Por Thayane Furtado
Introdução
Os implantes dentários são reconhecidos como a principal opção de tratamento para reabilitação após a perda do elemento dentário, apresentando alta taxa de sucesso e longevidade clínica. O êxito do tratamento está atrelado ao planejamento reverso buscando o posicionamento tridimensional adequado, reconstrução tecidual com a adequação dos tecidos peri-implantares, manejo protético e orientação do paciente.A superioridade desses tratamentos em relação a prótese removível está associada a alta taxa de sucesso, ao risco reduzido de cáries e comprometimento endodôntico dos dentes adjacentes, melhoria da manutenção óssea local, restabelecimento da eficiência mastigatória e estabilidade oclusal.
Diversas técnicas podem ser empregadas para a instalação de implantes. A cirurgia guiada recebe destaque por revolucionar o planejamento e a execução dos procedimentos de implante através de tecnologias de imagem e guias cirúrgicas personalizadas. Isso promove a melhora da precisão na colocação dos implantes, reduz o risco de complicações e melhora os resultados clínicos com uma abordagem mais controlada e minimamente invasiva.
Em consonância com o que foi ressaltado, é válido ressaltar que o objetivo principal é, através da reabilitação oral, restabelecer a função, a estética e a saúde bucal de pacientes com perdas dentárias ou edentulismo total. Essa abordagem envolve a restauração de aspectos funcionais, como a eficiência mastigatória e o conforto e estabilidade oclusal, além de garantir a harmonia estética do sorriso.
Dessa forma, este relato de caso visa explorar a aplicação prática da reabilitação oral total, em maxila e em mandíbula. Foi realizada a combinação entre prótese protocolo superior e a instalação de implantes e prótese implantossuportada de zircônia no arco inferior.
Relato de Caso
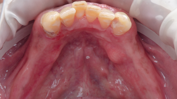
Paciente do gênero masculino, melanoderma, edêntulo superior. Não foram identificadas contraindicações locais ou sistêmicas significativas para a realização do procedimento cirúrgico, e o exame clínico extraoral não apresentava nenhuma alteração significativa. Já o exame clínico intraoral revelou que a região anterior do rebordo superior apresentava-se flácido, e na região inferior foi observada a presença de uma exostose óssea na região de pré-molares esquerdos. Sendo assim, o plano de tratamento englobou a adequação do meio bucal por meio da profilaxia e restauração nos elementos 43, 42, 41, 33 e 32.
Reabilitação Superior
O planejamento das partes cirúrgicas e protéticas foram realizados após os exames tomográficos. Os arquivos DICOM e STL foram convertidos para o formato Blue Sky Plan (Blue Sky Bio-Libertyville, Illinois, EUA) e, através do Exocad, foi realizado todo o planejamento reverso e o posicionamento tridimensional dos objetos, bem como o planejamento da guia cirúrgica com os pinos de fixação. Portanto, este recurso possibilitou o planejamento da colocação dos implantes em suas posições ideais, respeitando as angulações e as estruturas anatômicas nobres, guiado pelo software.

Planejamento tridimensional dos implantes e da guia cirúrgica por meio do Exocad.
Conforme o plano de tratamento, os implantes estariam localizados nas regiões correspondentes aos dentes 11, 14, 21 e 24, utilizando a técnica All-on-4. Os implantes utilizados foram da Implacil De Bortoli: Due Cone – Maestro CM Base T 4.5 Ø 3,5x11mm para os incisivos centrais e Ø 3,5x13mm para os pré-molares.

Este implante Maestro da Implacil De Bortoli possui algumas características específicas, como na sua macroestrutura na superfície, que apresentam câmaras de cicatrização que permitem a osseointegração mais rápida. Além disso, deve ser instalado com um torque de 25N para receber uma carga precoce.

O início da consulta refere-se à avaliação pré-operatória e medicação preventiva. O momento cirúrgico inicia-se com a anestesia de toda a maxila do paciente e fixação da guia por meio dos pinos de fixação. Iniciou-se a cirurgia com a anestesia local com articaína e a fixação da guia através da colocação dos pinos de fixação na região dos pré-molares, um na região anterior e, por fim, no palato, na região dos pré-molares.
A cirurgia foi realizada por meio da técnica flapless, cirurgia de campo fechado, e foi feita a instalação do implante, iniciando com a fresa lança helicoidal de 2mm associado ao guide referente. Foi realizado a conferência da perfuração e, por fim, a fresagem com a fresa cônica de 3,5mm, conforme o tamanho pré-determinado dos implantes, respeitando a distância da margem gengival em relação ao implante e o seu posicionamento.

