Autores
Daniel Afonso Hiramatsu
Mestre em Reabilitação Oral pela Universidade de São Paulo e coordenador da Especialização em Prótese Dentária da Faculdade São Leopoldo Mandic.
Emily Vivianne Freitas da Silva
Doutora em Prótese Dentária pela Universidade Estadual Paulista e professora da Especialização em Prótese Dentária da Faculdade São Leopoldo Mandic.
Reabilitações protéticas implantossuportadas fixas em pacientes com exposição gengival excessiva são desafiadoras, especialmente quando associadas à irregularidade no nível ósseo alveolar (Bidra et al., 2012). Adicionalmente, os pacientes geralmente possuem alta expectativa quanto ao resultado final, sendo fundamental uma adequada interação da equipe odontológica e um planejamento criterioso do caso (Handelsman, 2006).
Durante o planejamento do caso, o profissional deve estar atendo a uma análise sequencial de cinco níveis de estética: facial, orofacial, oral, dento gengival e dental. Portanto, inicialmente, uma análise extra oral deve avaliar a estética da face, relacionamento maxilo-mandibular, posicionamento dos lábios e linha média dentária. Posteriormente, o profissional deve partir para uma avaliação intraoral, considerando a relação entre gengiva e dentes, cor e formato dos dentes, dentre outros (Ahmed et al., 2021).
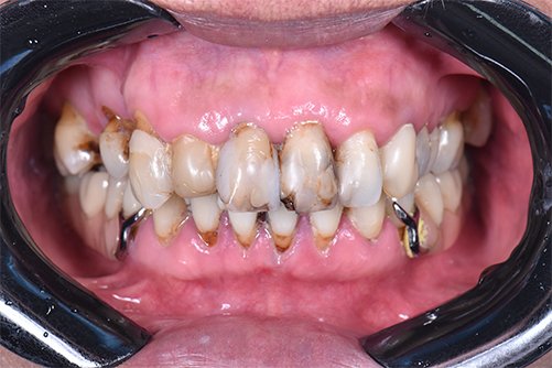
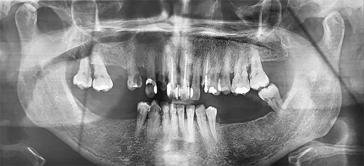
No caso clínico relatado a seguir, é apresentada a reabilitação de uma paciente do gênero feminino, de 45 anos, com o desejo de melhorar o aspecto do seu sorriso. Durante o exame clínico inicial, foi verificada a presença de exposição gengival maxilar excessiva durante o sorriso espontâneo, associada à desalinhamento dentário e presença de restaurações extensas e insatisfatórias nos dentes anterossuperiores (Figuras 1 e 2), além de mobilidade dos dentes 15 ao 25. Ao exame radiográfico, foi observada extensa perda óssea periodontal, além de lesões de cárie/perda de estrutura coronária nos dentes 13 a 23, 15, 24 e 25 (Figura 3), sendo indicada a exodontia desses elementos, seguida da instalação de implantes osseointegráveis.



Após o planejamento integrado cirúrgico-protético do caso, foram realizadas exodontias dos elementos 13 a 23, 15, 24 e 25, sendo imediatamente instalados seis implantes Implacil Due Cone com 11 mm de comprimento e 3.5 mm de diâmetro (Implacil De Bortoli), com precisão no posicionamento tridimensional do implante. Visando o condicionamento gengival e a formação de um perfil de emergência adequado, após a instalação de mini pilares Implacil com cinta de 4.5 mm, foi instalada uma prótese fixa provisória imediata (Figura 4). Após dois meses, uma radiografia panorâmica foi realizada para verificar a osseointegração dos implantes (Figura 5), visando o início da reabilitação protética definitiva.


Para a reabilitação protética definitiva, após a remoção da prótese provisória (Figura 6), foi realizado o escaneamento do rebordo maxilar e da posição dos implantes utilizando o scanner 3Shape (3Shape). Após o posicionamento dos scan bodies da 3Shape, foi realizado o escaneamento do rebordo. Em seguida, procedeu-se o escaneamento do arco maxilar com a prótese provisória em posição e do arco antagonista com a prótese parcial removível da paciente em posição (Figura 7).


Após o escaneamento do rebordo e planejamento virtual do caso, foi realizada a fresagem de uma infraestrutura metálica da prótese fixa e prova visando avaliar o assentamento passivo da mesma (Figura 8). Então, foi realizado o registro de mordida com resina acrílica de baixa contração (Duralay) (Figura 9).


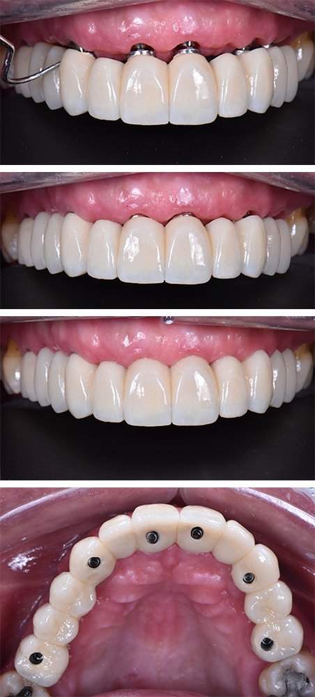
A aplicação da porcelana foi realizada e a prótese instalada. A Figura 10 ilustra o aspecto final da prótese. A Figura 11 apresenta o aspecto clínico final.


Diante de uma condição desafiadora de exposição gengival excessiva, foi possível restabelecer a estética e a função de forma satisfatória com uma reabilitação implantossuportada, visando devolver a autoestima e conforto social para a paciente. Após o acompanhamento de seis meses, a paciente relata estar satisfeita com a reabilitação e com o resultado alcançado.
REFERÊNCIAS
Ahmed WM, Alalola B, Alsaloum M, Verhaeghe T, Andrew J, Abdallah MN. 3D Prosthodontic Treatment Planning for Orthodontic Patients: Interdisciplinary Approach. In: Retrouvey JM., Abdallah MN. (eds) 3D Diagnosis and Treatment Planning in Orthodontics.
Springer, Cham. 2021. doi: 10.1007/978-3-030-57223-5_13.
Bidra AS, Agar JR, Parel SM. Management of patients with excessive gingival display for maxillary complete arch fixed implant-supported prostheses. J Prosthet Dent; 2012;108(5):324-31. doi: 10.1016/S0022-3913(12)60186-3.
Handelsman M. Surgical guidelines for dental implant placement. Br Dent J; 2006;201(3):139-52. doi: 10.1038/sj.bdj.4813947.





