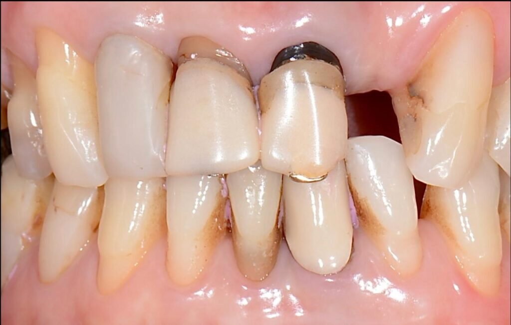
Durante muitos anos a presença da tábua óssea vestibular era condição essencial para indicar a técnica. Apesar da integridade desta, muitos casos apresentavam migração apical da margem gengival ou até exposição do componente protético comprometendo o resultado estético.
Com o avanço das pesquisas e das tecnologias de imagens, foi observado que na região dos incisivos centrais, a tábua óssea vestibular mesmo quando íntegra, era muito final, menor que 1mm em 70%, resultando em uma reabsorção de boa parte desta, mesmo com técnicas pouco traumáticas.
Por esta razão, para que o implante imediato estético tenha um resultado satisfatório, esta tábua óssea deve ter sua espessura aumentada para que mantenha-se estável.
Como é necessário sempre reconstruir a parede vestibular, sua integridade não se faz necessária. Manfro et al (2019) propuseram uma classificação para esta perda e de acordo com essa classificação modificações para a técnica cirúrgica.
Classe 1: parede vestibular íntegra: nesta situação não existe necessidade de mudar a técnica, sendo necessário a construção de um GAP de 3mm que deve ser enxertado com substituto ósseo de lenta degradação.
Classe 2: esta situação é caracterizada pela perda de até 1/3 da tábua óssea vestibular. Nesta situação, o contorno do alvéolo ainda é mantido. Nesta situação, acreditamos que a melhor maneira de fazer a técnica é seguir esta sequência após a exodontia e avaliação dos alvéolos:
1º – Fresagem para implante imediato;
2º – Reconstrução da parede vestibular com enxerto ósseo, para não entrar material no alvéolo cirúrgico preferimos utilizar materiais a base de hidroxiapatita associada a fibra colágena (extra-graft xg-13);
3º – Instalação do implante;
4º – Preenchimento de GAP residual, se houver.
Classe 3: nesta situação, há uma perda da parede óssea vestibular que compromete a arquitetura do alvéolo. O objetivo da técnica não é só manter o alvéolo após a exodontia e sim reconstruir o formato deste. A técnica indicada é a seguinte:
1º – Após a exodontia e as manobras de avaliação do alvéolo com auxílio de um tunelizador é realizado um descolamento subperiostal 3mm para lateral e apical do defeito ósseo sem que se levante retalho;
2º – Fresagem para implante imediato;
3º – Instalação de uma membrana de reabsorção lenta entre o osso e o retalho descolado;
4º – Reconstrução da parede vestibular com enxerto ósseo a base de hidroxiapatita associada a fibra colágena (Extra Graft XG-13);
5º – Instalação do implante;
6º – Preenchimento de GAP residual se houver.
Classe 4: nesta situação, a parede vestibular está íntegra com exceção da região do periápice. Este defeito normalmente é causado por lesões periapicais. A maior dificuldade é preservar a parede remanescente durante a técnica, por esta razão não deve-se descolar a mucosa vestibular. A técnica adequada deve ser a seguinte:
1º – Fresagem para implante imediato;
2º – Reconstrução da parede vestibular na região apical com hidroxiapatita associada a fibra colágena (Extra Graft XG-13);
3º – Instalação do implante;
4º – Preenchimento de GAP vestibular.
Utilizando as técnicas de acordo com classificação proposta, é possível construir um parede vestibular que se mantém íntegra ao longo do tempo, mantendo a estética dos casos e tornando os implantes imediatos uma alternativa segura independente da situação da tábua óssea vestibular do alvéolo.
Referências bibliográficas:
Meijer HJA, Slagter KW, et al. Bucal bone thickness implants in the maxillary anterior region with large bony defects at time of immediate implant placement: a 1-year cohart study. Clin Implant Dent Relat Res. 2019; 21: 73-79.
Huynh-Ba G, Pejtursson BE, e al. Analysis the socket bone wall dimensions in the upper maxilla in the relation to immediate implant placement. Clin Oral Impl Res. 2010 21: 37-42.
Manfro R, Garcia GF et al. Reborsos dentados: implantes imediatos x preservação alveolar.in Manfro R, Garcia GFF, Fabrs V. Reconstruções Teciduais em Implantodontia Por que? Quando? Como? Editora plena, 2019.













