Por Madalena L. P. Dias Engler e Marco Aurélio Bianchini
Com a evolução das técnicas e materiais em Implantodontia, os desafios da especialidade também evoluíram. Nos primórdios das reabilitações com implantes, a grande preocupação era alcançar a osseointegração para, posteriormente, reabilitar com uma prótese que devolvesse – especialmente – a função e saúde comprometidas pela perda dentária. Estética era algo secundário, dadas as limitações de cada caso. Todavia, hoje já não se pode pensar em uma reabilitação com implantes e desconsiderar a estética. Foi já em 2015, quando ingressei no mestrado em Implantodontia do Programa de Pós-Graduação em Odontologia da UFSC, no Centro de Ensino e Pesquisa em Implantes Dentários (CEPID), que os professores nos ensinaram que não poderíamos buscar menos do que a tríade saúde, função e estética em nossas reabilitações. Os pacientes não desejam mais apenas “repor” um dente perdido, mas sim, obter estética igual ou superior à situação em que se encontravam antes.
Partindo deste princípio, um dos casos mais desafiadores que podem cruzar nosso caminho é a perda de um incisivo central. E este pode se tornar mais desafiador ainda quando o paciente possui uma linha de sorriso alta, mostrando gengiva ao sorrir. É fundamental que o implantodontista tenha conhecimentos de prótese ou seja guiado por um planejamento protético do protesista que irá reabilitar o caso, pois o primeiro fator crucial para alcançar sucesso será o correto posicionamento tridimensional do implante. Ele deverá ser instalado de forma que a emergência do parafuso protético se localize na face palatal da futura coroa (mais ou menos na altura do cíngulo), quando a opção for de uma prótese parafusada; e quando for planejado uma prótese cimentada, a emergência do componente protético deverá coincidir com a borda incisal dos dentes vizinhos. O segundo fator a ser respeitado é o preenchimento do GAP, pois quando respeitada a posição correta de instalação do implante, este ficará travado na parede palatal do alvéolo, gerando um espaço (GAP) entre o implante e o osso, que deve ser preenchido com biomaterial para que haja um processo de regeneração óssea guiada nesta área. Por fim, deve-se também ter cuidado na manipulação dos tecidos moles (gengiva), promovendo o mínimo de descolamento possível do periósteo e a preservação de papilas, além de, se possível, adicionar um enxerto de tecido mole (conjuntivo ou substituto xenógeno) para promover ganho de volume de tecido gengival (mudança de fenótipo quando for fino) e proteção do tecido ósseo peri-implantar.
No presente caso, nossa paciente apresentou fratura (Figura 1) da raiz do elemento 11 (incisivo central superior direito), que já era reabilitado com pino intrarradicular (fibra de vidro + núcleo em resina) e coroa protética em cerâmica (dissilicato de lítio). Foi realizada exodontia minimamente traumática (Figuras 2 e 3), com manutenção das paredes ósseas e sem descolamento do tecido gengival ou abertura de retalho. Um implante Maestro (3.5 X 13 mm) foi instalado em posição tridimensional adequada e guiada pelo planejamento protético, no qual optamos por uma coroa parafusada (Figura 4). A profundidade de instalação foi conforme preconizada para um implante CM, e em seguida, um medidor de profundidade foi utilizado para selecionar o transmucoso do componente protético. Foi selecionado um pilar Ideale (3.3 X 4 mm) com transmucoso de 2.5 mm, favorecendo a adaptação dos tecidos moles e estabelecimento das distâncias biológicas peri-implantares (Figura 5).
O GAP foi preenchido com biomaterial Extra Graft, que foi facilmente condensado para dentro do alvéolo, no espaço entre o implante e a parede vestibular (Figura 6). Uma membrana de colágeno foi posicionada sobre o biomaterial, para protegê-lo na execução dos procedimentos protéticos (Figura 7).
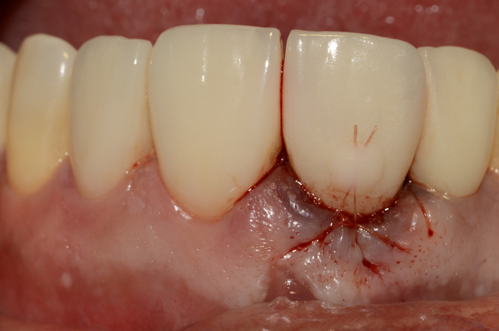
Como foi alcançado alto torque de inserção e travamento do implante (50 Ncm), foi realizada a carga imediata utilizando a própria coroa protética do elemento extraído (Figura 8), favorecendo o resultado estético e a manutenção do perfil de emergência peri-implantar. Uma sutura suspensória foi executada com o intuito de tracionar os tecidos moles em direção à coroa e prevenir recessão gengival (Figura 9).
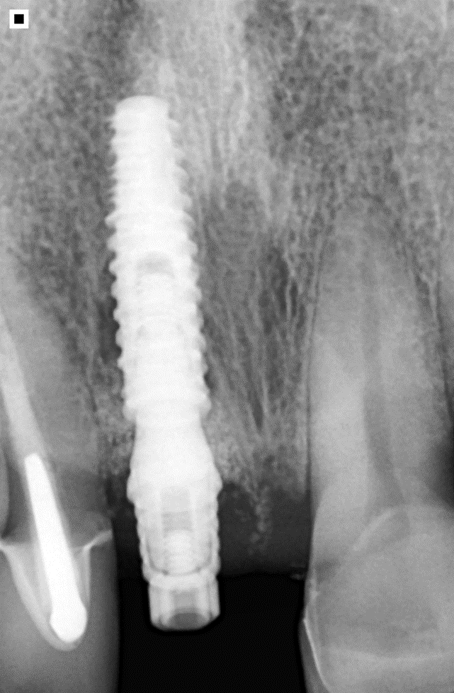
Após dez dias da realização do procedimento cirúrgico, a paciente retornou para a consulta de pós-operatório, onde a sutura foi removida. Nesta consulta, foi possível constatar o sucesso do tratamento até aqui, pois foi observada saúde peri-implantar e estética extremamente favorável (Figura 10). A Figura 11 apresenta a radiografia final do implante. Contudo, o dente foi deixado fora de função para proteção do implante no período de osseointegração (45-60 dias, no caso do implante Maestro), por isso, só poderemos afirmar que alcançamos sucesso após esse período, onde a coroa definitiva será colocada em função mastigatória. Seguiremos buscando alcançar a tríade saúde, função e estética.
















