Por Thayane Furtado, Paulo Bernardo Gambogi e Wolnei de Castro Pereira Júnior
Nas últimas décadas, a Implantodontia revolucionou a Odontologia ao trazer de volta, e de maneira significativa, a saúde e autoestima dos pacientes edêntulos. Desde os seus primórdios, até os dias de hoje, a pesquisa nesse setor cresce de maneira consistente objetivando sempre alcançar o melhor resultado cirúrgico aliado ao bem-estar do indivíduo.
Um grande resultado desses incansáveis estudos foi o estabelecimento do uso de carga imediata após a exodontia. No surgimento da Implantodontia, pensava-se que a colocação de carga após a instalação do implante unitário poderia levar a não osseointegração do elemento. Contudo, percebeu-se que a não instalação de provisório imediato constituía, na verdade, em perda para a manutenção de tecidos essenciais, para a estética e função, principalmente na região anterior. O implante realizado de maneira conjunta à exodontia representa um avanço em termos de técnica e tempo cirúrgico (RODRIGUES et al., 2021).
Outro grande avanço advindo da evolução tecnológica e da democratização dos estudos científicos foi a percepção da importância do posicionamento tridimensional do implante. Sabe-se que o mesmo, quando bem posicionado, favorece a correta evolução da reabilitação unitária que, quando realizada integrando as técnicas de extração minimamente traumáticas, implante imediato com auxílio do planejamento digital e provisionalização imediata, eleva a previsibilidade do tratamento reabilitador (NUSS et al., 2016).
Nesse contexto, todas essas soluções permitiram o desenvolvimento de protocolos nos quais as cirurgias reabilitadoras pudessem acontecer em etapa única, permitindo assim, de maneira imediata, o reestabelecimento estético, emocional e social do indivíduo (BASSOUKOU et al., 2022).
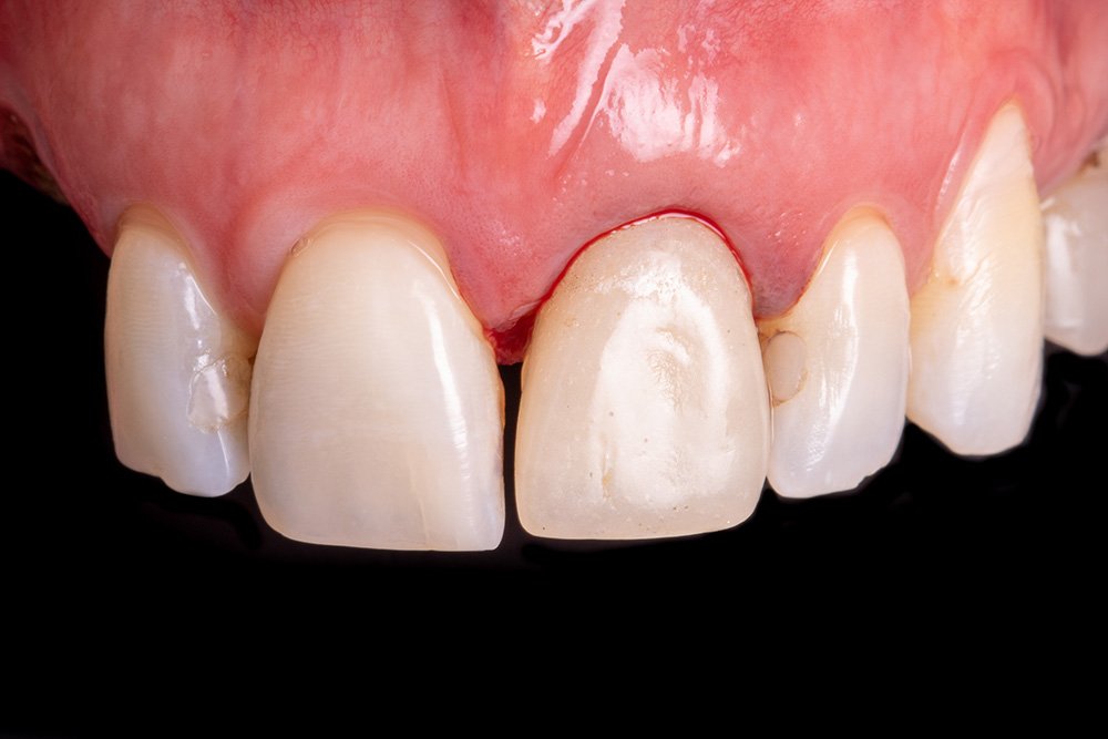
No caso clínico relatado, a paciente do gênero feminino, 51 anos, apresentou-se na especialização de implantes AIT em Betim (MG), com mobilidade grau 4 e lesão no elemento 21. Foi definido que o melhor planejamento seria a exodontia e instalação de implante através da técnica de cirurgia guiada.
A fim de preservar a arquitetura gengival, é fundamental que a exodontia seja realizada de maneira minimente traumática. Seguindo os critérios descritos na literatura, realizamos a exodontia sem descolamento de tecidos e sem grandes movimentações para luxação do elemento, seguida de curetagem do alvéolo para remoção de tecido de granulação (TUMENAS et al., 2014).
Uma das grandes vantagens da cirurgia guiada é a precisão tridimensional alcançada ao fim do procedimento cirúrgico. Ainda que haja pequenas alterações frente ao planejamento digital, as mesmas tendem a ser estatisticamente insignificantes (NUSS et al, 2016), e, portanto, possibilitam a realização de implantes muito mais precisos que aqueles realizados somente com o planejamento virtual, sem o auxílio de guias. Conscientes da importância do correto posicionamento tridimensional do implante, especialmente em áreas estéticas, optou-se por obter um guia cirúrgico, respeitando para isso o planejamento virtual realizado pela Odontoplanning-Brasil (Figura 1). O implante selecionado para o caso foi o Due Cone de medidas 3.5×11 e para a sua instalação foi utilizado o kit cirúrgico Implaguide da Implacil De Bortoli (Figuras 2-7).







