Uma das técnicas mais utilizadas na Implantodontia é a instalação imediata e o carregamento imediato dos implantes. No entanto, vários fatores devem ser levados em consideração no momento da escolha e do planejamento dessa técnica. Dentre esses fatores, podemos citar a razão da perda do elemento dental, os hábitos parafuncionais, o estado sistêmico do paciente, a relação oclusal e a condição anatômica da região, entre outros. Assim sendo, uma vez feita essa escolha, uma condição sine qua non é alcançarmos a estabilidade primária do implante acima de 35 Ncm. A estabilidade primária é determinante no momento da instalação do implante. Para tal, a seleção do implante é muito importante durante o nosso planejamento. É preciso escolher um implante que tenha uma macrogeometria que favoreça o alcance dessa estabilidade no momento da instalação e que possua uma superfície que promova uma excelente formação óssea.
Diante disso, a Implacil De Bortoli lançou recentemente no mercado o implante Veloce, que é um implante hibrido, isto é, um implante com corpo cilíndrico e ápice cônico que possui roscas duplas que favorecem a instalação, permitindo maior interação com a superfície óssea. O fresado cortante e o ápice do implante Veloce aumentam a sua estabilidade primária (Figuras 1 e 2).
No caso clínico a seguir, será demonstrada a facilidade e a simplicidade de instalação do implante Veloce e o seu carregamento imediato após a extração do elemento 25.
Paciente do sexo feminino, com viagem marcada para o exterior, apresentou-se em minha clínica com o diagnóstico de lesão e grande mobilidade do elemento 25. Após a solicitação dos exames preliminares e da anamnese, foi realizada a conduta medicamentosa e a cirurgia foi marcada para instalação imediata do implante (Figuras 3 e 4).
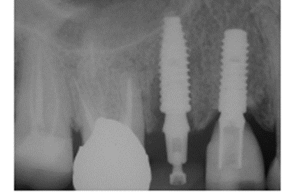
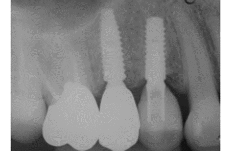
Foi eleito um implante Veloce Cone Morse de 3.75 X 11.5 mm e após a exodontia, o implante foi instalado utilizando o protocolo de fresagem recomendado pelo fabricante, fazendo uso das fresas escalonadas do sistema, alcançando um torque de inserção de 70 Ncm, o que me incentivou a promover o carregamento imediato deste implante (Figuras 5, 6, 7, 8, 9 e 10).
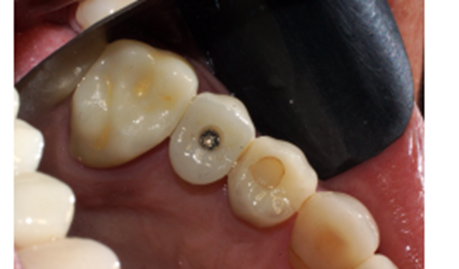
Diante das circunstâncias, foi eleito um pilar Ideale reto de 3.3 X 4.0 X 1.5 mm de transmucoso, que foi instalado a 20 Ncm. O escaneamento desse pilar foi realizado para a confecção de um provisório fresado em PMMA. Após 15 minutos da instalação e do escaneamento do pilar, o provisório fresado foi instalado sobre o pilar Ideale e aparafusado com o parafuso Torx a 10 Ncm. Foi então realizada uma radiografia após a instalação e a paciente foi marcada para retornos de 7 e 15 dias, sendo que após os retornos, a paciente realizou sua viagem (Figuras 11, 12, 13 e 14).
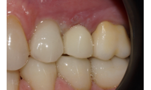
Após cinco meses, a paciente retornou da viagem do exterior, o provisório foi removido e um novo escaneamento foi realizado, copiando assim, o perfil de emergência alcançado através do provisório. As informações foram enviadas para o laboratório e o provisório foi reinstalado (Figuras 15, 16, 17, 18, 19 e 20).
No laboratório foi realizado um novo projeto e o elemento 25 foi fresado em zircônia multilayer na cor A2. Em seguida, maquiado para deixá-lo semelhante aos dentes adjacentes.
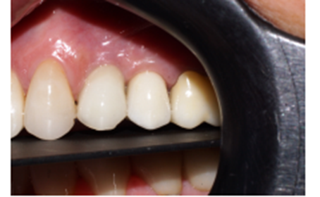
Na consulta seguinte a coroa final foi instalada e aparafusada com o parafuso Torx, e o orifício foi restaurado com resina fotopolimerizável. Foi realizada uma radiografia final e a paciente foi remarcada para retornar em seis meses para consulta de controle.
O implante Veloce mostrou-se uma ferramenta excelente quando da escolha de um implante que alcance uma estabilidade primária propícia para o carregamento imediato. Sua rapidez, facilidade e simplicidade na instalação são um grande diferencial.

























