A utilização do Osstell como coadjuvante no planejamento da carga imediata

A utilização do Osstell como coadjuvante no planejamento da carga imediata

Por Thayane Furtado e Thales Oliveira

A carga imediata na Implantodontia tem demonstrado uma taxa de sucesso muito parecida com a carga convencional. É sabido que ter uma estabilidade primária associada a um torque de instalação satisfatório, é primordial para se ter sucesso em um tratamento imediato.

Essa estabilidade é conseguida através de técnicas cirúrgicas, densidade óssea, desenho do implante, entre outros aspectos. A estabilidade primária é considerada o fator principal para o sucesso de uma reabilitação com carga imediata, uma vez que ela limita as micro movimentações entre a interface osso-implante. Sendo assim, uma baixa estabilidade primaria, contraindica a escolha da carga imediata como o tratamento eleito.

Diante disso, para nos auxiliar nessa decisão de escolha pela carga imediata, o Osstell, que é um aparelho que consegue medir a estabilidade do implante no leito ósseo em diversas etapas da cicatrização, pode ser uma ferramenta imprescindível, pois através dele, podemos ratificar a possibilidade ou não de um carregamento imediato, precoce ou tardio. Inclusive nos permite conferir se a estabilidade desse implante tem aumentado durante o processo de reparação óssea.

Com o implante instalado, o Osstell emite onda eletromagnética através de um SmartPeg (peça de alumínio que é aparafusada na conexão do implante), e retorna um valor de ISQ (Quociente de Estabilidade do Implante), através de uma Varredura de Frequência de Ressonância (RFA) e dá um valor entre 1 – 100.

A literatura mostra que implantes com o ISQ menor que 25 estão em potencial risco de insucesso, pois a sua baixa estabilidade pode permitir micro movimentações na interface osso-implante. Valores abaixo de 60, já se aconselha um carregamento dos implantes tardio. Porém, quando atinge-se valores entre 60 e 69, tanto o carregamento precoce, como a carga imediata já passam a ser indicados. No entanto, sugere-se que a carga imediata seja realizada em casos de próteses ferulizadas.  Já com um ISQ maior que 70, o carregamento imediato já está indicado para as próteses unitárias.

Em casos de implantes na área estética, em que a exodontia acontecer no mesmo tempo cirúrgico, utilizar um provisório imediato é muito importante para se conseguir a manutenção do arcabouço gengival, do perfil de emergência e da preservação das papilas, além de ajudar a reter o biomaterial no leito cirúrgico. Porém, quando existe a contraindicação de uma carga imediata (ISQ menor que 69 por exemplo), seria interessante a utilização de um cicatrizador personalizado para que se consiga alcançar essas características, sem precisar carregar o implante.

Este artigo aborda um caso clinico no qual o Osstell foi utilizado para medir o ISQ de um implante instalado imediatamente após a exodontia.

Aspecto inicial intra-oral:

Radiografia Periapical inicial para auxilio no diagnóstico.

Após exame clinico e tomográfico, foi observado comprometimento periodontal e trinca radicular no dente 21.

Com auxilio de uma tomografia computadorizada, iniciou-se o planejamento para o implante.

Optou-se por realizar uma cirurgia guiada pela melhor previsibilidade. Foi enviado para a Odontoplanning Brasil® o escaneamento intraoral e os exames tomográficos.

Obtenção de um modelo em 3D para planejamento pela Odontoplanning Brasil®.

Planejamento de melhor posicionamento tridimensional do implante.

Após a confecção da guia cirúrgica pela Odontoplanning Brasil®, foi então realizado a exodontia do elemento 21.

A guia então é posicionada em boca para conferencia da adaptação.

Utilizando um kit de Cirurgia Guiada Implaguide (Implacil De Bortoli), foi realizado a fresagem para preparar o leito osseo e instalação do implante, um Cone Morse de 3.5mm de diâmetro da  Implacil De Bortoli.

Momento da instalação do implante, com a guia cirurgica em posição, com um torque de instalação de 60 Ncm.

Após o implante instalado, a guia é então removida, e um SmartPeg é fixado sobre a plataforma do implante.

O Osstell é então posicionado sobre o SmartPeg, e os valores de ISQ foram obtidos atraves da RFA, sendo 64 no sentido Vestibulo-Palatino e 65 no sentido Mesio-distal. Isso fez com que optássemos por um cicatrizador personallizado, potencializando assim, um resultado mais previsível.

Foi então feito uma ROG (Extra Graft®) na região de GAP entre o implante e o osso alveolar, e confeccionado um cicatrizador personalizado sobre um pilar provisório, para manutenção do arcabouço gengival.

Pilar provisório posicionado.

Vista oclusal do cicatrizador personalizado mantendo o arcabouço gengival.

