Por Diego Klee e Rodrigo Baumgardt Barbosa Lima
A instalação de implantes osseointegrados é uma prática comum e desafiadora na clínica diária. Os critérios de sucesso, por parte do operador e do paciente, estão cada vez mais voltados para quesitos estéticos, além de funcionais. Assim, observa-se uma busca por técnicas e abordagens que viabilizem o exato posicionamento tridimensional do implante, o que determinará nítidas vantagens, dentre as quais destacam-se: estética favorável, estabilidade dos tecidos duros e moles, higiene apropriada, oclusão e direcionamento adequado de forças ao implante.
O posicionamento ideal contribui para o sucesso dos implantes dentários a longo prazo. Devido a inúmeros requisitos, como posicionamento horizontal e vertical, distância entre dentes e implantes, e angulação pretendida, o planejamento virtual tornou-se uma ferramenta importante para o tratamento. Sua transição para a clínica é viabilizada pela cirurgia guiada que, na Implantodontia, compreende dois protocolos distintos: estático e dinâmico.
O guia cirúrgico estático, confeccionado e planejado virtualmente com base no escaneamento intraoral e na tomografia computadorizada, não permite alteração transoperatória do posicionamento do implante. O sistema dinâmico, por sua vez, emprega a navegação cirúrgica a partir de dados tomográficos, reproduzindo a posição virtual do implante, mediante tecnologia de rastreamento de movimento, em tempo real. Este último permite alterações transoperatórias de fresagem óssea e posição do implante.
Os guias mais empregados na Implantodontia são os estáticos. Realiza-se o escaneamento intraoral ou dos modelos de gesso do paciente (arquivo STL), bem como a tomografia computadorizada da região de interesse (arquivo DICOM). Em uma central de planejamento, empregando-se softwares apropriados, a fusão dos arquivos é realizada combinando pontos correspondentes da superfície escaneada (STL) com a imagem gerada pela tomografia (DICOM). O planejamento virtual com o melhor posicionamento tridimensional dos implantes é realizado. Em seguida, desenha-se o guia cirúrgico que será enviado para produção por meio de fresagem ou impressão 3D.
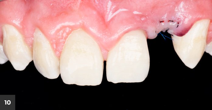
A colocação de implantes empregando a técnica guiada não incorre, necessariamente, em uma cirurgia livre de incisões, retalhos e suturas. Muitas vezes, este procedimento poderá ser utilizado em campo aberto para situações críticas, visando maior precisão de posicionamento tridimensional do implante em menor tempo cirúrgico, com previsibilidade e exatidão no planejamento. Nos casos em que for possível o trânsito cirúrgico em campo fechado (flapless), além das vantagens supracitadas, ainda teremos a bonificação da redução do sangramento, preservação tecidual ao redor do implante e maior conforto durante e após a cirurgia, com a rápida recuperação do paciente.
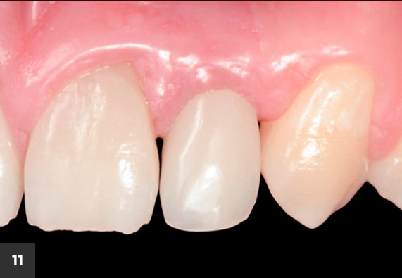
Na cirurgia guiada, todo o procedimento é preparado considerando a posição da futura prótese. Dessa forma, os implantes são perfeitamente posicionados e o resultado protético será extraordinário.










da etapa cirúrgica.

* Este artigo foi publicado na revista ImplantNews em 2021.





