Por Ulisses Dayube
1 – Introdução
A Odontologia Digital está ganhando popularidade atualmente e suas diferentes aplicações na Implantodontia se traduzem no chamado fluxo de trabalho digital1-12.
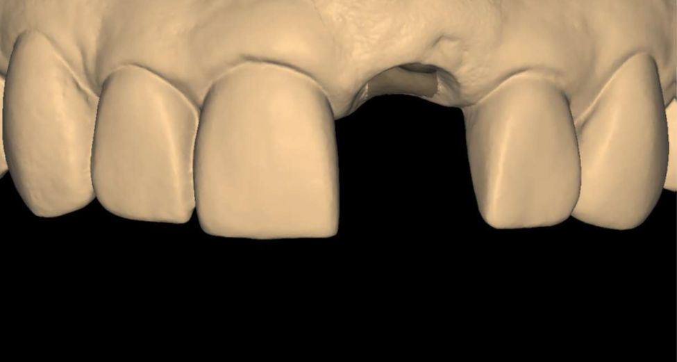
Antes que o fluxo de trabalho restaurativo possa ser realizado após a colocação dos implantes para restaurar dentes ausentes, principalmente na zona estética, a etapa mais crítica antes da reabilitação definitiva é a provisionalização do implante13-16.
A importância da prótese provisória como referência para a reabilitação definitiva tem sido demonstrada tanto na prótese convencional fixa quanto na sobre implantes13-16.
É a prótese provisória sobre implantes que faz a definição do perfil de emergência peri-implantar, ajuda no condicionamento dos tecidos moles dos tecidos peri-implantares e na transferência da arquitetura da mucosa para a restauração definitiva13-15.
Várias técnicas de moldagem foram descritas para capturar o perfil peri-implantar após seu condicionamento com a prótese provisória, especialmente em relação à zona estética17-20.
A introdução do escaneamento digital na Implantodontia forneceu ferramentas adicionais para o arsenal de moldagem3,4,7-10.
Moldagens digitais com scanners intraorais estão se tornando cada vez mais prevalentes, e pesquisas pré-clínicas e clínicas estão validando sua aplicação na prática clínica para pacientes com edentulismo parcial7-12,21-24.
O escaneamento digital dos corpos de escaneamento do implante e da prótese provisória aparafusada gera arquivos 3D que podem ser de Linguagem de Tesselação Padrão (STL), por exemplo, e a sobreposição e o registro de dados são necessários.
A presença de dentes como pontos de referência torna a sobreposição de dados STL mais previsível do que com mandíbulas totalmente edêntulas que têm ausência de pontos de referência8,24,25.
Uma limitação da moldagem digital refere-se à dificuldade em capturar o perfil de emergência real, o que pode ser um desafio porque o corpo do escaneamento é redondo e não pode ser personalizado como um transferente de moldagem tradicional.

2 – Técnica de escaneamento
A “moldagem” digital (técnica escaneamento 3D) é semelhante à moldagem analógica porque ostecidos moles peri-implantares e o perfil de emergência são escaneados imediatamente após a remoção da restauração provisória ou pilar de cicatrização personalizado. Embora a arquitetura dos tecidos moles possa ser capturada por escaneamentos digitais, o tempo é um fator importante porque a gengiva ao redor dos implantes mostrou mudar dentro dos primeiros 20 a 40 segundos após a remoção do pilar de cicatrização26.
Para pacientes que requerem mais tempo de escaneamento ou quando há necessidade de precisão da varredura de tecidos moles, propusemos uma sequência para capturar o perfil de emergência adquirido usando um método digital diferente.


Varredura tripla de implante
Um dos maiores desafios ao digitalizar implantes é capturar todos os dados necessários, incluindo o perfil de emergência, e enviar com eficiência o conjunto de dados para o laboratório de prótese dentária.
Com o fluxo de trabalho de implante de digitalização tripla, você pode digitalizar a prótese provisória, o perfil de emergência dos implantes e, em seguida, o corpo de digitalização e combinar todas as três digitalizações em oclusão e enviar para o laboratório de sua preferência de uma só vez.

1- Digitalização normal – escaneamento da coroa provisória + antagonista + registro interoclusal (Obrigatória);
2- Digitalização do perfil de emergência – escaneamento do perfil de emergência sem a coroa provisória (Opcional);
3- Digitalização do corpo de digitalização – escaneamento do Transfer Digital;
4- Correspondência de implante – alinhe todas as digitalizações em oclusão com a digitalização normal. Utilize a Correspondência baseada em pontos para ajustar o alinhamento.
As digitalizações existentes podem ser copiadas para otimizar a eficiência da digitalização e ajudar no conforto do paciente durante a digitalização.


As digitalizações existentes podem ser copiadas para otimizar a eficiência da digitalização e ajudar no conforto do paciente durante a digitalização.


O “Implant Matching” permite que as varreduras triplas do implante sejam automaticamente combinadas em oclusão.

Clique 
Clique 
A correspondência baseada em pontos permite o ajuste da correspondência do implante selecionando três pontos correspondentes em cada digitalização.

