Por Rodrigo Cunha, Felipe Pohlmann e Luís Felipe Guilardi
O componente Base T da Implacil De Bortoli representa uma peça fundamental, projetada para integrar avanços tecnológicos com materiais de alta qualidade, revolucionando as práticas de reabilitação sobre implantes. Desenvolvido originalmente pela Sirona e adotado por várias fabricantes de implantes, o Base T foi refinado pela Implacil De Bortoli para oferecer uma solução simples para os sistemas CAD/CAM, eficaz e altamente compatível com fluxos de trabalho digitais, como os sistemas CEREC e Exocad (Figura 1).


Os pilares Base T estão disponíveis em duas plataformas: Small (3,5 mm) e Large (4,5 mm) e com alturas de cintas variando de 0,8; 1,5; 2,5 e 3,5 mm, sendo projetado para uma perfeita adaptação e personalização em diversos casos clínicos de elementos unitários (Figura 3).

No momento da confecção da prótese definitiva, é necessário realizar o escaneamento intraoral dos elementos envolvidos, utilizando o transferente digital (Scancorp) específico para o Base T selecionado. No fluxo de trabalho com o Exocad, esse escaneamento pode ser feito diretamente na plataforma do implante ou sobre o próprio Base T, conforme ilustrado na figura. O Scancorp, que serve como corpo de escaneamento ou transferente digital, está disponível em dois diâmetros: Small (3,5 mm) e Large (4,0 mm), sendo ambos utilizados em conjunto com o Base T.

No ato do escaneamento, deve-se instalar o transferente digital conforme a escolha: diretamente sobre a plataforma do implante ou sobre o Base T, caso este já esteja instalado. Os transferentes digitais usados diretamente sobre o Base T estão disponíveis em tamanhos específicos para se adequar ao diâmetro da plataforma. É essencial selecionar o transferente correto, de acordo com o tamanho da plataforma do Base T. O protocolo de escaneamento pode variar dependendo da marca do scanner utilizado, mas não é necessária uma biblioteca específica de componentes ou implantes no software de escaneamento. O objetivo principal é gerar o modelo virtual, que pode ser exportado em formatos como .stl ou .ply, ambos amplamente utilizados para arquivos derivados de escaneamentos intraorais. Estes arquivos então serão enviados ao laboratório para confecção da prótese.
Processo de digitalização e fabricação utilizando o componente Base T no fluxo do Exocad
Etapa 1 – remover o provisório;
Etapa 2 – definir a altura do transmucoso 0,8; 1,5; 2,5 ou 3,5 mm;
Etapa 3 – instalar o transferente digital correto (direto sobre a plataforma do implante ou sobre o Base T);
Etapa 4 – configuração do scanner conforme o fabricante;
Etapa 5 – o escaneamento intraoral deve ser realizado:
a) com o transferente digital instalado;
b) sem o transferente para captura do perfil de emergência;
c) alguns scanners permitem a possibilidade de escanear o provisório, com o objetivo de capturar um modelo virtual com o perfil de emergência mais assertivo possível;
d) escaneamento do antagonista;
e) escaneamento da oclusão.
f) utilização de afastadores não reflexivos e afastadores labiais como o Optragate, os quais são essenciais para um bom escaneamento intraoral.
Após o término do escaneamento, o transferente digital e o pilar são removidos para que a prótese provisória seja recolocada. Neste processo obtemos o modelo virtual ou arquivo STL que será utilizado para desenvolver o projeto CAD.
Esses arquivos, junto com as fotos, serão submetidos ao desenho no Exocad, como será demonstrado passo a passo, para desenvolver o projeto CAD.


















Caso clínico
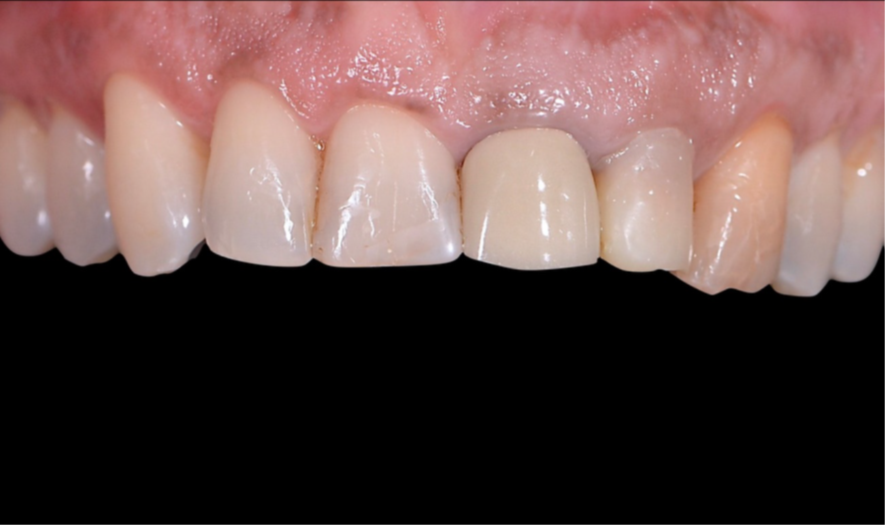
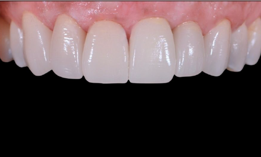
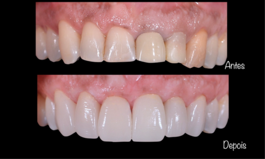
Paciente de 47 anos apresentava uma fístula na região vestibular, decorrente de uma fratura na raiz do dente 21, com indicação de exodontia. Foi realizada a extração e a instalação imediata de um implante Maestro 3,5 x 9. Após 90 dias, iniciou-se a fase protética da reabilitação.