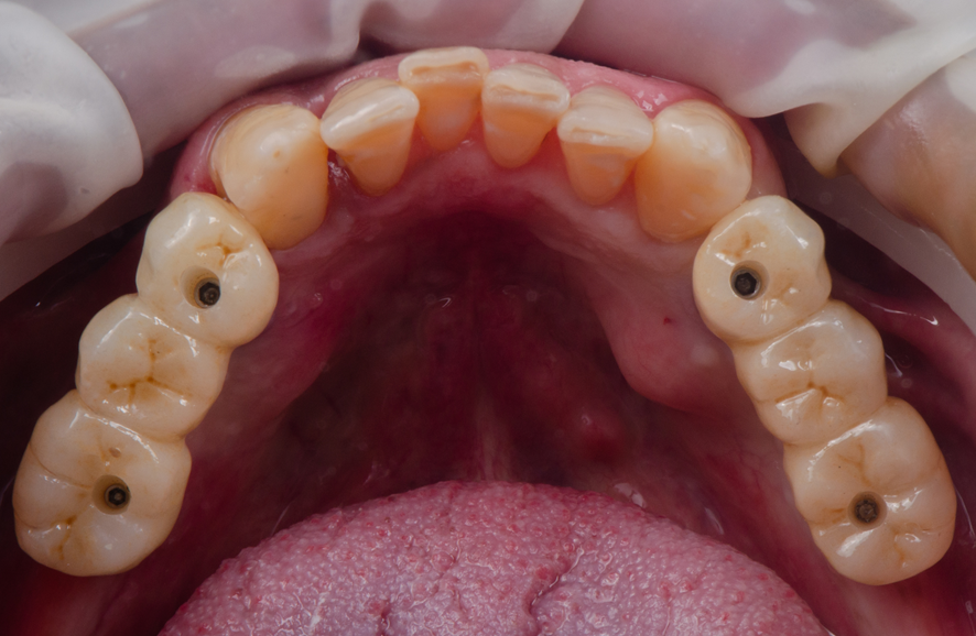
Após três meses, período adequado da osseointegração e a verificação radiográfica, foram realizadas todas as etapas referentes a prótese, dentre elas: reabertura, escaneamento, moldagem, registro de mordida, prova dos dentes e instalação do protocolo.



Reabilitação Inferior

O planejamento tanto da fase cirúrgica quanto da protética foi efetuado da mesma forma. Envolveu a realização dos exames tomográficos, com a conversão para o formato Blue Sky Plan (Blue Sky Bio-Libertyville, Illinois, EUA), permitindo assim o planejamento reverso e a localização tridimensional, aumentando a previsibilidade cirúrgica.
A mandíbula do paciente apresentava-se atrófica e tinha ausência dos dentes 34, 35, 36, 37, 44, 45, 46 e 47. Foi então planejada a inserção de quatro implantes e a confecção de pônticos sobre implante. Todo o planejamento foi realizado utilizando o software Exocad, que também foi empregado para a confecção da guia cirúrgica, garantindo a angulação adequada e o cumprimento dos pré-requisitos do implante, além das distâncias de segurança.

Conforme o planejamento, os implantes foram posicionados nas posições correspondentes aos dentes 34, 36, 44 e 46. Foram utilizados três implantes da Implacil De Bortoli, especificamente o Due Cone – Maestro CM Pilar Digital 4.5 Ø 3,5x9mm nas regiões dos dentes 34, 36 e 44, e o implante 3,5x7mm na região do dente 46, devido a proximidade com o canal mandibular.
Após toda essa etapa preliminar, inicia-se o momento cirúrgico com a anestesia e a fixação da guia cirúrgica com dois pinos de fixação ancorados na região vestibular dos pré-molares.
A cirurgia foi realizada por meio da técnica flapless, começando com a utilização da fresa lança helicoidal associada ao guide, seguida pela fresa cônica de 3mm, de acordo com as especificações técnicas do implante. Após a verificação com sonda periodontal, a fresagem foi continuada com a fresa cônica de 3,5mm, respeitando o comprimento do implante e a margem gengival, antes da instalação dos implantes e do torque manual.

A guia cirúrgica foi removida, o torque foi conferido e foi colocado o tapa-implante. Associado a isso, também foi realizada a verificação dos implantes por meio de radiografia periapical.

Posteriormente, após o acompanhamento e o tempo pré-determinado, foi realizada a reabertura e a colocação de cicatrizador a fim de realizar a readequação dos tecidos moles peri-implantares. Nesta sessão, as demais etapas clínicas propostas já estavam finalizadas.

Por fim, o tratamento finalizou com a carga precoce dos implantes que culminam na instalação dos pônticos de zircônia sobre os implantes.


REFERÊNCIAS
1- Carosi P, Lorenzi C, Lio F, Cardelli P, Pinto A, Laureti A, Pozzi A.Accuracy of Computer-Assisted Flapless Implant Placement by Means of Mucosa-Supported Templates in Complete-Arch Restorations: A Systematic Review. Materials (Basel). 2022 Feb 16;15(4):1462. doi: 10.3390/ma15041462. PMID: 35208002; PMCID: PMC8880344.
2- Dioguardi M, Spirito F, Quarta C, Sovereto D, Basile E, Ballini A, Caloro GA, Troiano G, Lo Muzio L, Mastrangelo F. Guided Dental Implant Surgery: Systematic Review. J Clin Med.2023 Feb 13;12(4):1490. doi: 10.3390/jcm12041490. PMID: 36836025; PMCID: PMC9967359.
3- Gonçalves GSY, de Magalhães KMF, Rocha EP, Dos Santos PH, Assunção WG. Oral health-related quality of life and satisfaction in edentulous patients rehabilitated with implant-supported full dentures all-on-four concept: a systematic review. Clin Oral Investig. 2022 Jan;26(1):83-94. doi: 10.1007/s00784-021-04213-y. Epub 2021 Oct 13. PMID: 34647147.
4- Verhamme LM, Meijer GJ, Boumans T, de Haan AF, Bergé SJ, Maal TJ. A clinically relevant accuracy study of computer-planned implant placement in the edentulous maxilla using mucosa-supported surgical templates. Clin Implant Dent Relat Res. 2015 Apr;17(2):343-52. doi: 10.1111/cid.12112. Epub 2013 Jul 24. PMID: 23879524.
5- Soni R, Yadav H, Pathak A, Bhatnagar A, Kumar V. Comparative evaluation of biting force and chewing efficiency of all-on-four treatment concept with other treatment modalities in completely edentulous individuals. J Indian Prosthodont Soc. 2020 Jul-Sep;20(3):312-320. doi: 10.4103/jips.jips_464_19. Epub 2020 Jul 17. PMID: 33223702; PMCID: PMC7654204.





