Conversar com implantodontistas da velha guarda, da época dos implantes convencionais, é uma oportunidade rara nos dias atuais. E foi conversando com um destes precursores da Implantodontia no Brasil, o Dr. Nilton De Bortoli, que tive a oportunidade de aprender muito sobre um dos mais famosos implantes convencionais que já apareceram: os implantes subperiósteos ou justaósseos, como alguns costumam falar. No auge dos seus 87 anos, o Dr. Nilton me explicou tudo sobre este tipo de implante, mostrando um caso de 40 anos de acompanhamento que hoje está aos cuidados do Dr. Sérgio Jayme, grande amigo e um dos maiores especialistas em Implantodontia do Brasil.
Os implantes subperiósteos, também chamados de justaósseos eram implantes de superfície. Ou seja, não penetravam na intimidade do tecido ósseo, mantendo uma relação de contato com o osso por justaposição. Foram desenvolvidos, preliminarmente, pelo sueco Gustav Dahl em 1943, em que uma estrutura metálica de cromo-cobalto-molibidênio era fabricada sobre um modelo de gesso previamente obtido do osso exposto do paciente durante a cirurgia.
O processo era demorado e exigia muita organização de toda a equipe. Isso acontece porque, depois do retalho aberto e devidamente descolado, uma moldagem de alginato do osso era executada. E, do modelo resultante desta moldagem, seria executada a estrutura metálica do implante. Durante esta confecção em laboratório, o paciente ficava esperando no centro cirúrgico algumas horas até que o implante estive pronto e devidamente esterilizado para colocação na boca. As figuras 1 a 8 ilustram um caso da década de 1970 realizado pelo Dr. Nilton De Bortoli.


Figuras 1 e 2 – Moldagem de alginato tomada com o retalho aberto e os implantes instalados na mandíbula.
Colocado em boca, a sutura era realizada e uma nova moldagem era feita, agora da parte protética do implante, para finalmente ser confeccionada a prótese que seria cimentada sobre os implantes em carga imediata. Tudo isso feito no mesmo dia, ou em dois ou três dias a mais. Muito parecido – guardada as devidas proporções – com os procedimentos de carga imediata ou cirurgia guiada que realizamos hoje em dia.


Figuras 3 e 4 – Infraestrutura metálica pronta e radiografia final do caso concluído.
Obviamente que os insucessos deste tipo de implantes aconteciam com mais frequência, mas era o que se tinha na época. Os conhecimentos de oclusão e prótese também não eram tão evoluídos como são hoje em dia, e muitas das falhas eram oriundas da parte protética. Alterações bruscas na dimensão vertical e pacientes com parafunção (bruxismo) certamente contribuíram fortemente nos fracassos, talvez muito mais do que problemas oriundos da etapa cirúrgica propriamente dita. Mesmo assim, muitos casos davam certo e permaneceram em boca durante décadas. Abaixo o caso relatado pelo Dr. Sérgio Jayme e com 40 anos de acompanhamento.


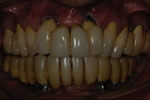
Figuras 5 e 6 – Aspecto clínico e radiográfico de reabilitação com implantes osseointegrados superiores e subperiósteos (justaósseos) inferiores. Estes com 30 anos de função.


Figuras 7 e 8 – Controle clínico e radiográfico de 10 anos da nova reabilitação implantossuportada realizada pelo Dr. Sérgio Jayme, usando os mesmos implantes justaósseos inferiores realizados pelo Dr. Nilton De Bortoli, 40 anos antes.
Infelizmente, a maioria da velha guarda da Implantodontia de raiz já se foi e com eles perdeu-se uma grande oportunidade de aprendizado. A roda da vida vai girando, o tempo não para e o mundo se renova. Não sabemos se esta renovação é para melhor ou pior. Os mais jovens afirmam com muita convicção que é para o melhor. Os mais velhos, por sua vez, não têm tanta certeza disso. Porém, uma coisa é certa: os ensinamentos do passado não devem nunca ser desprezados, pois a história costuma se repetir.




