Condicionamento peri-implantar por meio de coroa provisória sobre implante para um perfil de emergência ideal

Matéria da semana - Ulisses Dayube

Condicionamento peri-implantar por meio de coroa provisória sobre implante para um perfil de emergência ideal

Por Ulisses Dayube

Introdução

Tradicionalmente, um dos principais objetivos de um tratamento com implantes é garantir a osseointegração1-4. Por outro lado, a obtenção da osseointegração do implante nem sempre se correlaciona com um resultado estético bem-sucedido5.

No período inicial da Implantodontia, os implantes eram instalados com um “conceito de instalação de implante onde tinha osso”. De acordo com esse conceito, o implante era instalado onde havia uma quantidade suficiente de osso, mas nem sempre era a posição ideal do implante para a restauração implantossuportada.

Portanto, isso resultava em uma prótese sobre implante sem estética e muitas vezes não funcional. Recentemente, com o desenvolvimento de vários materiais de enxerto ósseo, técnicas de regeneração óssea guiada (ROG) e o desenvolvimento da tecnologia de tratamento de superfície dos implantes, o conceito de tratamento com implantes foi alterado para “instalação de implantes orientada pela prótese”6, que é o conceito do planejamento reverso. Consequentemente, há agora uma demanda crescente por próteses e tecido mole peri-implantar com estética, função e saúde.

O perfil de emergência é um dos principais fatores para o estabelecimento de tecidos peri-implantares ideais. Em particular, na zona estética, o perfil de emergência das próteses sobre implante deve imitar os dentes naturais7-8.

Restaurações com contorno inadequado causarão comprometimento do acesso para higiene bucal e inflamação dos tecidos moles peri-implantares, o que pode induzir a muitos insucessos9. Assim, a criação de uma restauração com contorno adequado, com um perfil de emergência natural e arquitetura gengival que se harmonize com os dentes adjacentes é muito importante para a terapia de implante estética e funcional10. Para obter o perfil de emergência ideal, vários fatores precisam ser considerados desde os estágios iniciais do tratamento até os estágios finais. Na presença de uma base de tecido adequada, a obtenção de um perfil de emergência ideal depende da seleção do implante, do pilar de cicatrização e da seleção do componente protético adequado.

O objetivo deste artigo é apresentar um caso clínico de condicionamento peri-implantar por meio da confecção e ajuste de uma coroa provisória sobre implante para produzir o perfil de emergência ideal da coroa definitiva sobre implante.

Relato de caso

Uma paciente de 53 anos de idade, do sexo feminino, apresentou-se necessitandode um implante na região do dente 15 em um rebordo cicatrizado (Figuras 1 e 2).

Após o planejamento virtual no programa Exoplan – Exocad (Figura 3) e confecçãode uma guia cirúrgica prototipada, foi realizada uma cirurgia guiada por computadorImplaguide 3.5/4.0 e instalado um implante Due Cone 3,5x9mm (Figura 4). Foi instalado também um cicatrizador de 3,5×2,5 (Figura 5). Após quatro meses de cicatrização, o implante estava com o cicatrizador aparente na mucosa (Figura 6).

Figura 1 – Vista vestibular do rebordo alveolar da região do dente 15.
Figura 2 – Vista oclusal do rebordo alveolar da região do dente 15.
Figura 3 – Planejamento virtual no Exoplan.
Figura 4 – Instalação do implante Due Cone 3,5x9mm.
Figura 5 – Cicatrizador de 3,5×2,5 e RX de controle imediato.
Figura 6 – Pós-operatório de quatro meses.