Conclusão
Uma particularidade do Base T é que este é um componente híbrido, logo, ele é parafusado na plataforma do implante. Porém, a peça protética que foi produzida é cimentada sobre o componente, e isso abre a possibilidade para que o processo de cimentação seja feito intraoral ou no modelo impresso, fora da boca. No caso da peça protética cimentada no modelo, deverá apresentar uma abertura para acesso da chave que apertará o parafuso diretamente sobre a plataforma do implante. Isso também gera a possibilidade de trabalharmos com diferentes materiais sobre o mesmo componente.
O componente Base T representa um avanço significativo em termos de integração tecnológica (CAI/CAD/CAM) e uso de materiais de alta qualidade. Seu design inovador e a adaptação a sistemas digitais avançados permitem uma personalização precisa e uma adaptabilidade excepcional em uma variedade de cenários clínicos.
Essa abordagem torna as restaurações sobre implante mais precisas e mais rápidas, contribuindo para a longevidade e o sucesso das reabilitações protéticas.
REFERÊNCIAS:
1- Moreno ALM, Santos MD, Bertoz APM, Goiato MC. Abutment on Titanium-Base Hybrid Implant: A Literature Review. Eur J Dent. 2023 May; 17(2): 261–269.
2- Thobity AMAl, Titanium Base Abutments in Implant Prosthodontics: A Literature Review. European Journal of Dentistry 16(S 06) Nov 2021.
3- Bernauer AS, Zitzmann NU, Joda T. The Complete Digital Workflow in Fixed Prosthodontics Updated: A Systematic Review. Healthcare, 11 (679): 1-15, 2023.
4- R. V. Felberg, R. Bassani, G. K. R. Pereira et al., “Restorative possibilities using zircônia ceramics for single crowns,” Brazilian Dental Journal, vol. 30, no. 5, pp. 446–452, 2019.
5- Menchini-Fabris, Giovanni-Batista et al. “A 3-year retrospective study of fresh socket implants: CAD/CAM customized healing abutment vs cover screws.” International journal of computerized dentistry vol. 23,2 (2020): 109-117.
6- Chokaree, Parima et al. “Biomaterials and Clinical Applications of Customized Healing Abutment-A Narrative Review.” Journal of functional biomaterials vol. 13,4 291. 10 Dec. 2022, doi:10.3390/j|13040291
7- Bandiaky, Octave Nadile et al. “Comparative assessment of complete-coverage, fixed tooth-supported prostheses fabricated from digital scans or conventional impressions: A systematic review and meta-analysis.” The Journal of prosthetic dentistry vol. 127,1 (2022): 71-79.
8- Rafael, Caroline Freitas. “Influência do tratamento laboratorial com líquidos de pigmentação e fluorescência e do envelhecimento acelerado nas propriedades ópticas de uma zircônia odontológica.” (2016).
9- Amoroso, Andressa Paschoal, et al. “Cerâmicas odontológicas: propriedades, indicações e considerações clínicas.” (2012).
10- Brandt, Silvia, et al. “IPS e.max for all-ceramic restorations: clinical survival and success rates of full-coverage crowns and fixed partial dentures.” Materials 12.3 (2019): 462.
11- Yeğin, Elif, and Mustafa Hayati Atala. “Comparison of CAD/CAM manufactured implantsupported crowns with different analyses.” International Journal of Implant Dentistry 6 (2020): 1-11.
12- Posselt, A., and T. Kerschbaum. “Longevity of 2328 chairside Cerec inlays and onlays.” International journal of computerized dentistry 6.3 (2003): 231-248.
13- Moörmann, Werner H. “The evolution of the CEREC system.” The Journal of the American Dental Association 137 (2006): 7S-13S





