Por Madalena L. P. Dias Engler
Existem várias razões pelas quais um dente pode vir a ser condenado à exodontia. Em nossa rotina clínica, as infiltrações de cáries sob restaurações extensas e as fraturas radiculares (ou corono-radiculares) estão entre as mais presentes. Nesses casos, normalmente o osso circundante ainda se apresenta em boas condições para receber um implante, direcionando a indicação de tratamento para exodontia e implante imediato. Sempre que for possível realizar essa abordagem, será extremamente vantajoso ao paciente, pois o número de procedimentos cirúrgicos será reduzido, assim como o tempo total de tratamento.
Todavia, em alguns casos, não há remanescente ósseo suficiente para a instalação segura de um implante. Nestas situações, o que nunca se deve fazer é apenas extrair o dente e deixar que a cicatrização ocorra através do preenchimento do alvéolo com sangue e subsequente neoformação óssea. Essa abordagem pode gerar sequelas, tais como a reabsorção aumentada do tecido ósseo, e por consequência, dificultar a instalação de um implante no futuro.
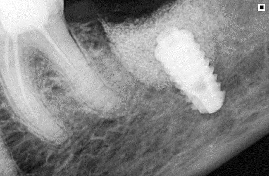
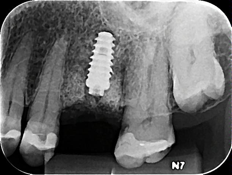
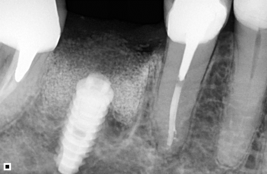
Estudos comprovaram que o preenchimento do alvéolo com um substituto ósseo (xenógeno ou sintético) com propriedades osteocondutoras auxilia no processo de regeneração e aumenta a neoformação óssea. Por isso, hoje a abordagem para exodontia é, sempre que possível, preencher o alvéolo. No caso da instalação de implante imediato, a indicação é a mesma: preencher os gapsentre implante e tecido ósseo e/ou alvéolos radiculares com o substituo ósseo.
O Extra Graft é um biomaterial muito interessante para aplicação nestes casos, pois apresenta-se na forma de blocos fracionados (0,5g / 1g / 2g) e tem em sua composição 75% de hidroxiapatita (principal componente mineral do osso) e 25% de colágeno do tipo I (proteína mais abundante na porção orgânica do osso) – ambos de origem bovina. Devido a essa composição, possui grande atividade osteocondutora e maior adesão dos osteoblastos, aumentando a velocidade de neoformação óssea. Além disso, a porção de colágeno gera maior estabilidade do coágulo e ação hemostática, promovendo menor sangramento pós operatório e maior conforto ao paciente. O Extra Grafté de fácil manuseio e condensação dentro dos alvéolos e é radiopaco, facilitando a conferência do preenchimento via radiografia final do procedimento.
A sequência de imagens a seguir apresenta casos da aplicação clínica do Extra Graft em cirurgias de exodontia e implante imediato com preenchimento dos gaps, e apenas exodontia e preenchimento alveolar para favorecer a regeneração óssea.






















