Uso da piezocirurgia no acesso ao seio paranasal para a Instalação de implantes.
Prof. Dr. Marcelo Yoshimoto
Introdução
Devido à dificuldade para a instalação de implantes na região posterior da maxila, o Dr.Tatum desenvolve na década de 70, duas técnicas de abordagem da cavidade sinusal para a instalação de implantes odontológicos. Uma denominada técnica “traumática” com abordagem pela técnica de Caldwell Luc, por meio de um acesso cirúrgico na parede lateral do seio maxilar para a interposição de biomaterial abaixo da membrana sinusal e outra técnica denominada “atraumática” com acesso pela crista óssea (Tatum et al., 1993).
A técnica de elevação de soalho do seio maxilar é uma técnica bem difundida, e permite o ganho vertical de tecido mineralizado para a instalação de implantes Odontológicos na ordem de 10 a 12mm segundo REISER et al., 2001.
A cirurgia óssea piezoelétrica foi aperfeiçoada pelo cirurgião oral Tomaso Vercellotti no final da década de 80, para superar as limitações dos instrumentos rotatórios convencionais nas osteotomias na cavidade oral utilizando a tecnologia ultrassônica (Pavlíková et al., 2011).
Apresenta como vantagens o corte seletivo de tecidos duros e preservação de tecidos moles, menor vibração e barulho, ausência de trauma nos tecidos adjacentes, diminuição de sangramento e ótima visualização do campo operatório (Pereira et al., 2012).
Justamente devido às vantagens apresentadas pela tecnologia, uma das primeiras indicações para o uso do aparelho piezoelétrico na implantodontia foi a cirurgia de elevação do soalho de seio maxilar, apresentando taxas de ruptura da membrana sinusal da ordem de 5% dos casos estudados (Vercellotti et al, 2001).
Relato de caso clínico
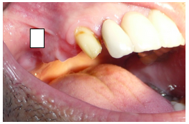
Paciente do sexo masculino, 58 anos se apresentou à clínica com histórico de perda de elementos dentais superiores do lado direito (figura 1). Após análise foi requerida radiografia panorâmica (figura 2). Constatada a pouca disponibilidade óssea na região, devido a pneumatização do seio maxilar, foi indicada a realização de cirurgia de elevação de seio maxilar.


A técnica de incisão de descolamento de retalho para a utilização do aparelho piezoelétrico não difere da técnica convencional ditada do Tatum (figura 3).

Para o acesso à cavidade sinusal se faz uso de ponta piezocirúrgica esférica, diamantada (figura 4). O aparelho utilizado foi um Piezosonic Driller ®. A demora na osteomia na osteotomia é compensada pela precisão e na proteção à membrana sinusal.

Após a osteotomia é utilizada a ponta em forma de “pata de elefante” para promover o descolamento da membrana sinusal da tábua óssea vestibular e facilitar o descolamento e afastamento da membrana (figura 5).
Após o procedimento de afastamento da membrana (figura 6), é realizado o preparo dos nichos cirúrgicos para a instalação dos implantes, que pelos estudos imaginológicos prévios (Rx panorâmico e tomografia computadorizada), foi possível verificar que seria possível a execução da cirurgia em um tempo cirúrgico, ou seja, da realização do procedimento de elevação do soalho do seio maxilar com a instalação simultânea dos implantes.

É realizado o preenchimento parcial prévio da cavidade sinusal com biomaterial. Existem vários biomateriais com resultados excelentes, consagrados na literatura. Neste caso específico foi utilizado o Osteogen® (figura 7).

Em seguida é realizada a instalação dos implantes nos nichos pré–confeccionados. Devido à boa disponibilidade óssea obtida pela técnica de elevação de soalho de seio maxilar foi possível a instalação de três implantes de 13mm de comprimento. Os implantes utilizados foram da marca Implacil de hexágono interno com ø de 3,5mm na região do 14, e de ø 4,0mm na região de 15 e 16. Todos com boa estabilidade primária (figura 8).

No defeito ósseo na região do elemento 16, causado pela exodontia, foi utilizado biomaterial (Osteogen®) e a abertura da janela de acesso foi coberta com curativo de colágeno Collacote® (figura 9).

Foram realizados os procedimentos de sutura e radiografia periapical de controle do pós-operatório imediato (figura 10).

Referências Bibliográficas
Tatum JR. O.H.; Lebowitz, M. S.; Tatum, C. A.; Borgner, R. A. Sinus augmentation. Rationale, development, long term results. The New York State Dental Journal, may, 1993.
REISER, G.M. et al. Evaluation of maxillary sinus membrane response following elevation with the cristal osteotome technique in human cadavers. Int. J. Oral Maxillofac. Implants. v. 16, n.6, p.833-40, 2001.
Pavlíková G, Foltán R, Horká M, Hanzelka T, Borunská H, Sedý J. Piezosurgery in oral and maxillofacial surgery. Int J Oral Maxillofac Surg 2011; 40(5): 451-457.
Pereira CC, Gealh WC, Nogueira LM, Garcia Junior IR, Okamoto R. Piezosurgey applied to implant dentistry: clinical and biological aspects. J Oral Implantol 2012; Jun 4. [Epub ahead of print].
Vercellotti T, De Paoli S, Nevins M. The piezoelectric bony window osteotomy and sinus membrane elevation: introduction of a new technique for simplification of the sinus augmentation procedure. Int J Periodontics Restorative Dent. 2001; 21: 561–567.