Durante o procedimento, foi observado que a guia estava com o alívio para inserção do guia de posicionamento de fresagem voltado para palatina, o que não favorecia o caso. Por esse motivo, o guia foi personalizado com uma broca multilaminada, como mostram as figuras 8-10.



Após a instalação do implante Cone Morse (Due Cone da Implacil De Bortoli) de 3.5×11, com 32 N de torque, deu-se a provisionalização imediata (Figuras 11-12).


Como já bem descrito na literatura, a manutenção da arquitetura gengival é favorecida pela imediata confecção do provisório após a instalação do implante (RUNGCHARASSAENG et al., 2012; BASSIR et al., 2018; FILHO et al., 2021). Assim, foi utilizado pilar Ideale de transmucoso de 1,5 e munhão de 4mm (3.3×4 x1,5) com coifa de titânio e o elemento foi provisionalizado utilizando dente de estoque e resina acrílica. Para o preenchimento do gap vestibular, foi utilizado o enxerto ósseo Extra Graft de 0,5g.
Posteriormente, após o período de osseointegração e maturação dos tecidos circundantes, serão realizadas consultas para acompanhamento da evolução do caso. A finalização dar-se-á pela instalação de coroa em porcelana, mantendo o perfil previamente obtido pelo planejamento e cuidados descritos neste artigo.
REFERÊNCIAS
Bassir, SH; EKholy K; Chen, CY; et al. Outcome of early dental implant placement versus other dental implant placement protocols: A systematic review and meta-analysis. J Periodontol, May, v. 90(5), p. 493-506, 2018.
Bassoukou CH; Parize G; Muknicka DP; et al. Implante imediato com provisionalização e compensação tecidual em região estética – aspectos determinantes para o sucesso clínico: série de casos clínicos. Research, Society and Development, v. 11(1), 2022.
Filho JBMS; Neto JPS; Martins AGS, et al. Implante imediato com enxerto ósseo: Revisão de literatura. Brazilian Journal of Development, Curitiba, v.7 (12), p.118293-118306, 2021.
Nuss KCB; Gomes FV; Mattis F; et al. Grau de confiabilidade na reprodução do planejamento virtual para o posicionamento final de implantes por meio de cirurgia guiada: relato de caso. RFO, Passo Fundo, v. 21(1), p. 102-108, 2016.
Rodrigues ML; Costa MDMA; Dietrich L. Implantes unitários com carga imediata: possibilidade de reabilitação oral e estética – uma revisão de literatura. Research, Society and Development, v. 10(11), 2021.
Rungcharassaeng K; KAn JY; Yoshino S; et al. Immediate Implant Placement and Provisionalization With and Without Connective Tissue Graft: An Analysis of Facial Gingival Tissue Thickness. Int J Periodontics Restorative Dent, v.32, p.657-663, 2012.
Tumenas I; Pascotto R; Saad JL; et al. Odontologia Minimamente Invasiva. Rev Associ Paul Cir Dent, v.68(4), p.283-95, 2014.




