Por Madalena L. P. Dias Engler e Marco Aurelio Bianchini
Os implantes osseointegráveis são uma excelente opção para reabilitar dentes perdidos. Porém, assim como é possível perder dentes, os implantes também são passíveis de serem acometidos por doenças (como a peri-implantite) e perdidos por outros motivos. Uma das causas que temos visto em nossa clínica como cada vez mais frequência, tem sido a fratura dos implantes. Sabemos que no mundo atual, com tamanha gama de informações, atividades e preocupações, nossos pacientes têm desenvolvido cada vez mais parafunções orais, sendo a principal delas, o Bruxismo, que por ser uma função indevida aplicada ao sistema estomatognático (seja pelo ranger ou pelo apertar os dentes), causa sobrecarga dos dentes, implantes, restaurações e próteses, contribuindo para a falha dos mesmos. A fratura de implantes é uma consequência indesejada do Bruxismo, que traz como prejuízo a necessidade de remoção da coroa protética e do implante e o recomeço do tratamento, instalando um novo implante (se possível) e nova reabilitação protética.
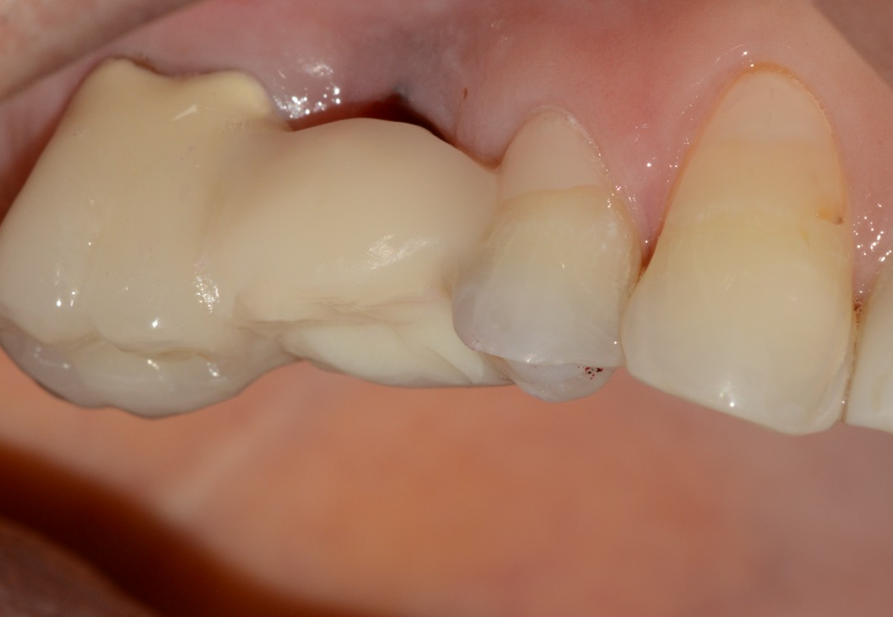
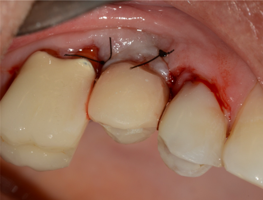
No presente caso, o paciente procurou nossa clínica acreditando que a coroa sobre implante do 15 estava apenas frouxa, e que seria possível resolver apertando o parafuso. Ao exame clínico, apresentava uma coroa cimentada sobre componente UCLA fundida e parafusada diretamente sobre o hexágono do implante (um HE de 3.5 mm de diâmetro e plataforma da mesma medida). Após o corte da coroa para acessar o parafuso, na remoção do conjunto, a plataforma do implante veio anexada à coroa, denotando a fratura do implante, que foi comprovada com radiografia periapical (Figuras 1 e 2). Decidimos por fazer uma prótese adesiva provisória (Figuras 3 e 4) e planejar a remoção do implante com colocação imediata de novo implante, após observado na tomografia cone beam que haveria osso suficiente para isso (Figura 5). O implante foi removido (Figuras 6 e 7) com o uso de broca trefina e fórceps, e um implante Implacil De Bortoli CM Due Cone foi instalado no mesmo momento (Figura 8), com regeneração óssea guiada (ROG) na parede vestibular (Figura 9), que havia ficado muito fina (enxerto ósseo particulado + membrana de colágeno). Apesar de termos obtido bom travamento do implante (45 Ncm), optamos por deixá-lo sem carga pelo período de cinco meses, para respeitar o tempo da ROG (Figuras 10 e 11).
Aguardado o tempo, foi realizada a reabertura do implante com incisão deslocada para a palatal, deixando mais mucosa ceratinizada por vestibular (Figura 12). Foi instalado um Pilar Ideale (Figura 13) e confeccionado um provisório parafusado sobre ele. As suturas acomodaram a mucosa sobre o provisório, conformando-a ao perfil de emergência desejado (Figura 14).
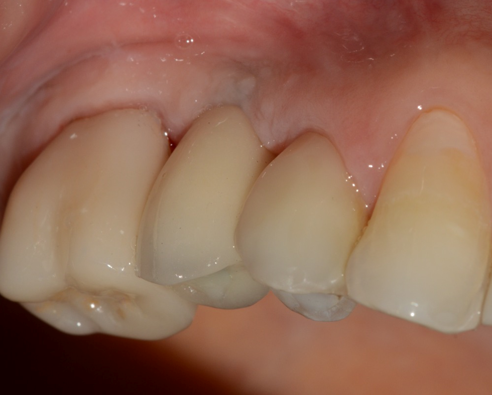
Após 21 dias, a mucosa se apresentava saudável e com um perfil de emergência adequado para a confecção da coroa protética definitiva sobre implante (Figura 15). Foram realizados os procedimentos de moldagem com personalização do transferente para a cópia fiel do perfil de emergência, e uma coroa metalocerâmica foi instalada sobre o Pilar Ideale e a reabilitação foi finalizada (Figura 16).
É importante lembrar que com a finalização da reabilitação, o tratamento ainda não acabou. O paciente precisa ter os fatores de Bruxismo controlados e o sistema estomatognático protegido. Do contrário, outras fraturas e perdas podem vir a ocorrer.





