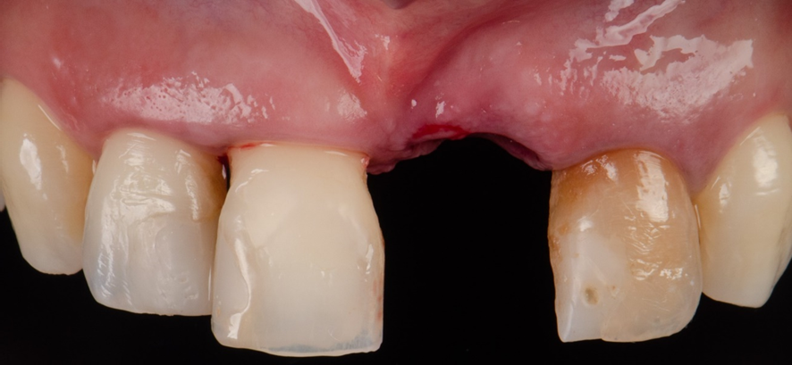
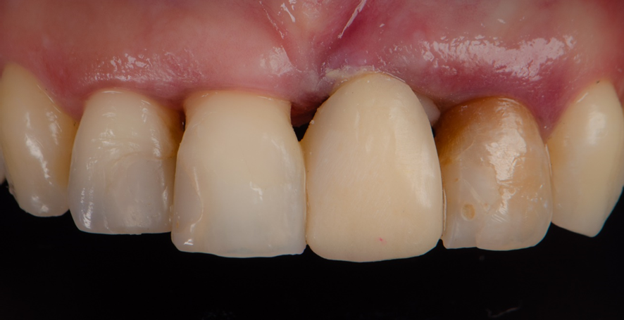
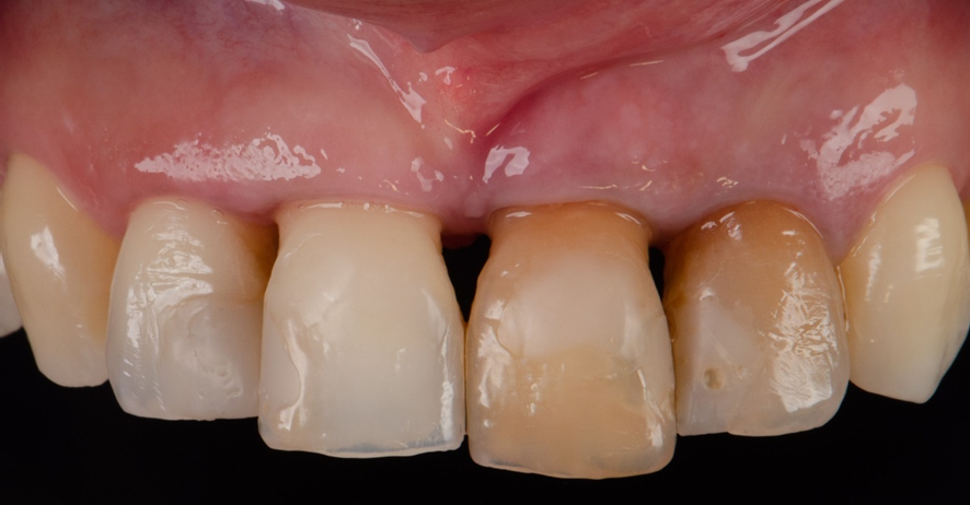
Uma provisória ferulizada foi então instalada, presa aos dentes adjacentes.

Rádiografia Periapical final.

Conclusão

O índice de ISQ obtido contraindicou uma prótese unitária com carga imediata. O ideal para essa escolha seria um valor superior a 70 aliado a todos os fatores importantes para essa opção de tratamento. Concluimos então, que mesmo que obtenhamos altos valores no torque de inserção,  o ISQ acima de 70 pode ser um fator determinante na decisão de carregar um implante unitário imediatamente. Carregar um implante unitário com o valor de ISQ obtido nesse caso, pode vir a permitir micromovimentações do implante no osso, levando a não osseointegração e ao insucesso no tratamento.

Importante lembrar que não existe correlação direta entre os valores de torques de instalação e os valores de ISQ. Diante disto, o Osstell se mostra um aparelho de muita importância no dia a dia do implantodontista, pois é mais um coadjuvante que auxilia na determinação do momento certo de se colocar um implante em função.

Bibliografia

1- Esposito M, Hirsch JM, Lekholm U, Thomsen P. Biological factors contributing to failures of osseointegrated oral implants. I. Success criteria and epidemiology. Eur J Oral Sci 1998;106:72.

2- Herrero-Climent M, Santos-García R, Jaramillo-Santos R, Romero-Ruiz MM, Fernández-Palacin A, Lázaro-Calvo P, Bullón P, Ríos-Santos JV. Assessment of Osstell ISQ’s reliability for implant stability measurement: A cross-sectional clinical study. Med Oral Patol Oral Cir Bucal. 2013 Nov 1;18 (6):e877-82.

3- Meredith N, Alleyne D, Cawley P. Quantitative determination of the stability of the implant-tissue interface using resonance frequency analysis. Clin Oral Implants Res 1996; 7: 261-267.