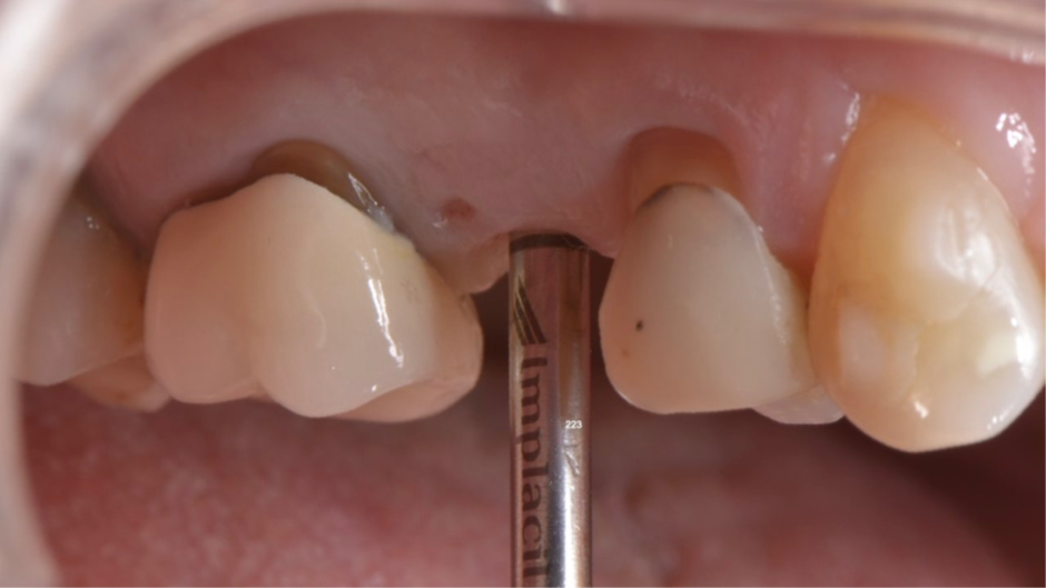
Para fazermos a coroa definitiva, precisamos posicionar a margem gengival semelhante aos dentes adjacentes. Nesse caso, usamos o túnel check de prótese CM para escolha da cinta do pilar (Figura 7). Temos que tomar muito cuidado em saber onde posicionar a margem gengival vestibular da coroa sobre implante, pois quando temos muita espessura de mucosa, a marcação do túnel check pode “confundir” no momento da seleção da cinta do pilar (Figura 8). O pilar de escolha para esse caso foi o Ideale 3.3×4 e foi planejado para ser instalado como uma cinta de 2,5mm, a fim de que a margem da coroa sobre implante fique semelhante à margem dos dentes adjacentes. Então, o pilar Ideale reto 3.3×4 com a cinta de 2,5mm foi instalado (Figura 9) para ser usado como pilar definitivo e fazer uma coroa provisória sobre o implante. A diferença de tamanho entre o diâmetro cervical do dente natural e o encaixe do implante pode resultar em um perfil inadequado da coroa. Se o perfil for subcontornado, não haverá pressão contralateral ou suporte para a mucosa, e as partículas de alimentos podem ficar retidas.

Figura 7 – Túnel check de prótese CM para escolha da cinta do pilar com muita espessura da mucosa.
Figura 8 – Túnel check de prótese CM com as marcações.
Figura 9 – Pilar Ideale reto 3.3×4 com a cinta de 2,5mm instalado.

A coroa provisória foi fabricada por impressão 3D para criar os mesmos contornos da face vestibular dos dentes adjacentes (Figura 10). Uma coifa provisória de titânio foi parafusada ao pilar ideale para captura da coroa provisória impressa.

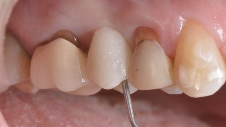
Nesse momento, existia uma grande diferença entre o contorno vestibular da coroa provisória e a posição da margem da mucosa (Figura 11). Então, foi utilizado uma resina flow para a captura da coroa provisória (Figura 12). E posteriormente, foi realizada o acabamento e polimento (Figura 13) para termos um excelente perfil de emergência da coroa (Figura 14).

Figura 10 – Coroa provisória fabricada por impressão 3D.
Figura 11 – Diferença entre o contorno vestibular da coroa provisória e a posição da margem da mucosa.
Figura 12 – Captura da coroa provisória com resina flow.
Figura 13 – Acabamento e polimento da coroa provisória.
Figura 14 – Coroa provisória finalizada.