Liu et al27 e Crockett et al28 descreveram uma sequência para escanear o perfil de emergência, fazendo também um escaneamento triplo. Porém, sem fazer o escaneamento do perfil de emergência após a remoção da coroa provisória e escaneando o perfil de emergência na coroa provisória fora da boca.

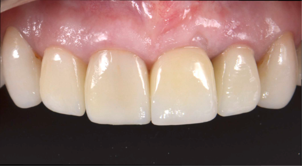
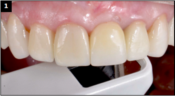
Após o condicionamento e maturação dos tecidos moles, podemos avançar para a coroa definitiva. A coroa provisória implantossuportada deve ser considerada adequada em termos de estética branca e rosa, função e fonética.

1- Antes de remover a coroa provisória ou o cicatrizador personalizado do implante, faça um escaneamento da arcada completa – escaneamento 1, usando um scanner intraoral. Este escaneamento será a referência para o alinhamento com os outros escaneamentos.

2- Remova a restauração provisória do implante e conecte o transferente digital ao implante. Realize um segundo escaneamento intraoral – escaneamento 2, capturando dois ou mais dentes adjacentes em cada lado.

3- Prenda um análogo, que atua como suporte, à coroa provisória. Escaneie toda a restauração provisória usando o scanner intraoral – escaneamento 3.
Para escanear a coroa provisória, primeiramente parafuse a coroa provisória em um análogo. Assim, conseguimos ter uma pega melhor para realizar a digitalização. Depois, é só fazer uma nova digitalização, clicando no ícone 


3 – Laboratório (Crockett et al28)
1- Usando um programa de software CAD odontológico (Exocad GmbH), importe e alinhe o arquivo contendo o escaneamento do arco completo com a coroa provisória – escaneamento 1 (Figura 13) para o arquivo de arco completo como transferente digital – escaneamento 2 (Figura 14), selecionando de três pontos de referência, seguido pelo melhor ajuste de função de alinhamento (Figura 16).
2- Alinhe o arquivo da coroa provisória – escaneamento 3 (Figura 15) ao arquivo arco completo (escaneamento 1), da mesma forma que a Figura 12. Exporte os três escaneamentos no mesmo sistema de coordenadas 3D para preservar suas posições alinhadas.
3- Usando o Meshmixer, inicie um novo projeto, importe e anexe os escaneamentos 2 e 3. Ignore qualquer alerta tentando mudar as posições dos escaneamentos.
4- Opcional: transforme os escaneamentos em sólidos selecionando cada escaneamento individualmente e escolhendo o comando “Make Solid” no menu “Edit”. Para preservar a precisão das digitalizações, “Solid Type” precisa ser alterado para “Accurate”. Também devem ser maximizadas “Solid Accuracy” e “Mesh Density’. Ao transformar as digitalizações em objetos sólidos, a probabilidade de erros é reduzida na próxima operação.
5- Execute a função “Boolean Difference”, realçando escaneamento 2, seguida pelo escaneamento 3 e selecionando “Boolean Difference”. Este comando para arquivos compartilhando duas ou mais superfícies, deixa para trás o objeto que foi selecionado primeiro. Neste cenário, o escaneamento 3 é subtraído do escaneamento 2, e como resultado, o negativo do contorno da restauração provisória é deixado para trás (Figura 13). Essa varredura modificada pode ser salva e exportada como arquivo “A”.
6- O escaneamento 1 pode ser importado para um software CAD odontológico de sua escolha, como pré-escaneamento de referência; o escaneamento 2 pode ser importado como escaneamento do transferente digital para gerar a posição do implante, e o arquivo “A” pode ser importado como o escaneamento do perfil de emergência para comunicar a arquitetura dos tecidos moles peri-implantares.






4- Conclusão
Esta técnica de escaneamento digital pode ser mais precisa (Figuras 19, 20 e 21) do que realizar o escaneamento de tecido mole imediatamente após a remoção da restauração provisória, pode ser menos demorada do que a moldagem convencional e apresenta ótimos resultados clínicos (Figura 22). A função “Boolean Difference”, que está indisponível na maioria dos softwares CAD odontológicos, pode ser facilmente executada com um software livre.




