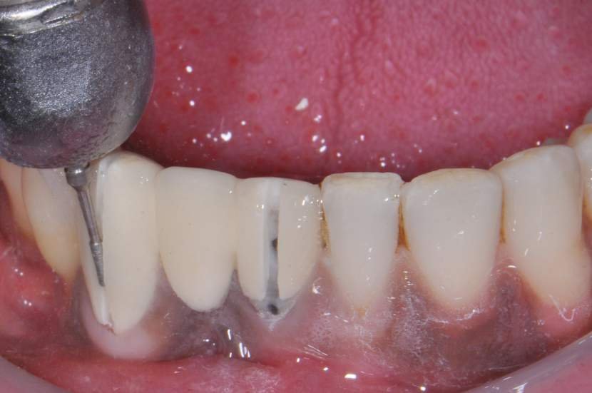
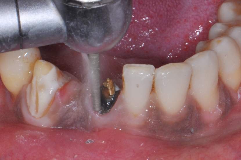
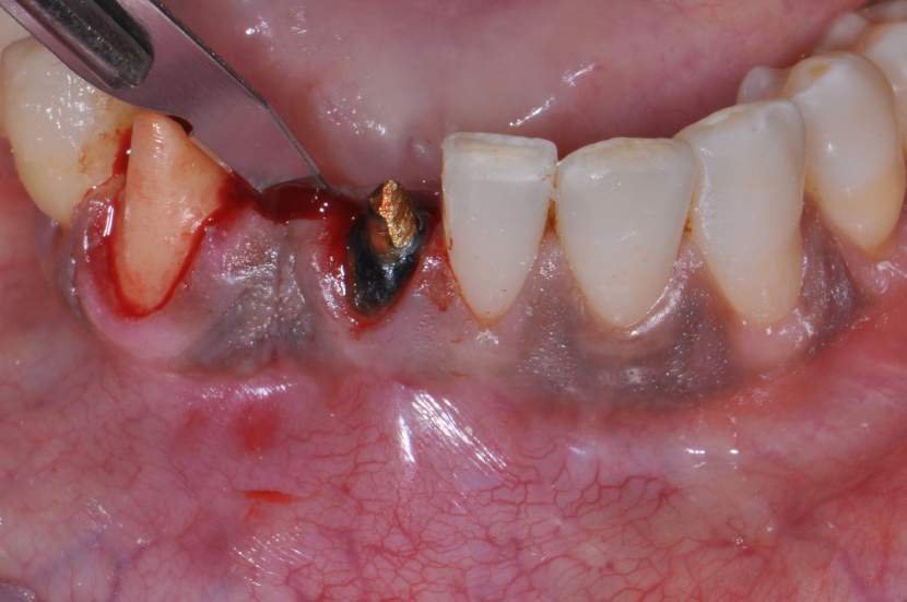
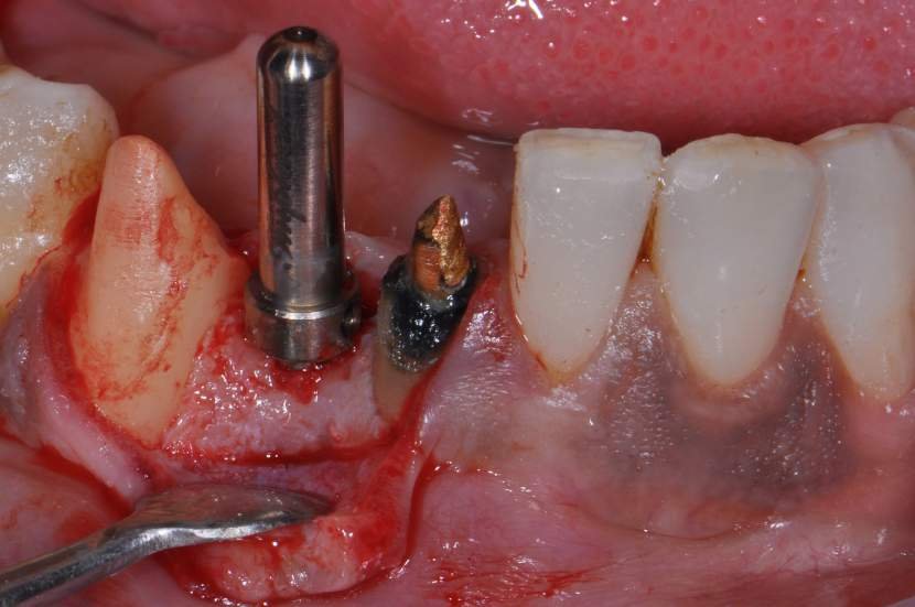
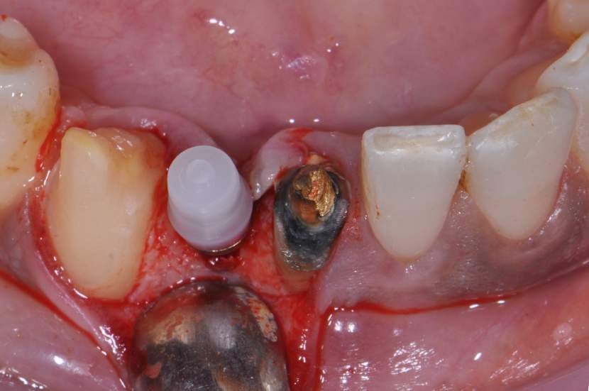
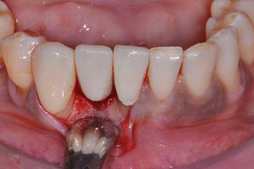
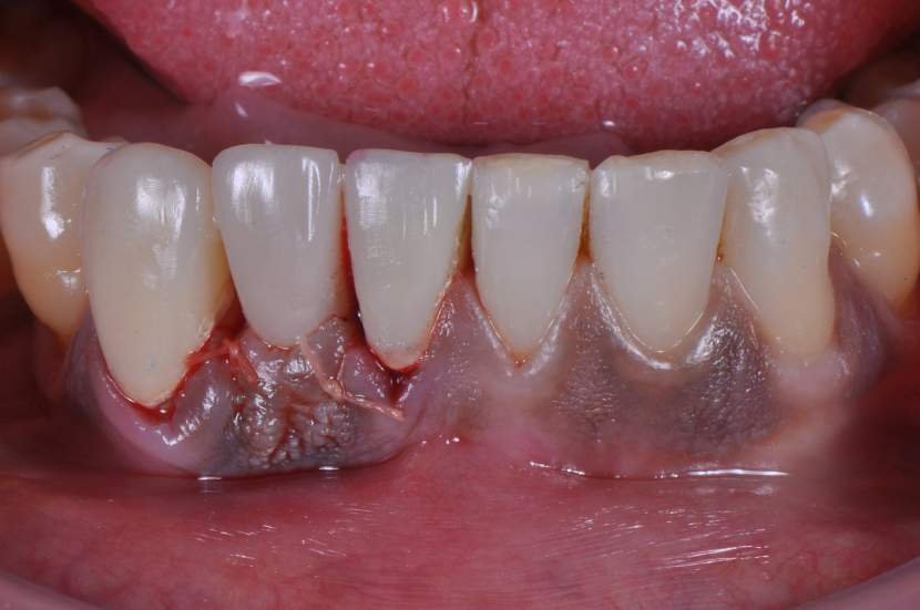
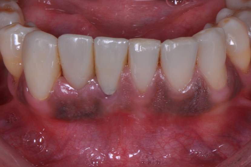
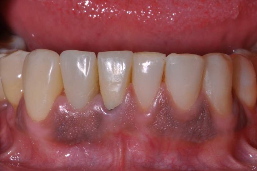
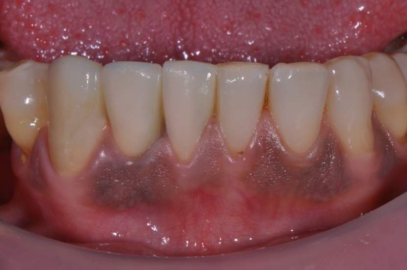
Paciente com perda do incisivo central inferior do lado direito, utilizando uma prótese fixa em zircônia com estética e adaptação deficientes.




















Referências Bibliográficas:
1.Graber JM. Anomalies in number of teeth. In Orthodontics Principles and Practice editor TM Graber, 2nd edition, WS Saunders, Philadelphia, 1966.
2.Misch CE, ed. Single Tooth Implants: Contemporary Implant Dentistry, 2nd ed. St Louis, MO: Mosby; 397-428, 1999.
3.Wheeler RC. A textbook of dental anatomy and physiology, ed 4, 185-283, Philadelphia, Lea & Febiger, 1965.
4.Tarnow DP, Eskow RM. Preservation of implant esthetics, soft tissue and restorative consideration. J Esthet Dent 8(1):12-19, 1996.
5.Wallace SS. Significance of the biologic width with respect to root form implants. Dent Impl Update 5(6) 20-29, 1999.
6.Misch CE. Early crestal bone loss etiology and its effect on treatment planning for implants. Post grad Dent 2 (3):3-17, 1995.
7.Misch CE. Divisions of available bone in implant dentistry. Int J Oral Implant 7(1):9-17, 1990.
8.Bidez MW, Misch CE. Clinical biomechanics in implant Dentistry. In Contemporary Implant Dentistry, CE Misch (ed) 303-316, Mosby St. Louis MI, 1999.
9.Brown SA, Lemons JE. Medical applications of titanium and its alloys, ASTM STP 1272, 103, Philadelphia, 1996.
10.Lemons JE, Dietsh-Misch F. Biomaterials for Dental Implant. In Contemporary Implant Dentistry, CE Misch editor CV Mosby, St. Louis, 271- 302, 1999.
11.Helkimo E, Carlsson GE, Helkimo M, Bite force and state of dentition. Acta Odentol Sand 35:297-303, 1977.
12.Misch CE, Wang H-L. Small diameter implants. A Prospective 2 year preliminary report. Implant Dentistry. (Submitted for publication).