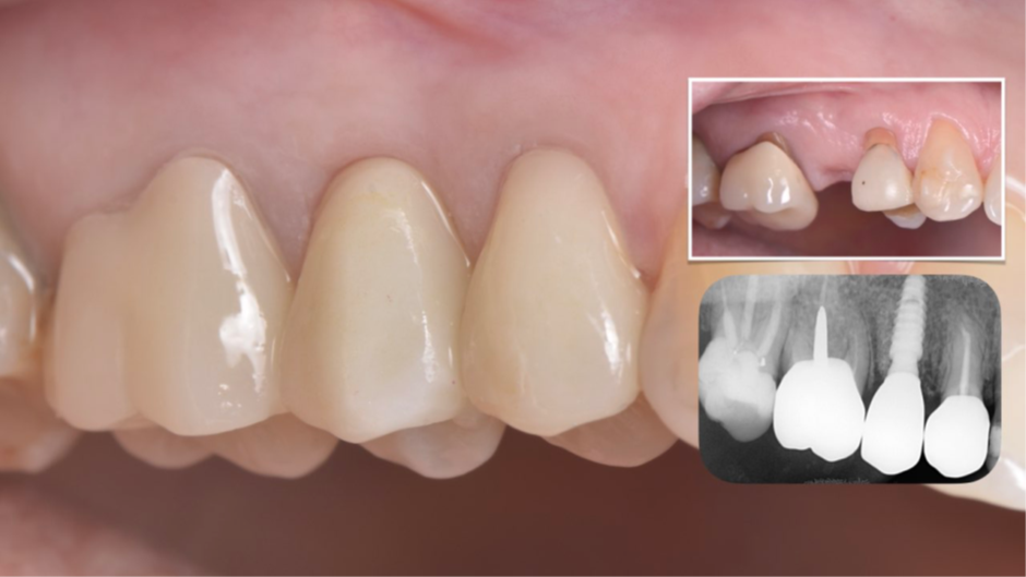
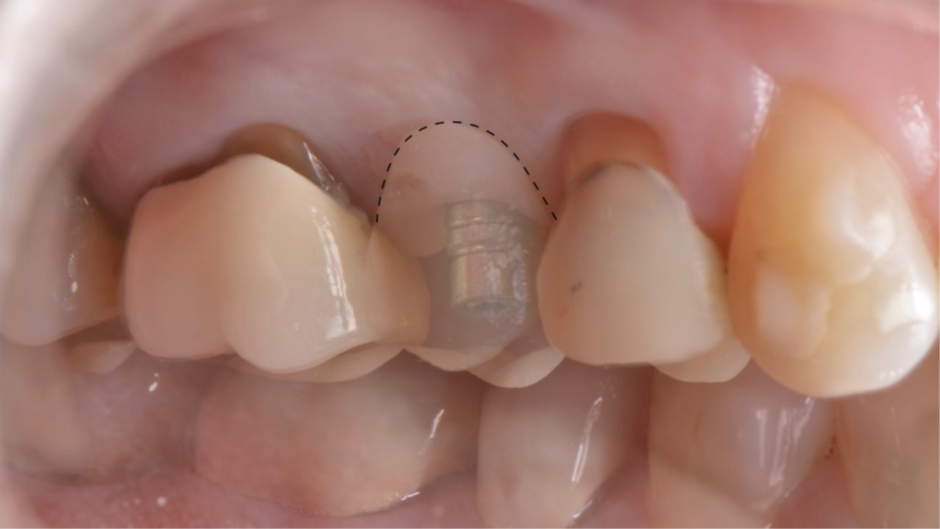
Após a finalização, os dentes adjacentes foram preparados e também receberam coroas provisórias, e a coroa sobre implante provisória foi parafusada no pilar Ideale (Figura 15) usando uma combinação de pressão digital e apertamento do paciente em um rolo de algodão. A isquemia dos tecidos moles peri-implantares pode ser observada, e geralmente desaparece em até 20 minutos. A coroa sobre implante provisória deve ser deixada por um período mínimo de um mês para permitir o adequado condicionamento dos tecidos moles peri-implantares 11,12 (Figura 16). Foi necessário um exame periódico para garantir que a higiene bucal adequada fosse mantida. Após dois meses, quando a mucosa condicionada se estabilizou 13, foi realizado um escaneamento intraoral (Figura 17) para a confecção das coroas definitivas (Figura 18). As coroas definitivas foram fabricadas fresadas em zircônia pura, e após instaladas (Figura 19), o resultado estético e funcional ficou muito favorável (Figura 20).

