Formação de aspergiloma no seio maxilar após tratamento com implantes zigomáticos
Aspergilloma formation in the maxillary sinus after treatment with zygomatic implants
Dr. Sérgio Jayme e colaboradores
Resumo
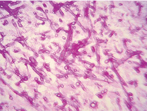
Aspergiloma é uma formação fúngica que ocorre em cavidades do sistema respiratório e pode estar associado a tratamentos odontológicos. Paciente do sexo feminino apresentou sinusite crônica persistente não responsiva a farmacoterapia após fixação de quatro implantes zigomáticos.
Após exame de tomografia computadorizada verificou-se possível comunicação bucossinusal mantida por um dos implantes e imagem sugestiva de aspergiloma.
O presente artigo demonstra os passos para remoção dos implantes infectados e do aspergiloma. Também é apresentada uma discussão sobre as características dos aspergilomas de seio maxilar e os fatores que predispõem a sua formação em tratamentos odontológicos, especialmente com implantes zigomáticos.
Unitermos – Implantes dentários; Aspergilose; Seio maxilar; Sinusite maxilar.
ImplantNews 2013;10(3):347-52