Assista ao vídeo para conferir mais detalhes de todo o procedimento.
REFERÊNCIAS
1- Chochlidakis KM, Papaspyridakos P, Geminiani A, et al. Digital versus conventional impressions for fixed prosthodontics: a systematic review and meta-analysis. JProsthet Dent. 2016;116(2):184-190.
2- Joda T, Ferrari M, Gallucci GO, et al. Digital technology in fixed implant prosthodontics. Periodontol 2000. 2017;73(1):178-192.
3- Joda T, Bragger U, Zitzmann NU. CAD/CAM implant crowns in a digital workflow: five-year follow-up of a prospective clinical trial. Clin Implant Dent Relat Res. 2019;21(1):169-174.
4- Joda T, Bragger U. Time-efficiency analysis of the treatment with monolithic implant crowns in a digital workflow: a randomized controlled trial. Clin Oral Implants Res. 2016;27(11):1401-1406.
5- Wöhrle PS. Predictably replacing maxillary incisors with implants using 3-D planning and guided implant surgery. Compend Contin Educ Dent. 2014;35(10):758-768.
6- Papaspyridakos P, Chochlidakis K, Kang K, et al. Digital workflow for implant rehabilitation with double full-arch monolithic zircônia prostheses. J Prosthodont. 2020;29(6):460-465.
7- Basaki K, Alkumru H, De Souza G, Finer Y. Accuracy of digital vs conventional implant impression approach: a three-dimensional comparative in vitro analysis. Int J Oral Maxillofac Implants. 2017;32(4):792-799.
8- Monaco C, Evangelisti E, Scotti R, et al. A fully digital approach to replicate peri-implant soft tissue contours and emergence profile in the esthetic zone. Clin Oral Implants Res. 2016;27(12):1511-1514.
9- Marghalani A, Weber HP, Finkelman M, et al. Digital versus conventional implant impressions for partially edentulous arches: na evaluation of accuracy. J Prosthet Dent. 2018;119(4):574-579.
10- Alshawaf B, Weber HP, Finkelman M, et al. Accuracy of printed casts generated from digital implant impressions versus stone casts from conventional implant impressions: a comparative in vitro study. Clin Oral Implants Res. 2018;29(8):835-842.
11- Jiang X, Lin Y, Cui HY, Di P. Immediate loading of multiple splinted implants via complete digital workflow: a pilot clinical study wi th 1-year fol low-up. Cl in Implant Dent Relat Res. 2019;21(3):446-453.
12- Sailer I, Mühlemann S, Fehmer V, et al. Randomized controlled clinical trial of digital and conventional workflows for the fabrication of zirconia-ceramic fixed partial dentures. Part I: Time efficiency of complete-arch digital scans versus conventional impressions. J Prosthet Dent. 2019;121(1):69-75.
13- Wittneben JG, Buser D, Belser UC, Brägger U. Peri-implant soft tissue conditioning with provisional restorations in the esthetic zone: the dynamic compression technique. Int J Periodontics Restorative Dent. 2013;33(4):447-455.
14- Martin WC, Pollini A, Morton D. The influence of restorative procedures on esthetic outcomes in implant dentistry: a systematic review. Int J Oral Maxillofac Implants. 2014;29(suppl):142-154.
15- Papaspyridakos P, Tarnow DP, Eckert SE, Weber HP. Replacing six missing adjacent teeth in the anterior maxilla with implant prostheses: a case series. Compend Contin Educ Dent. 2018;39(6):e1-e4.
16- Kim TH, Cascione D, Knezevic A. Simulated tissue using a unique pontic design: a clinical report. J Prosthet Dent. 2009;102(4):205-210.
17- Lops D, Bressan E, Cea N, et al. Reproducibility of buccal gingival profile using a custom pick-up impression technique: a 2-year prospective multicenter study. J Esthet Restor Dent. 2016;28(1):43-55.
18- Schoenbaum TR, Swift EJ Jr. Abutment emergence contours for single-unit implants. J Esthet Restor Dent. 2015;27(1):1-3.
19- Elian N, Tabourian G, Jalbout ZN, et al. Accurate transfer of periimplant soft tissue emergence profile from the provisional crown to the final prosthesis using an emergence profile cast. J Esthet Restor Dent. 2007;19(6):306-314.
20- Tsai BY. Use of provisional restorations as implant impression copings. J Prosthet Dent. 2007;97(6):395-396.
21- Alsharbaty MHM, Alikhasi M, Zarrati S, Shamshiri AR. A clinical comparative study of 3-dimensional accuracy between digital and conventional implant impression techniques. J Prosthodont. 2019;28(4):e902-e908.
22- Chia VA, Esguerra RJ, Teoh KH, et al. In vitro three-dimensional accuracy of digital implant impressions: the effect of implant angulation. Int J Oral Maxillofac Implants. 2017;32(2):313-321.
23- Bohner L, Hanisch M, De Luca Canto G, et al. Accuracy of casts fabricated by digital and conventional implant impressions. J Oral Implantol. 2019;45(2):94-99.
24- Chew AA, Esguerra RJ, Teoh KH, et al. Three-dimensional accuracy of digital implant impressions: effects of different scanners and implant level. Int J Oral Maxillofac Implants. 2017;32(1):70-80.
25- Papaspyridakos P, Chen YW, Gonzalez-Gusmao I, Att W. Complete digital workflow in prosthesis prototype fabrication for complete-arch implant rehabilitation: a technique. J Prosthet Dent. 2019;122(3):189-192.
26- Nissan J, Zenziper E, Rosner O, Kolerman R, Chaushu L, Chaushu G. The effect of mucosal cuff shrinkage around dental implants during healing abutment replacement. J Oral Rehabil 2015;42:774-8.
27- Liu X, Liu J, Mao H, Tan J. A digital technique for replicating periimplant soft tissue contours and the emergence profile. J Prosthet Dent 2017;118:264-7.
28- Crockett R, Benko J, Chao D, Shah KC. Digital custom implant impression technique for capturing the acquired emergence profile. J Prosthet Dent. 2019 Oct;122(4):348-350.