Figura 15 – Coroa sobre implante provisório parafusada no pilar Ideale.
Figura 16 – Condicionamento dos tecidos moles peri-implantares após um mês.
Figura 17 – Escaneamento intraoral do pilar Ideale.
Figura 18 – Coroas definitivas fresadas em zircônia.
Figura 19 – Coroas sobre dentes cimentadas e perfil de emergência da coroa sobre implante.
Figura 20 – Coroas definitivas finalizadas: imagem da situação inicial e radiografia periapical de controle imediatamente após a instalação.

Conclusão

O método descrito neste relato de caso permite o desenvolvimento e a manutenção do perfil de emergência e espaço biológico peri-implantar antes da confecção da coroa sobre implante definitiva, proporcionando ao paciente um resultado estético e funcional estável. Portanto, esse método ajudará a melhorar a satisfação do paciente e o prognóstico do implante, especialmente para pacientes com perda de papila interdental ou forma inadequada de tecido mole.

REFERÊNCIAS

1- Andersson B, Odman P, Lindvall AM, Lithner B. Single-toothbrestorations supported by osseointegrated implants: results and experiences from a prospective study after 2 to 3 years. Int J Oral Maxillofac Implants. 1995;10:702–711.

2- Avivi-Arber L, Zarb GA. Clinical effectiveness of implant-supported singletooth replacement: the Toronto Study. Int J Oral Maxillofac Implants. 1996;11:311–321.

3- Jemt T, Pettersson P. A 3-year follow-up study on single implant treatment. J Dent. 1993;21:203–208.

4- Priest GF. Failure rates of restorations for single-tooth replacement. Int J Prosthodont. 1996;9:38–45.

5- Levine RA. Soft tissue considerations for optimizing implant esthetics. Funct Esthet Restor Dent. 2007;1:54–62.

6- Garber DA, Belser UC. Restoration-driven implant placement with restoration-generated site development. Compend Contin Educ Dent. 1995;16:796, 798–802, 804.

7- Neale D, Chee WW. Development of implant soft tissue emergence profile: a technique. J Prosthet Dent. 1994;71:364–368.

8- Jansen CE. Guided soft tissue healing in implant dentistry. J Calif Dent Assoc. 1995;23:57–58. 60, 62 passim.

9- Su H, Gonzalez-Martin O, Weisgold A, Lee E. Considerations of implant abutment and crown contour: critical contour and subcritical contour. Int J Periodontics Restorative Dent. 2010;30:335–343.

10- Wöhrle PS. Nobel perfect esthetic scalloped implant: rationale for a new design. Clin Implant Dent Relat Res. 2003;5(Suppl 1):64–73.

11- Kan JY, Rungcharassaeng K, Ojano M, Goodacre CJ. Flapless anterior implant surgery: a surgical and prosthodontic rationale. Pract Periodontics Aesthet Dent. 2000;12:467–474.

12- Kim SJ, Kwon KR, Lee SB, Woo YH, Choi DG, Choi BB. Maxillary anterior single implant prosthesis. J Korean Acad Prosthodont. 2001;39:306–312.

13- Paul SJ, Jovanovic SA. Anterior implant-supported reconstructions: a prosthetic challenge. Pract Periodontics Aesthet Dent. 1999;11:585–590.